“discogenic low back pain”該如何翻譯?有些學者翻譯為"椎間盤源性腰痛",而有些學者認同“椎間盤源性下腰痛”,我個人認為翻譯為“椎間盤源性腰痛”可能更合適。詳見:Low back pain 應該如何翻譯呢?
在骨科門診中,腰痛是常見的主訴。據估計,在所有人群中,一生中的某個時段發生過腰痛的比率為80%。在任何時候,大約18%的人群正在經歷腰痛。一般急性腰痛經過休息、理療、藥物等對症治療可明顯好轉,常規不需拍攝腰椎影像學檢查 (但超過2周持續腰痛或反覆發作,則需進一步檢查)。如腰痛反覆發作,持續加重,疼痛超過3個月即為慢性腰痛。慢性腰痛是一個嚴重的醫學和社會問題,它是引起勞動力喪失的最常見原因之一。現在生活方式的改變,慢性腰痛患者趨向於年輕化。隨著磁共振檢查的普及,越來越多的年輕患者被冠以“腰椎間盤突出症”、“腰肌勞損”的診斷,導致很多誤診誤治,尤其在基層醫院。
這樣的現象很多見:當一個年輕的患者就診於骨科門診,以腰痛3月主訴,偶伴大腿前側疼痛,行腰椎磁共振檢查提示僅椎間盤退變或僅有輕度椎間盤突出,但無明顯神經根壓迫徵象。此時影像學報告裡常顯示“腰椎退行性改變,L4-5椎間盤突出”。一方面患者看到了“腰椎間盤突出”的字樣,而另一方面很多基層醫院骨科大夫又對其他引起腰痛的疾病認識不夠,就常常給患者冠以“腰椎間盤突出”的診斷,而患者本人也深信不疑,以至於很多患者來到門診不說自己的不適症狀,而直接就說我有“腰椎間盤突出”。同時呢,很多醫師常給予這類患者口服止痛、營養神經(比如甲鈷胺)和脫水藥物(比如地奧司明)治療,往往效果不佳,腰痛反反覆覆。影像學腰椎間盤突出不等於腰椎間盤突出症,加有“症”的診斷必須有相對應的臨床表現和體徵(即符合典型的神經根支配區的疼痛麻木無力),詳見:腰椎間盤突出症。
這個腰椎MRI符合上述病人的影像學結果,但很多基層醫院醫生會給予“腰椎間盤突出”的診斷,其實,最可能的診斷應該為“椎間盤源性腰痛”。
(Peng B. World J Orthop 2013; 4(2): 42-52)
目前得到公認的是:慢性腰痛分為特異性腰痛和非特異性腰痛。前者常有明確的病因,例如:感染、腫瘤、骨質疏鬆、骨折、炎症性疾病或馬尾神經綜合徵。然而,80%-90%的慢性腰痛是非特異性的,常沒有公認的、特定的病因,且多為慢性、反覆發作,很難被完全根治。隨著診斷性試驗(局麻藥注射或椎間盤造影)的發展,目前認為椎間盤源性腰痛是慢性腰痛最常見的型別,約佔40%。
椎間盤源性腰痛是指椎間盤病變後刺激椎間盤內疼痛感受器引起的慢性腰痛,不伴根性症狀,但可伴有腹股溝區及大腿前側牽涉痛。透過腰椎間盤造影術,彭寶淦教授等將椎間盤源性腰痛分為兩種型別,即由纖維環破裂引起的腰痛 (Internal annular disruption, IAD)和由終板破裂引起的腰痛,即終板源性腰痛 (Internal endplate disruption, IED),這種分型方法有充分的臨床和理論根據。臨床上這兩種型別的腰痛都要透過腰椎間盤造影術確診,操作過程、放射狀撕裂方式和疼痛反應判定完全一致。疼痛的椎間盤在造影劑注射過程中,造影劑要麼透過放射狀纖維環撕裂流向椎間盤外方,要麼透過放射狀終板撕裂流向椎體,兩者都誘發患者平時的腰痛反應。
椎間盤造影機制。A:椎間盤內注射的造影劑流向纖維環;B:椎間盤內注射的造影劑流向終板
纖維環破裂分級MRI及造影后CT示意圖
箭頭所指為HIZ高訊號區,是纖維環破裂引起的腰痛明顯的磁共振徵象
(Peng B. Eur Spine J 2006;15(5): 383-87)
但值得注意的是,腰椎MRI閱片看到椎間盤HIZ高訊號區時,不要僅關注T2加權像,也應關注T1加權像。因為只有在T2侷限性高訊號、T1侷限性較低或等訊號(single-HIZ)才意味著通常所指的纖維環破裂伴隨肉芽組織長入,HIZ診斷椎間盤源性腰痛才有指導價值。詳見腰椎間盤HIZ高訊號區 (High-intensity zone)
椎間盤造影后CT平掃所顯示破裂的纖維環(即為疼痛的椎間盤),且造影劑流經至HIZ高訊號區,提示椎間盤源性腰痛的診斷。(Peng B. Spine 2006;31(5): 560-66)
纖維環撕裂誘發的椎間盤退變和椎間盤源性腰痛可能的發病機制
圖:椎間盤源性腰痛可能的發病機制
(Takahashi K. Eur Spine J (2008) 17 (Suppl 4):S428–S431)
正常與病變的纖維環和終板的神經分佈情況。左圖為正常的纖維環和終板神經支配情況,右圖為病變的纖維環和終板,可見神經末梢向深層長入。
正常和病變終板上PGP9.5陽性纖維(痛覺神經纖維)的分佈。與正常終板區神經密度相比,有損傷的終板區神經密度更高。注:左側為前側,病理切片來自於63歲女性(L5-S1椎間隙)。從另一個角度來說,終板損傷(如疼痛性許莫氏結節)和症狀性Modic改變可能是終板源性腰痛的具體表現形式(需進一步研究)。
臨床上,很多年輕腰痛患者做磁共振發現其椎間盤呈“黑椎間盤”,常跟患者形容“黑椎間盤”的一句話是“你30歲長了一個60歲的椎間盤”。但“黑椎間盤”一定是疼痛椎間盤嗎?答案肯定不是。詳見:臨床啟發| 探尋腰痛責任間隙。
“黑椎間盤”是不是疼痛的?通常需要椎間盤造影或阻滯來明確或排除。雖有爭議,目前腰椎間盤造影術仍是診斷椎間盤源性腰痛的“金標準”。椎間盤造影誘發平時疼痛是明確疼痛椎間盤的有效方法,或者椎間盤內注射麻醉藥(比如布比卡因)後平時的腰痛症狀明顯消失。疼痛的椎間盤在造影劑注射過程中,造影劑要麼透過放射狀纖維環撕裂流向椎間盤外方,要麼透過放射狀終板撕裂流向椎體,兩者都誘發患者平時的腰痛反應。這也是鑑別終板源性腰痛和由纖維環撕裂引起的椎間盤源性腰痛的主要手段。
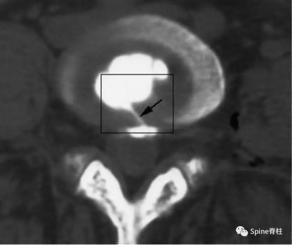
圖:椎間盤造影時,造影劑流至椎管
圖:椎間盤造影時,造影劑流至破損的終板
椎間盤源性腰痛臨床表現為長期反覆發作的腰部疼痛,久坐或久站後加重。除了腰痛,椎間盤源性腰痛也常伴有腹股溝區、臀部或大腿前側牽涉痛,但常不過膝蓋。詳見:腰椎間盤源性牽涉痛。對於腰痛和牽涉痛的區別,請詳見:腰痛、牽涉痛、根性痛和神經根病的區別。對於牽涉痛和椎間盤源性腰痛的神經傳導機制,請詳見:脊柱的神經支配及其相關疼痛。與此同時,纖維環撕裂滲出的化學炎性物質可能會刺激相鄰神經根,從而引起化學性神經根炎,詳見:化學性神經根炎。
對椎間盤源性腰痛診斷明確後,由於其臨床表現輕重不一,疼痛部位廣泛而不固定,治療方式也多樣化,但應採用個體化和階梯化治療。對於大部分椎間盤源性腰痛病人來說,保守治療如藥物、理療、休息、按摩、腰背部肌肉鍛鍊等是有效的治療方法,但應避免應用無效的營養神經(比如甲鈷胺)和脫水藥物(比如地奧司明)治療。但對於一些漸進發展的慢性病人,透過各種非手術方法治療無效,可考慮微創手術【椎間盤內亞甲藍注射、類固醇注射、IDET、射頻、L2神經根阻滯、腰椎間盤分流術、內鏡下射頻或竇椎神經毀損術】或傳統的開放性手術【融合和非融合技術(如椎間盤置換)】。椎間盤退變是大多數腰椎退變性疾病的病理基礎,減緩或逆轉椎間盤退變是未來研究的方向。但目前,幹細胞治療椎間盤源性腰痛仍處於探索階段。
宣告:本文轉載自微信公眾號“Pain疼痛”
智慧財產權歸 李永超 所有















 
			 
			 
			 
			 
			 
			 
			 
			 
			 
			 
			 
			 
			 
			 
			 
			 
			