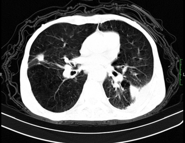
國慶前幾天接診了一個病人,54歲的徐先生睡眠不好已經持續半年左右了,剛開始在鎮上做了個全身體檢,醫生說肺裡有部分陰影建議徐先生去大醫院具體檢查一下,徐先生就做了個詳細的肺部CT,報告顯示雙肺紋理清晰,右肺中葉可見一高密度影,大小約為4mm,邊界清晰且血管行走自然,周圍也沒有腫大淋巴結的情況,所以主治醫生建議徐先生半年左右隨訪一次即可,儘管這樣徐先生還是不放心,畢竟自己還有甲狀腺結節的病史就找到了我。
除此之外徐先生還有以下4種症狀,其中最讓徐先生煩躁的就是睡眠問題。
1、很少有咳嗽、胸悶的情況,就算有痰也能咳出來;
2、早晨起床會有口乾口苦的症狀,平時也很容易上火;
3、平時脾氣比較暴躁,是個急性子,還會有消化不良的情況;
4、關鍵就是睡眠狀態不好,有時候經常做夢,還有煩熱出汗的症狀。
透過觀察徐先生的舌苔,舌頭顏色發紅不說,兩邊還有鼓起來的情況,尤其是舌尖的顏色更紅,說明肝火旺盛。舌苔也有點白膩,說明脾胃失調體內有溼氣。其實不管是肺結節還是甲狀腺結節都是共通的,那就是痰淤互結造成的,“痰”的主要來源是脾,而“淤”主要來源還是氣,而肝火旺盛一般都是由肝氣鬱結造成的,肝氣鬱結——橫逆犯脾——痰溼內生——最後痰淤互結,形成“結節”。所以這一切都是有跡可循的,甲狀腺結節更是跟肝臟脫不了關係,所以調理的關鍵在於疏肝理氣、清熱瀉火、健脾祛溼。
    失眠這個問題相信大家或多或少都會有,那麼下面這4種情況你屬於哪一種呢?
1、明明睡的時間也很長,醒來後還是有四肢乏力、沒有精神的症狀,說明你氣虛了。除此之外還會有白天出汗較多、心慌氣短、喘氣不勻的情況。
2、睡覺的過程總是迷迷糊糊的,很容易醒,醒來之後又繼續睡,說明你血虛了。不管是氣虛還是血虛舌苔都是淡白色的,不是正常的粉紅色,兩者加起來就是氣血不足了,如果你有這種情況的話,就該補補氣血了。
3、如果翻來覆去睡不著覺,胃裡還有灼熱感,早晨起床嗓子也是又幹又癢,說明你脾胃不和了,脾胃不和也會影響睡眠狀態。
4、如果睡著的過程中,手腳發熱出汗老想往外伸,或者是感覺身體燥熱臉色發紅,這就是陰虛燥熱了。
上面就是我總結的關於失眠的4種情況,患有結節的你屬於哪種情況呢?可以在下方留言諮詢。#健康明星##秋季健康不打烊##失眠#
