近日,解放軍總醫院神經內科醫學部派駐第三醫學中心神經內科成功診治一例罕見中樞神經系統疾病——腦澱粉樣血管病相關炎症(Cerebral amyloid angiopathy-related inflammation,CAA-RI)。
患者為老年男性,三個月前開始視物模糊,逐漸加重到只能摸索行走,並出現記憶力下降、胸水、心包積液等情況,生活自理困難。由於病情複雜,輾轉多家大醫院均未能明確診斷,不排除顱內腫瘤的可能。患者及家屬束手無策,慕名來到派駐第三醫學中心神經內科,科室錢海蓉主任、於瑾副主任醫師帶領認知障礙團隊充分了解患者病情,第一時間排除顱內腫瘤,高度懷疑患者患有罕見中樞神經系統疾病“腦澱粉樣血管病相關炎症(CAA-RI)”,果斷給患者完善磁敏感核磁、腰穿等檢查。根據患者的臨床、影像學特點、免疫學和生化指標,給出CAA-RI臨床診斷,啟動甲潑尼龍衝擊治療。
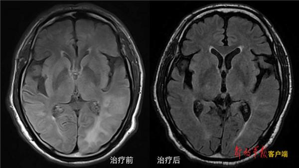
治療一週後,患者視物變清晰,顱內病灶明顯消退。治療第二週,患者腦內病灶基本消失,視力基本恢復,認知障礙也得到改善,蒙特利爾認知評分由入院的18分迅速提升到23分,胸水及心包積液消失。
CAA-RI是極為罕見的中樞神經系統疾病,最常見的臨床症狀包括認知功能下降,伴典型腦病表現,如癲癇、頭痛、步態障礙局灶神經功能缺損症狀。特徵性影像學表現為緊鄰皮層的片狀或融合的腦白質高訊號,通常不對稱,可有佔位效應,伴多發腦葉皮層微出血,以視力受損為早期表現的病例尤為罕見。CAA-RI的鑑別診斷包括瘤樣炎性脫髓鞘病、腦腫瘤、可逆性後部白質腦病、神經梅毒、中樞神經系統血管炎以及其他顱內出血性疾病等。
由於CAA-RI罕見,臨床上老年患者以認知障礙和腦病樣表現起病,影像學表現為不對稱白質高訊號並伴有多發侷限腦葉微出血或存在腦葉出血病史時,需要考慮CAA-RI可能,並進一步完善相關檢查。診斷金標準依然是腦活檢,但由於該病是潛在可治癒的疾病,近年來普遍認為,如果按照診斷標準臨床符合“很可能的CAA-RI”診斷標準,可儘快啟動免疫治療。
該病臨床罕見,國內相關文獻報道較少。解放軍總醫院神經內科醫學部派駐第三醫學中心神經內科認知障礙診療團隊診斷精準,治療得當,為該類疾病後續診治提供了寶貴經驗。
錢海蓉解放軍總醫院神經內科醫學部派駐第三醫學中心神經內科主任,主任醫師,醫學博士,博導,碩導,美國麻省總醫院神經腫瘤中心、梅奧診所神經內科訪問學者。從事神經內科專業20餘年,擅長阿爾茨海默病等認知障礙疾病、帕金森病及多系統萎縮等運動障礙疾病、腦血管病及血管性認知障礙、神經腫瘤、神經系統脫髓鞘疾病以及神經疑難病的診治。
於瑾解放軍總醫院神經內科醫學部派駐第三醫學中心神經內科副主任醫師,醫學博士。從事神經內科專業15年,擅長阿爾茨海默病等認知障礙疾病、帕金森病等運動障礙疾病及腦血管病的診治。
