今天和大家分享的兩個病例都是小病灶大轉移,肺結節只有1cm多,但是腫瘤分期已經到了最晚期(ⅣB期)。這兩個人都是沒有定期體檢,要發現早期肺癌,定期的體檢和腫瘤篩查很重要,另外PET/CT對確診為浸潤性腺癌的分期有絕對的優勢。
病例一
病史摘要
病史:男性,59歲,咳嗽半年餘,發現肺結節3月。外院穿刺活檢提示:低分化腺癌。行PET/CT進行腫瘤分期。
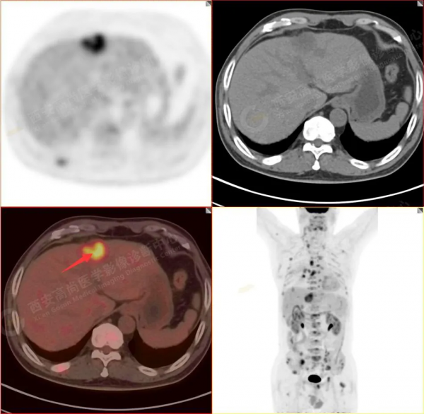
PET/CT影象
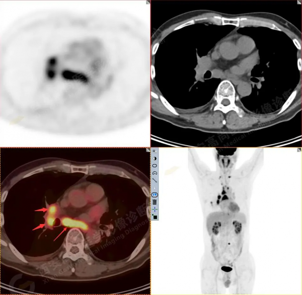
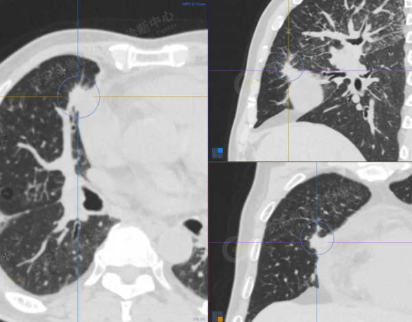
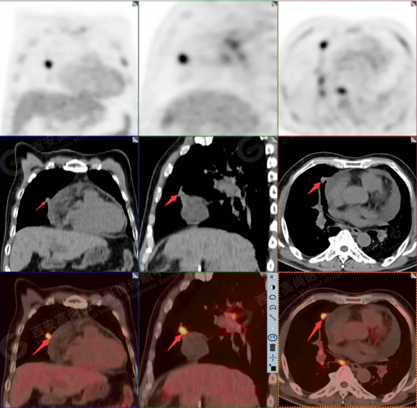
1.以下為肺內原發灶
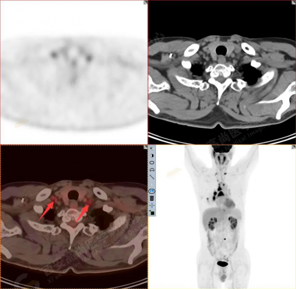
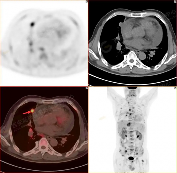
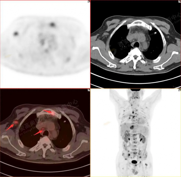
2.以下為部分全身多發轉移灶
PET/CT診斷
1.右肺下葉後基底段軟組織結節(約1.5cm×1.2cm),與相鄰後胸膜分界不清,呈FDG代謝異常增高,結合病理,符合肺腺癌伴鄰近胸膜侵犯。
2.雙肺多發高密度小結節灶(最大徑約0.7cm),部分較大結節呈FDG代謝略增高,均考慮為轉移性病變。
3.右側肺門、縱隔(1L、1R、3A、4、6、7組)及雙側鎖骨上多發腫大淋巴結,呈不同程度FDG代謝異常增高,考慮為淋巴結轉移。
4.右後胸膜輕度增厚,形成多個條狀軟組織病變,呈FDG代謝輕度異常增高,考慮為轉移性病變;右側胸腔微量積液。
5.腰4椎體左側緣溶骨性骨質破壞,FDG代謝異常增高,考慮骨轉移瘤。
6.肝內小結節,考慮轉移可能性大,建議MR增強掃描。
以上病變符合:T4N3M1c,ⅣB期(UICC/AJCC,2018年第8版肺癌TNM分期)。
病例二
病史摘要
病史:男性,61歲,咳嗽1月餘,CT發現肺結節。外院腋窩淋巴結穿刺活檢提示:轉移性腺癌。行PET/CT進行腫瘤分期。
PET/CT影象
1.以下為肺內原發灶
2.以下為部分全身多發轉移灶
PET/CT診斷
1.右肺中葉內側段軟組織結節,呈淺分葉狀,邊緣可見毛刺及胸膜牽拉徵,呈FDG代謝異常增高,考慮為周圍型肺癌。
2.雙肺內瀰漫性分佈大小不等實性小結節灶及粟粒狀高密度影,均未見FDG代謝明顯異常增高,均多考慮為癌性淋巴結炎及轉移性病變。
3.右側頸部(Ⅱ-Ⅴ區)、右側腋窩區、右側肺門及縱隔(1R、1L、2、4、6、7組)、肝門區多發腫大淋巴結,呈不同程度異常增高,均考慮為淋巴結轉移。
4.肝S4、8段團塊狀及結節狀低密度病變,以S4段病變為著,呈不同程度FDG代謝異常增高,考慮為肝多發轉移。
5.右側肱骨上段、左側肩胛骨、右側鎖骨胸骨端、胸骨、雙側多發肋骨、脊柱多發椎體及附件、雙側髂骨、雙側髖臼、雙側恥骨、雙側肱骨上段多發成骨性病變,呈不同程度FDG代謝異常增高,考慮為多發骨轉移瘤。
以上病變符合:T4N3M1c,ⅣB期(UICC/AJCC,2018年第8版肺癌TNM分期)。
討論
1.低分化腺癌:腺癌是一類具有腺樣結構或黏液分泌功能的惡性上皮性腫瘤,主要發生於肺、胃腸道、肝內膽管、膽管(含膽囊)、女性生殖道及乳腺,也可發生於有腺上皮化生的組織,如Barrett食管以及腺性膀胱炎的膀胱等。惡性腫瘤或多或少都有向正常細胞分化的特點,瘤細胞分化越接近正常細胞,則越成熟,通常稱為高分化,有人稱它為Ⅰ級。如果瘤細胞分化太差,極不成熟,但仍保留某些來源組織的痕跡,則稱為低分化,或稱為Ⅲ級。界於兩者之間的稱為中分化、或稱為Ⅱ級。一般說來,高分化腫瘤,惡性程度低,預後較好,低分化腫瘤,惡性度高,預後較差,未分化腫瘤,惡性程度極高,預後最差。
2.肺癌小病灶大轉移,通常發生在低分化腺癌,惡性程度高,通常病灶很小的時,就有轉移灶了。甚至還有原發灶已經切除的情況下,轉移灶依然長起來了情況。低分化腺癌即使沒有轉移,病灶切除了病灶,仍不能掉以輕心,隨訪仍然要重視起來。
3.PET/CT在腫瘤分期中應用較其他的影像學方法會有明顯的優勢。目前是肺部惡性腫瘤分期為精準的方法,特別是在低分化腺癌,具有小病灶大轉移的特點的患者,此類患者早期就會出現肺內、淋巴結、肝臟轉移、骨轉移、腦轉移等轉移病灶,而這項檢查可以追蹤到身體各個部位的腫瘤,很小的病灶也可以“揪”出來。還可以協助確定治療方案的選擇,同時可以評價腫瘤治療的效果。對於患者來說,早期發現腫瘤,精準定位病灶,外科能切除的儘量切除,早診斷早治療可以達到根治的效果。不能切除的,也可以透過綜合治療方法,達到控制腫瘤的目的。
4.治療後再分期方面,由於PET/CT顯像靈敏度比較高,除了能夠更早地判斷腫瘤的大小及轉移灶的大小,還能評價腫瘤經過治療後原發腫瘤有無縮小,淋巴結轉移有無減少,遠處轉移是否被控制,重要的是提供腫瘤的活性,對預後判斷及下一步治療計劃起到非常重要的意義。
關注我,有任何肺結節諮詢請發評論區。
