彈無虛發——PD-L1 CDx 產品開發案例分享
接下來,於博士向我們介紹了PD-L1伴隨診斷的開發設計方案。於博士首先分享了PD-L1獲批的藥物與伴隨診斷現狀,目前國內獲批上市的有8款PD-1抑制劑,4款PD-1抑制劑,4款PD-L1診斷試劑,為全球熱門靶點之一。邁傑轉化醫學基於Leica Bond MAX/III平臺自主研發的PD-L1伴隨診斷試劑(商品名:邁普康)也在全力推進當中,目前已經與多家創新藥企達成伴隨診斷開發合作,有望成為國內首個獲批的PD-L1診斷產品。
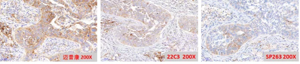
邁普康、22C3檢測腫瘤細胞PD-L1表達具有較高的一致性,均高於SP263的靈敏度
作為精準診斷行業整體解決方案的開拓創新者,邁傑轉化醫學與中國生物工程學會精準醫療與伴隨診斷專業委員會共同發起和組織了中國版Blueprint專案,旨在形成中國免疫治療檢測專家共識及行業規範,儘早發現免疫治療潛在受益人群,並推動PD-L1檢測本土化,為中國生物醫藥的創新發展、中國診斷產品的國產化、為所有的潛在患者獲益而共同努力。
基於基因組學、蛋白組學、細胞組學及病理組學等綜合性轉化醫學平臺,豐富的伴隨診斷開發經驗,高質量的管理體系以及高素質的研發管理團隊,邁傑轉化醫學為全球合作伙伴提供全方位生物標記物發現、靶點驗證、新藥臨床試驗病人的分型研究和入組篩選、伴隨診斷開發與商業化、患者用藥指導檢測等一體化解決方案。已迅速發展成為中國伴隨診斷領頭創新企業。
公司擁有200+方法學的建立與驗證,100+生物標誌物檢測,200+全球創新藥企合作客戶和30+伴隨診斷開發合作伙伴,期待與更多的合作伙伴展開廣泛的合作,助力精準醫療!
