在門診患者中,上腹疼痛是一種常見的就診病因,很多患者來醫院時都會指著“心窩”那裡對醫生說:“疼,不舒服”,但是對於不同的患者,醫生問診後卻會開具不同的檢查。甚至有患者提出疑問,“都是肚子痛,為什麼醫生給前一名患者開了胃鏡,卻給我開了B超?”
現在我們就幾種不同的檢查,結合具體的病例來說明,醫生在選擇檢查時,考慮的要點是什麼。
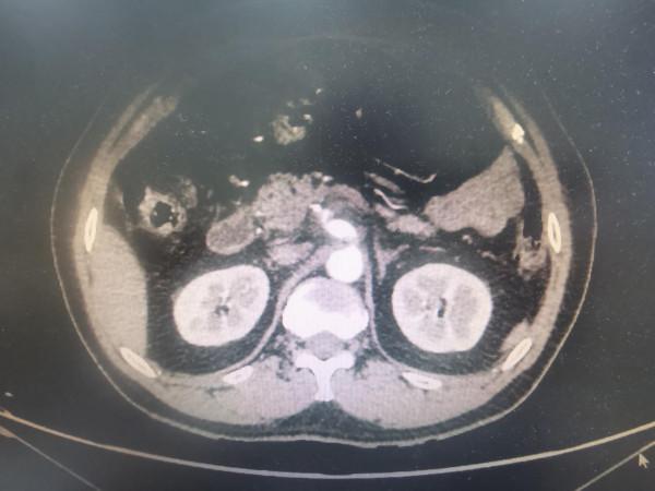
五、腹部CT/增強CT
腹部CT是一種圖質好、 診斷價值高而又無創傷、無痛苦的診斷方法。它使我們能夠在任何深度或任何角度重建腹部的各種層面結構。但因為其費用比B超、X片等檢查要高,所以一般作為進一步檢查的專案來選擇。
病例1:患者男性,50歲,突發上腹痛2小時,呈劇烈疼痛,伴有嘔吐,全腹硬如木板。X片:未見腹腔內遊離氣體。腹部CT:肝腎隱窩有少量遊離氣體,空腔臟器穿孔。
這名患者突發劇烈腹痛,全腹硬如木板,最有可能的診斷就是消化道穿孔。但是從機率上統計,大約有20%的患者不能在普通X片上看到遊離氣體,這時候就需要腹部CT進一步檢查,即使能看到腹腔深部的少量的遊離氣體,也可以做出診斷。
病例2:患者男性,58歲,反覆上腹痛半年,在多家醫院就診,反覆查腹部B超、胃鏡、血常規肝功等檢查,不能明確診斷。來我院查腹部增強CT:腹腔幹動脈狹窄。診斷因為血管炎、血管狹窄引起疼痛。
這名患者已經做過多種檢查,但是對於腹腔血管的檢查,普通B超、胃鏡,甚至普通CT平掃都不能有效診斷,但是增強CT可以顯示血管的形態,對於這一類疾病可以給出準確的診斷意見。
六、腹部磁共振(MRI)/磁共振膽道水成像(MRCP)
在一般人看來,磁共振和CT的片子很像,幾乎分不清,所以經常搞不清楚為什麼做磁共振,為什麼做CT。其實在普外科門診的病人中,需要做磁共振的患者並不多,但是如果醫生懷疑病人有膽管疾病,就會開具磁共振檢查。
病例1:患者47歲,女性,上腹痛2天,白眼仁發黃了(鞏膜黃染),伴有發熱,體溫可達38℃。腹部B超:膽囊結石,膽囊炎;膽管結石,膽管增寬。磁共振膽道水成像(MRCP):膽總管下段結石,膽總管增寬。
這名患者除了腹痛以外,還有黃疸、發熱,醫生首先考慮有膽道系統的問題,磁共振膽道水成像,可以更好地顯示膽管的結構,而且對於肝內膽管的影像(配圖中樹杈一樣的結構),MRCP比普通B超顯示的更加清楚。
在實際工作中,病人的病情往往更加複雜,當醫生首次接診某位患者的時候,很有可能也是漫無方向的,特別是有些症狀既可以由一種疾病引起,也可以由另一種疾病引起,這時候醫生就會結合多種檢查來判斷。我們曾經收治一例上腹痛患者,經過B超、X片等檢查都不能確診,最後經過兩次CT才發現胰腺腫瘤病變。所以,醫生一般會根據患者的表現判斷出大體的方向,然後逐漸查出病因。
本文根據作者在實際工作中遇到的各種病例,總結而成。由於作者本人的水平限制,仍然有不能詳盡的地方。各位病友在實際就診的過程中,還需要具體問題具體分析,儘量給醫生提供詳細的病史,如有疑問可以充分溝通,達到滿意的診治結果。
