40歲的王女士在體檢中發現肺部有一個直徑6毫米的小結節,雖然只有碗豆大小,可這個小結節卻讓王女士寢食難安。自己不抽菸怎麼會長肺結節?到底是良性還是惡性的?
為解心頭之患,王女士火速來到醫院就診,經進一步檢查不能排除早期肺癌。考慮到病灶非常小,該院為王女士實施了微波消融手術治療,20分鐘內即完成病灶切除。由於處理準確及時,王女士術後恢復較快,遠期療效預估很好。
像王女士這樣沒有任何症狀,既不咳嗽也不胸痛,只是體檢發現的肺部小結節,究竟該如何處理?今天我們請來了南京大學醫學院附屬鼓樓醫院胸外科王濤教授,一起來聽聽他的觀點。
◆ ◆ ◆ ◆ ◆
警惕肺部小結節的過度治療
空氣汙染不斷加重,低劑量CT普及,近年來發現的肺部小結節患者越來越多。
如何防止肺小結的過度治療?
王濤表示,肺部結節的性質多種多樣,臨床中一般認為,如果肺部的結節小於8毫米、邊緣清楚光滑的,那麼考慮良性的可能性比較大,但仍需要定期隨訪。
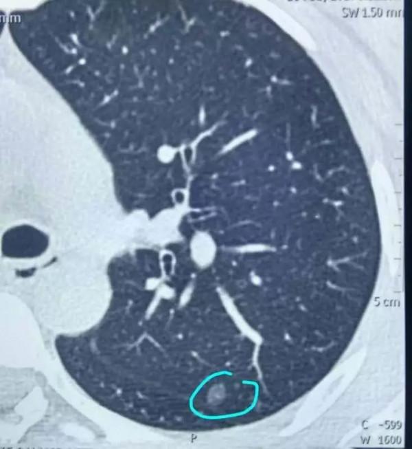
▲ CT片子上面,劃個小圈的那個小點就是肺小結節。
一般來說,早期的結節生長都是非常緩慢的,如果結節在短時間內快速增大,則不能排除是惡性的。
大多數結節在兩年內未觀察到生長,一般可視為良性或是發展很緩慢的肺癌,建議每年複查。
◆ ◆ ◆ ◆ ◆
肺部小結節有哪些比較推薦的治療方式?
一旦發現肺部小結節,不必過度緊張,醫生會根據危險因素、結節的CT特徵,做出專業的解讀並制定隨訪計劃。
對於形態學表現高度懷疑肺癌的肺結節患者,必要時可採用微創手術切除,在這裡,我們推薦肺小結節微波消融術——透過一根細針,短短數分鐘,讓肺結節凝固性壞死,而周圍組織極少或不受損傷,達到“燒死”腫瘤細胞的目的。
微波消融術在CT上的表現(來源:億高微波)
據我國五年臨床資料顯示:肺小結節微波消融早期可以達到與外科胸腔鏡及胸外科手術相同治療效果,且該手術無肺容積的縮小,創傷極小,患者基本上無痛苦,術後恢復快。尤其適合年齡大、肺功能差、不適合或不能耐受外科手術等情況的患者,對於早期有高危因素的肺小結節也是非常好的選擇。
患有肺結節的患者一旦被確診為晚期肺癌,不但花費高,療效差,對家庭也會造成沉重打擊。如果早期採用微波消融術,可以達到完全治癒的目的,且無後遺症。可以說,肺部微波消融術是肺癌高危人群的不二選擇。
專家介紹:






 
			 
			 
			 
			 
			 
			 
			 
			 
			 
			 
			 
			