眾所周知,神經外科手術的精細及複雜程度非同一般。顯微鏡裝置與導航技術的發展,實現了神經外科手術術中病灶的精準定位。特別是機器人輔助的手術顯微鏡結合神經導航系統,實現了精確性、靈活性、微創性及快速性的高度統一,極大提高了手術精確度,從而實現“病變切除最大化,神經功能創傷最小化,病人恢復最佳化”的戰略目標。
醫院最新引進的ZEISS KINEVO 900& BRAINLAB CURVE系統
為推進創新技術手段在神經外科手術中的應用,提高神經外科手術技術水平,遼寧省腫瘤醫院成功引進世界頂級神經外科“機器人手術顯微鏡”-ZEISS KINEVO 900及神經外科術中導航工作站-BRAINLAB CURVE,成為東北第一家系統裝機醫院。該系統是全球首個機器人顯微鏡與導航整機聯動系統,透過術前影像融合,實現KINEVO 900鏡下增強現實技術(AR),能夠快捷高效地進行術中顯微鏡系統定位鎖焦和實時腫瘤追蹤。遼寧省腫瘤醫院黨委書記、神經外科主任樸浩哲教授於近日成功應用該系統完成東北地區第一、第二例機器人顯微鏡與導航整機聯動輔助丘腦腫瘤精準切除手術。
01
病例一
患者,女性,15歲,以“雙眼視物重影一週”為主訴入院,經診斷為丘腦後部腫瘤——能否在不損傷重要功能的情況下,徹底切除腫瘤成為手術成功的關鍵。術前,神經外科姚冰主任醫師治療組與醫學影像科通力合作,反覆研究最佳化磁共振掃描序列,嚴密設計了導航方案。手術過程中,樸浩哲教授在神經導航的引導下進行精準定位,同時應用熒光素鈉對腫瘤進行染色,確定腫瘤組織的邊界和範圍,輔助手術醫生最大程度、安全可靠地完成腫瘤的切除。對於術中因腦脊液流失而導致的漂移情況應用術中超聲手段進行了動態監測,消除影像導航因組織形變造成漂移的誤差,成功精準的切除了全部腫瘤。患者術後恢復佳,沒有遺留任何後遺症。
神經導航下規劃出的腫瘤切除範圍
在導航引導下術中實時切除腫瘤的情況
熒光素鈉標記丘腦膠質瘤切除手術
顯微鏡下可見熒光素鈉標記丘腦膠質瘤
術前的增強核磁共振影象,可見丘腦後部腫瘤
術後24小時複查的增強核磁共振影象
可見丘腦後部腫瘤全部徹底切除
患者術後恢復良好
02
病例二
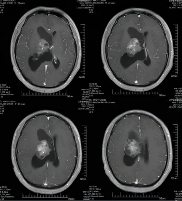
患者,男性,24歲。以“間斷性頭痛5年,加重20日”為主訴入院。診斷為右側腦室內佔位性病變。
神經導航規劃出的腫瘤切除範圍
神經導航下精準定位腫瘤
切除腫瘤後周邊重要結構保護完好
術前的增強核磁共振影象中
可見右側腦室內腫瘤,與丘腦粘連緊密
術後CT影象,可見腫瘤切除滿意
患者術後恢復良好
隨著神經外科導航系統的廣泛應用,顯微神經外科已經進入了精準時代。多模態神經導航技術不僅可以和不同解剖影像進行融合,還可以實現腦功能和代謝資訊的數字化融合,透過術前術中更精準、更高效的定位和導航,幫助術者合理制定手術計劃,精確定位病灶區域,最佳化術中操作,最終實現對患者神經功能最大程度的保護和重塑。今後,這項技術將廣泛應用於醫院神經外科手術,包括腦腫瘤、顱底腫瘤、脊柱脊髓病變等複雜手術,為更多患者撐起生命的保護傘。
