肺部鈣化不可忽視!
前言
咳嗽的病因多而複雜!遇到肺部鈣化我們基本上都是告訴患者及家屬:鈣化是病灶好轉後遺留下來的,沒有意義,也不需要處理!的確,絕大多數的鈣化沒有意義,對患者也沒有什麼特殊的影響!但是,有時候肺部鈣化也會導致咳嗽,並且是劇烈的、難以忍受的咳嗽。
有時候,單憑胸部CT就能初步判斷患者的咳嗽是否與肺部鈣化有關!最近遇到幾例患者,胸部CT很明顯的顯示患者劇烈咳嗽很可能是肺部鈣化病灶引起的,但是因為鈣化引起咳嗽太少見,臨床醫生對這個病視而不見,從而導致長期的誤診漏診。
今天和大家分享一下哪些不守規矩的鈣化病灶會導致患者劇烈咳嗽。
病例1
老年女性,有肺結核病史。
反覆咳嗽一年,加重一月。
一年來反覆咳嗽,咳少量黃、白色粘痰,外院考慮肺結核復發,再次抗結核治療,症狀無好轉。一月前外院行支氣管鏡檢查,術後患者劇烈咳嗽,痰中帶血,伴胸痛。
入院時患者劇烈咳嗽,根本停不下來,表情痛苦,不能平臥,平臥後咳嗽加重。
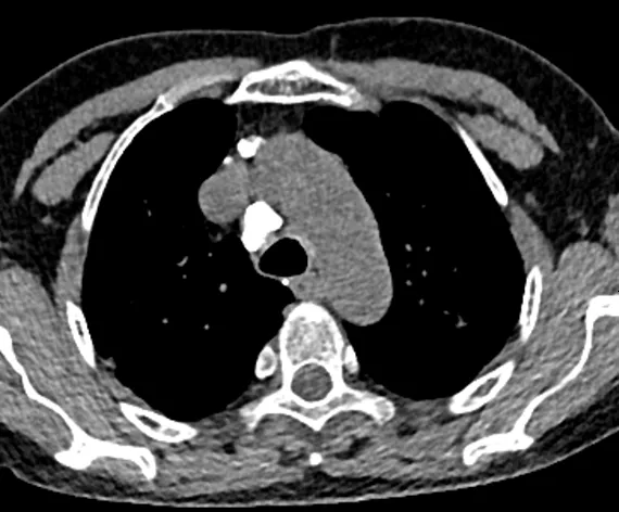
圖1~圖7 胸部CT示雙肺多發鈣化
問題在哪兒?
肺部鈣化灶脫落,掉進左主支氣管(圖8),因為鈣化病灶是堅硬的、銳利的,就像一個石頭在不斷地刺激支氣管粘膜,導致患者咳嗽。
圖8 胸部CT
明確診斷需要支氣管鏡檢查。然而患者劇烈咳嗽,不能耐受局麻,改全麻下行支氣管鏡檢查。術中見左主支氣管有灰褐色、堅硬、異物樣病灶(圖9)。用活檢鉗取出,右中間支氣管的鈣化病灶被肉芽組織包裹用活檢鉗無法取出。
圖9 支氣管鏡檢
術後我去病房看患者,令我非常吃驚呀:患者的咳嗽完全緩解,前後判若兩人,效果立竿見影,做了幾千個支氣管鏡,極少遇到治療效果這麼好的!
為什麼外院支氣管鏡檢查後患者咳嗽加劇?有可能是支氣管鏡術中導致鈣化病灶脫落,不斷刺激支氣管粘膜導致的。
病例2
中年女性,平素體健。
反覆咳嗽一年。
一年來,患者反覆咳嗽,有時痰中帶血,外院反覆給予抗感染、止咳治療,症狀無好轉。後考慮咳嗽變異性哮喘,給予吸入激素等治療,症狀無好轉。
圖10~圖15 胸部CT示雙肺多發鈣化灶
問題出在哪兒?
右中間支氣管的鈣化病灶向外移動,鈣化病灶的尖端刺激到支氣管粘膜了(圖16)。
圖16 胸部CT
另外,這個患者的鈣化灶非常危險,因為鈣化灶的一端距離肺動脈才2毫米左右(圖17),支氣管鏡下強行牽拉鈣化病灶很可能會大出血危及生命。
圖17 胸部CT
明確診斷及治療都需要支氣管鏡檢查,腫麼辦?改全麻下行硬質支氣管鏡檢查。
術中見右中間支氣管有灰褐色、堅硬、異物樣病灶,病灶的根部嵌頓在支氣管內(圖18),用異物鉗不能取出病灶(注意,不能強行牽拉鈣化灶,會撕裂血管引起大咯血)。
圖18 支氣管鏡檢
改鐳射燒灼病灶(圖19),把病灶尖端弄斷,分次取出。
圖19 支氣管鏡檢
鈣化灶經鐳射處理後尖端斷裂,輕鬆取出,取鈣化灶的根部非常危險,先留置球囊備用止血,然後用異物鉗取出(圖20),但仍有病灶殘留,再取剩餘的病灶較危險,家屬不同意,遂未取。
圖20 支氣管鏡檢
術後患者咳嗽減輕,但仍反覆咳出鈣化灶。取出的病灶送病理:鈣化。支氣管結石診斷明確。
支氣管結石
縱膈、肺門等處的淋巴結鈣化灶,因呼吸、心臟搏動等等各種因素產生的力,在牛頓定律的作用下,鈣化病灶穿透支氣管的管壁,進入支氣管,就是支氣管結石。
另外,誤吸的異物,時間長了,也會鈣化形成結石。
影像學很難診斷,但是發現鈣化病灶突入支氣管診斷價值較大。
診斷主要靠支氣管鏡檢查,特點是:
①很灰:支氣管鏡下結石多為灰黃色,或暗灰色、黃褐色、灰褐色等。
②很硬:結石極其堅硬,外觀類似異物。
③很暴力:結石會導致劇烈咳嗽、大咯血,支氣管鏡下暴力取結石,結石會以暴制暴,導致大咯血。
小結:
千萬別不拿鈣化當回事,表面上人畜無害,一旦它跑到支氣管刷存在感,必將天翻地覆。
本文首發:醫學界呼吸頻道
【版權宣告】本平臺屬公益學習平臺,轉載系出於傳遞更多學習資訊之目的,且已標明作者和出處,如不希望被傳播的老師可與我們聯絡刪除
