誰都想擁有一口整齊潔白的牙齒!但有些人的牙齒卻是斑斑點點的、並且又黑又黃,其實這就是所謂的“氟斑牙”。
氟斑牙是由於飲用含氟量過高的水或者使用過量的含氟牙膏導致的。這是一種在牙齒中慢性氟中毒的表現,若不及時治療還可能會患氟骨症。
氟斑牙主要分為三種程度
1、輕度氟斑牙
如果是輕度的氟斑牙,影響不大,牙面只有少量的顏色改變,如白堊色或者黃色。除了對美觀有些影響,對牙齒健康的影響也很小,
2、中度氟斑牙
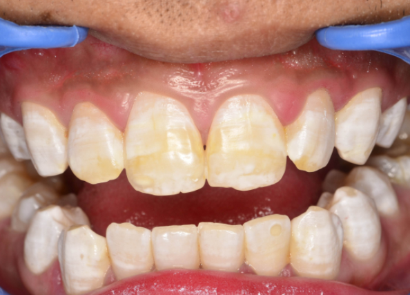
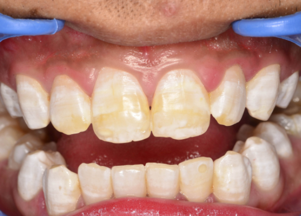
中度氟斑牙能明顯看到,牙齒顏色改變很多,牙齒表面還會伴有坑坑窪窪的小坑,這樣的情況下患齲率更高。
3、重度氟斑牙
重度氟斑牙,牙齒會有嚴重的顏色改變,牙齒形態也會出現嚴重的變化,非常難看。並且對口腔健康的影響也較大,比較難治癒。
傳言說氟斑牙治不好?刷不白?是真的嗎?
氟斑牙想要治療確實是很難的,基本沒有辦法治好。但是可以透過這幾個方式改善,讓牙齒沒有那麼難看!
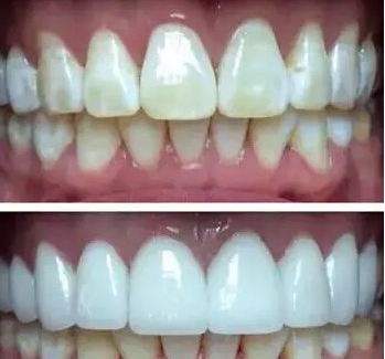
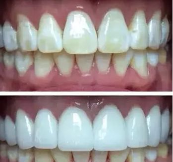
1、冷光美白
對於輕中度氟斑牙,且牙齒形態沒有太大改變的,只需要改善牙齒顏色的情況下,到正規的口腔醫院接受冷光美白治療,可以改善牙齒顏色,達到不錯的效果。
當然也要因人而異,有些人的效果比較明顯,有些人的效果一般。
2、牙齒貼面或全瓷冠
這個是針對嚴重的氟斑牙,不僅改善牙齒顏色問題,並且改善牙齒形態問題。牙齒貼面、全瓷冠治療原理很簡單,就是在原本氟斑牙上套上冠、貼面以遮擋顏色和不良的牙齒形態。效果非常好。
但全瓷冠是需要對鄰牙大量磨除牙體作基牙,這對鄰牙無疑是個不可逆的傷害;而牙齒貼面磨牙較小,但價格昂貴,按顆計算。這需要大家根據自身的牙齒情況、經濟條件來選擇。
