從今年9月上旬開始,浙江麗水市的幾家醫院,先後收治過7位特殊患者。說他們特殊,其實臨床表現一開始並不引人注意。
這些患者的主要症狀是怕冷、寒戰、發熱、乏力、劇烈頭痛、全身肌肉疼痛。
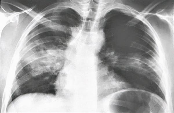
有的患者開始出現咳嗽、咳痰、呼吸困難、口唇發紺、煩躁,入院後很快發展為重症肺炎。
從這些表現上來看,很多人一開始會認為是流感,隨著咳嗽等呼吸道症狀的出現,又有點像肺炎。這和流感也很相似,流感合併肺炎有時候也會那麼嚴重。
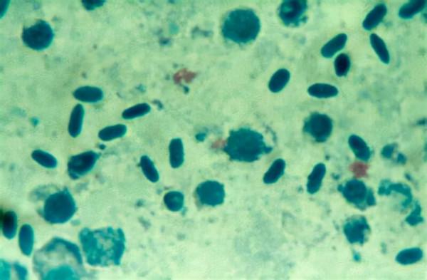
但這些患者的流感檢測是陰性的,最終經過宏基因檢測核酸,這些患者中有6位鸚鵡熱衣原體核酸(DNA)陽性,另外1例經專家討論後臨床診斷為鸚鵡熱。
訊息一經發布,很多人表示第一次聽說這個病。他們說,看標題還以為是鸚鵡得病了,看完整個新聞才知道是人得病了。
那麼,鸚鵡熱到底是一種什麼病?為什麼會以一種鳥來命名這個病?
今天,感染科龍醫生就帶大家來了解一下。
什麼是鸚鵡熱?
鸚鵡熱是由鸚鵡熱衣原體導致的一種感染性疾病。本來,這種病原體一般在鳥類中攜帶,尤其以鸚鵡最常見。
當鳥類將病原體偶然傳播給人的時候,人也可以感染,所以,這也是一種人畜共患的傳染病。
鸚鵡熱是傳染病
鸚鵡熱是一種傳染病,每一種傳染病都有三個基本的傳播環節,即傳染源、傳播途徑和易感人群。
鳥類是主要的傳染源,但很多人並沒有接觸除鸚鵡以外的鳥類,因此家禽和寵物鳥可能是更為常見的傳染源。
某些特殊的工作,如飼養家禽的人和寵物鳥的主人,經常暴露在禽類環境當中,屬於鸚鵡熱的易感人群。
鸚鵡熱衣原體是鸚鵡熱的致病原:這是一種專門在細胞內寄生的微生物,既不是病毒也不是細菌;鸚鵡熱衣原體和病毒相似的一點是,同樣不能自由活動,但是更接近於細菌,能被某些抗菌藥殺滅。
鸚鵡熱衣原體存在於感染禽類的鼻腔和眼分泌物、排洩物、組織和羽毛當中,人透過吸入氣溶膠和直接接觸感染的禽類而感染。
鸚鵡熱和新冠、禽流感有什麼區別?
新冠和禽流感都是由病毒引起的,而鸚鵡熱是由衣原體導致的。三種疾病都有一定的危險性,新冠和禽流感更容易傳播,而鸚鵡熱的傳染性並沒有那麼強。
由病毒引起的疾病,目前還沒有特異性的殺病毒藥物可用,而衣原體是有特效殺病原體藥物的。
只有鸚鵡傳播鸚鵡熱嗎?
鳥類是鸚鵡熱衣原體的主要儲存宿主。
全世界有460餘種禽類可攜帶該病原體,包括火雞、野雞、家禽、鴕鳥、企鵝以及一些遷徙的鳥類。不過,絕大多數傳染源是鸚鵡類類,如鳳尾小鸚鵡、鳳頭鸚鵡、葵花鸚鵡和普通的寵物鸚鵡。
但是,透過其他動物傳播的案例也偶爾有報道,比如羊、貓、狗、馬,等等。
需要引起注意的是,並非只有在野外接觸才能夠感染。
美國疾控中心曾經分析了1975~1984年間的1136例鸚鵡熱患者。其中72%是接觸寵物或者家養的禽類感染的,6%為野外接觸,12%是長期接觸禽類的工人,還有10%沒有明確的禽類接觸史。
寵物或者家禽感染後有沒有症狀?
很多人關心怎麼判斷鳥是不是有鸚鵡熱。
大多數鳥類感染鸚鵡熱是沒有症狀的,也有一些會出現精神差、厭食、羽毛豎起或凌亂、眼和鼻分泌物多、腹瀉等症狀。部分鳥類可快速死亡。所以,見到這樣的禽類應儘快處理。
鸚鵡熱是否“人傳人”?
人與人之間的傳染罕見,但有報道過。國外曾經報道過一例重症鸚鵡熱患者,傳染給了同病房的病友,以及七名醫院的工作人員,包括醫生和護士。
鸚鵡熱常見嗎?
鸚鵡熱是少見病,全世界都有分佈。但是受檢測確診手段的限制,很多地方存在一定程度的漏診。
根據國外一項大型的研究分析,大約有1%的社群獲得性肺炎可能是由鸚鵡熱引起的。
我國在2014年曾經對寵物鳥做過一個調查研究,最終發現,大約12%的寵物鳥血清鸚鵡熱衣原體抗體呈陽性。
檢測手段先進的美國,每年鸚鵡的發病率基本上都低於50例,近幾十年來,每年平均約報告10例鸚鵡熱。
鸚鵡熱有什麼臨床表現?
人感染鸚鵡熱衣原體之後的臨床表現是多樣的,有一些人甚至完全沒有症狀,或者症狀比較輕微。也有一些人急性發病,表現為非典型的肺炎。
一旦得了鸚鵡熱,如果沒有經過有效的治療,死亡率可達10%左右,主要是因為部分患者會發展成為重症肺炎。
感染鸚鵡熱衣原體之後,有5~14天的潛伏期(更長可達39天),潛伏期內可以沒有症狀。
潛伏期過後,患者可表現為發熱、畏寒、寒戰、出汗和肌肉疼痛;頭痛比較常見且劇烈,患者可伴有畏光;還可能有噁心、嘔吐、腹痛等胃腸道症狀;部分患者還有咽炎和精神狀態的改變。
隨後大多數患者可有呼吸道症狀,約80%的患者會出現咳嗽、呼吸困難、胸痛和咳血,但也有一些人沒有呼吸道症狀。
體格檢查或者B超檢查可以發現有肝脾腫大。有些患者可以出現肝損傷的表現,谷丙轉氨酶升高。
鸚鵡熱比較重要的併發症是心臟方面的併發症,包括感染性心內膜炎和心肌炎。這個主要表現為心肌酶、肌鈣蛋白的升高以及心臟彩超的異常。
鸚鵡熱的診斷
鸚鵡熱主要透過血清學檢測來診斷,但是目前國內大多數醫院不具備這樣的診斷條件。宏基因組檢測是近年來發展的診斷手段之一,能夠檢測到衣原體的核酸片段。
鸚鵡熱的治療
鸚鵡熱的治療主要是抗病原治療,大多數衣原體對四環素類、紅黴素、阿奇黴素等藥物還是比較敏感的。
其他的綜合治療措施,包括嚴格臥床休息、清淡而容易消化飲食,補充水、電解質和維生素,以及針對頭痛、發熱、腹瀉的對症、支援治療。
如何預防鸚鵡熱?
目前沒有預防鸚鵡熱的疫苗,所以只能從切斷傳播途徑和保護易感人群入手。
由於鸚鵡熱主要透過鳥類傳播,所以避免接觸鳥類是主要的預防辦法。在接觸鳥類的時候,嚴格戴口罩,勤洗手,不使用鳥類製品,不接觸鳥類的羽毛等製品,做好鳥舍的消毒等,也是重要的預防措施。
小結
國內鸚鵡熱病例的出現,大多數跟接觸鳥類有關,尤其是寵物鳥。
有接觸鳥類的患者,出現發熱等類似流感的症狀,同時有肺炎的表現,要引起注意。全世界範圍內目前還沒有鸚鵡熱大暴發的事件,但人類應該引起警惕。
很多基層甚至大型的醫療機構和疾病預防控制中心,缺乏特異性診斷技術,無法診斷,談何防控?
殷切希望有關部門能夠加大投入,積極引進檢測方法,以保障廣大人民群眾的健康。
想了解更多感染和肝病知識,敬請關注龍醫生!
【參考文獻】
1.Rybarczyk J, Versteele C, Lernout T, Vanrompay D. Human psittacosis: a review with emphasis on surveillance in Belgium. Acta Clin Belg 2020; 75:42.
2.Cadario ME, Frutos MC, Arias MB, et al. Epidemiological and molecular characteristics of Chlamydia psittaci from 8 human cases of psittacosis and 4 related birds in Argentina. Rev Argent Microbiol 2017; 49:323.
友情提醒:科普文章,僅供參考,不能作為診斷和用藥的依據,以臨床醫生診治為準!
