過期妊娠的診斷是以孕齡為基礎,單純以末次月經確認孕齡可能會導致孕齡預測錯誤引起誤診,並且還經常有月經週期的變化、額外排卵等生理性變化。為此ACOG和SOGC等專業機構提出了一系列基於超聲檢查確定孕周及預產期的建議或推薦。
(一)孕齡預測
超聲檢查可以根據胎兒的大小透過多種引數的測量預測孕齡。早期妊娠過程中CRL是確定孕齡的最好指標,最早可以在第7孕周(CRL 10mm)時測量CRL評估孕齡;妊娠12~14周時CRL、BPD單獨或聯合使用對孕齡的預測均有相似的準確性。當CRL>84mm時不建議繼續用於孕周的確定,改以雙頂徑預測孕齡更為優越。儘管經陰道超聲能更好地觀察早期孕囊的形態結構,但經腹超聲測定的孕囊直徑用於確定孕周更為精確。經腹超聲與經陰道超聲測得的CRL均可應於孕周的確定。
需要注意的是超聲預測孕齡的正常變化範圍。如果超聲預測的孕齡與臨床預測的孕齡差異過大,應分析其誤差的原因,以準確地對胎兒發育狀況進行評價。早孕期首次超聲檢查資料和間隔一定時間的檢查結果對評價胎兒發育狀況和預測孕齡有重要的意義。間隔6孕周~8孕周的重複超聲檢查預測的孕齡應當與間隔時間一致。如果多次檢查均獲得相近或一致的結果,則孕齡和預產期預測會非常準確,由此可以對妊娠過期與否做出正確的判斷。
如果在晚期妊娠中胎兒的各項檢查指標停止生長、預測的體重增加停止甚至反而下降、皮下脂肪逐漸變薄、面板出現明顯的皺摺、胎心減慢或增快,應考慮過期妊娠或伴有FPS。
(二)胎兒附屬物超聲檢查
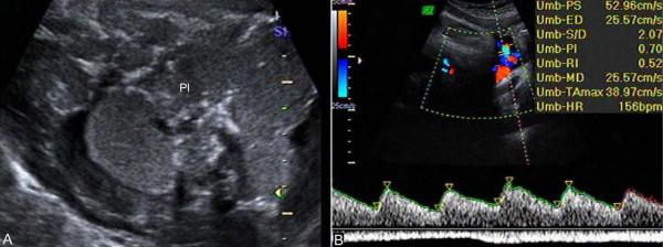
1.胎盤 超聲顯像檢查顯示Ⅲ級胎盤並不是胎盤老化、功能下降的徵象,如果無其他證據並且胎頭BPD>8.7cm時,常可以認為胎兒肺部已發育成熟。但過期妊娠時幾乎均是Ⅲ級胎盤(圖1A),這提示我們對於Ⅲ級胎盤的孕婦要排除過期妊娠的可能。Ⅲ級胎盤合併羊水過少和羊水渾濁,常提示胎盤功能低下,需要及時終止妊娠。
2.臍帶 正常妊娠時胎盤血液迴圈隨著妊娠月份的增加阻力逐漸下降,至妊娠40周時降至最低(圖1B)。過期妊娠時由於胎盤血管床的減少和間質纖維化增加了胎盤血液迴圈阻力,臍帶血流阻力增加,S/D升高。因此,超聲多普勒檢查過期妊娠的臍帶血流時,如果發現S/D不再降低反而升高,則提示胎兒宮內缺氧,並且臍動脈S/D的異常多發生在胎兒缺氧引起的其他改變以前。
圖25-22妊娠晚期胎盤及臍帶血流:A:Ⅲ級胎盤聲像圖 B:正常臍帶血流,S/D2.07
3.羊水 過期妊娠時羊水變化是明顯的,包括羊水量和羊水性狀的變化,並且羊水量的改變是臨床處理過期妊娠的重要參考依據。
羊水的評估見胎兒附屬物超聲檢查和評估。以羊水池的最大內徑<3cm或羊水指數≤5cm時作為羊水過少的界限值。Tongsong 等分析了252例過期妊娠的羊水檢查資料,以羊水量(amniotic fluid volume, AFV)、無負荷試驗(tanonstress test, NST)和連續FHR監護做對比,發現AFV可以較NST更有效地預測胎兒窘迫,敏感性、特異性、陽性和陰性預測值分別為72.73%、90.87%、26.67%和98.65%。建議以最大羊水池垂直深度(deepest vertical pocket,DVP)測定診斷羊水過少。晚期足月和過期妊娠孕婦羊水過少的發生率增加。超聲檢查診斷羊水過少是比較可靠的方法。有研究結果顯示,使用DVP診斷羊水過少,能降低不必要的干預。
除羊水量外,超聲顯像檢查對羊水性狀的評價對是也有重要的作用。早期和中期妊娠的羊水是清澈的;在晚期妊娠中羊水內顯示越來越多的點狀回聲,尤其是在胎兒活動時顯示的更為明顯,但一般不會形成均勻一致的點狀回聲。過期妊娠時由於胎盤功能下降、胎兒缺氧,引起迷走神經興奮,腸蠕動亢進,肛門擴約肌鬆弛,胎糞排入羊水內導致羊水胎糞汙染。超聲顯像檢查羊水失去無回聲的特性,顯示為伴有瀰漫性點狀低迴聲區域,臍帶血管在羊水內顯示為純淨的管狀無回聲區,對比非常明顯。
羊水量和羊水性狀的變化可以發生在2天~3天內,並且遠較胎兒和胎盤的改變明顯而典型。當出現上述回聲時提示胎盤已失去代償功能,臍帶容易受壓,胎兒已難以繼續存留於宮腔並難以承受分娩過程。因此,可疑過期妊娠時應及時觀察胎盤和羊水的回聲,尤其是隨時觀察羊水量和回聲性質的改變,一旦發現異常,即應及時終止妊娠。
(三)宮頸長度
中期妊娠測量CL可能預測過期妊娠的風險。Donelan等對9165例18孕周24孕周的孕婦子宮頸長度進行超聲測量,以子宮頸長度不同分為四組,結合病人種族、體重指數(body mass index, BMI)、CL的變化等因素,發現宮頸較長的孕婦有可能發生過期妊娠。但宮頸的長度與過期妊娠的對應關係還需要更多的資料證實。
