食管癌是常見的消化道惡性腫瘤,其發病與年齡、性別、職業、種族、地域、生活環境、飲食生活習慣、遺傳易感性等有一定關係,食管癌典型的症狀為進行性吞嚥困難。中國腫瘤登記中心預估2015年中國食管癌發病率約48萬例,死亡率約38萬例,分別位居惡性腫瘤第三位及第四位。
病史簡介
70歲男性患者,因“吞嚥梗阻3周”於2011年8月收治。既往史: 無特殊。個人史: 喜食醃製食物,偶飲酒,嗜好吸菸(每日1包,20餘年)。ECOG-PS 評分: 1。
食管鋇餐造影顯示:食管邊緣毛刺狀、龕影、食管黏膜僵硬、鋇劑中斷
胃鏡:距門齒 27–32 cm 可見菜花狀新生物,表面糜爛,質脆觸之易出血
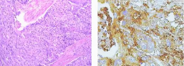
活檢病理:中分化鱗狀細胞癌;EGFR(++)
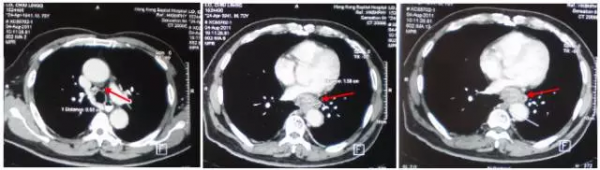
胸腹部CT:食管中段管壁增厚,腫塊與主動脈、心臟關係密切,縱膈及食管旁可見多發淋巴結腫大
1
第一次MDT
參與科室:胸外科、腫瘤科、影像科、病理科
    討論意見:
1.診斷分期:食管胸中段鱗狀細胞癌 cT3N2M0G2 IIIB期
2.治療方案:擬行新輔助放化療使腫瘤降期,以期手術達到完全切除
3.建議使用EGFR抑制劑
治療方案
療效評價:
食管鋇餐顯示:食管壁光滑、龕影消失;
CT顯示:食管腫塊明顯縮小,區域淋巴結部分消失
2
第二次MDT
參與科室:腫瘤科、胸外科、病理科、影像科
討論意見:影像學評價顯示病變降期,PS評分0-1,建議手術切除
2011年10月行“左開胸食管部分切除術 + 食管胃頸吻合術”,術後病理:切除腫塊未見活性腫瘤細胞成分,淋巴結未見轉移
3
第三次MDT
參與科室:腫瘤科、胸外科、病理科、影像科
討論意見:
1.術後診斷:ypT0N0M0
2.因食管原發病變及區域淋巴結均未見癌轉移,不建議輔助化療,規律隨訪(第一年每三月一次,第二年每四月一次,以後每半年一次)
隨訪
患者隨訪至今5年餘,未見腫瘤復發轉移徵象,患者生存良好,生活質量滿意。
