【基本資訊】男性,31歲
【疾病型別】急性胰腺炎
【治療醫院】寶雞市中醫醫院(三甲)
【治療方案】抑制胰腺外分泌、抑酸保護胃黏膜、營養支援對症治療
【治療週期】6天
【治療效果】腹痛症狀明顯緩解,好轉出院。 一、初識患者
夜班晚上十一點多,一位年輕男性患者前來就診,只見他表情痛苦,痛得幾乎站不起身來,雙手捂著肚子,聲音微弱地說道:晚上和朋友吃完燒烤後就出現了腹部脹痛不適,並且疼痛逐漸加重,自己在家服用藥物“奧美拉唑腸溶膠囊”2粒,休息了一陣以後疼痛症狀沒有任何減輕,反而感覺心慌、噁心等新症狀出現,便急忙出門打出租車前來我院急診科就診。接診患者以後,立刻讓患者躺在偵查床上查體,發現患者上腹部劍突下以及左上腹部壓痛明顯,手往下按的時候,患者表情痛苦並且聲聲喊疼。給予完善急診血常規,超敏C反應蛋白,血、尿澱粉酶,血胰腺酶,上腹部CT,心電圖等檢查。初步診斷“急性胰腺炎”,併為進一步診療,收住院治療。
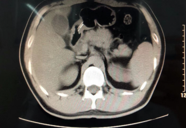
患者上腹部CT:胰腺體積增大,周圍滲出,胰管輕度擴張
血胰腺酶、血澱粉酶明顯升高
二、患者的治療過程
患者就診時生命體徵,體溫36.0攝氏度,脈搏77次每分鐘,呼吸20次每分鐘,血壓113/76mmHg。輔助檢查:超敏C反應蛋白 1.12 mg/dl(正常值0.0-0.6),血脂肪酶 805.20 U/L(正常值0-60),血澱粉酶 232.70 U/L(正常值30-110),尿澱粉酶 1186.60 IU/L(正常值32-641)。上腹部CT示:脂肪肝;胰腺體積增大,周圍滲出,胰管輕度擴張。結合患者體徵表現以及輔助檢查,均提示患者急診胰腺炎診斷明確。 治療上立即給予持續胃腸減壓,生長抑素抑制胰腺外分泌,泮托拉唑鈉抑酸保護胃黏膜,10%葡萄糖、氯化鉀、複方氨基酸18AA等營養支援對症;同時給予中藥生大黃水灌腸、芒硝外敷腹部以洩熱通腑、行氣導滯等中醫治療。 9小時後患者腹痛症狀明顯減輕。隔日正常排便。第4日患者腹痛、腹脹的症狀消失,拔除胃管,經口食用稀飯、軟爛麵條等半流質飲食。第6日患者無不適症狀,複查血、尿澱粉酶均已經正常。
三、治療注意事項
住院期間患者需要配合醫護人員積極治療,遵從醫囑,以流質飲食、清淡飲食為主,嚴禁高脂飲食及暴飲暴食,監測血糖、血脂情況。出院後定期複查上腹部CT、腹部超聲、血生化檢查,消化內科隨診。
四、治療效果
患者入院時腹脹、腹痛,伴有心慌、惡性等症狀,經中西醫結合治療,禁飲食、胃腸減壓、抑制胰腺外分泌、抑酸保護胃黏膜、補液營養支援以及洩熱通腑、行氣導滯等對症後,腹脹腹痛等症狀消失,相關輔助檢查指標正常,好轉出院。
五、日常生活中注意事項
囑患者不要飲酒,不要暴飲暴食,儘量低鹽低脂飲食,葷素搭配合理,營養均衡,保持大便通暢。日常生活中根據自身身體情況進行適當的健身運動,增強體質。 六、醫生感悟 夏夜傍晚以及逢年過節,均是國人高談闊論、把酒言歡、大快朵頤之時,也是胰腺炎,尤其是酒精性胰腺炎、高脂性胰腺炎急性發作的高光時刻。無論是酒精、還是過多過快食用高脂肪類食物,都會促進胰液分泌,胰液分泌過多過快,導致胰液排洩困難,大量胰液分泌使胰管內壓增高,導致腺泡細胞損傷,啟用炎症反應。所以說,如果人們在飲酒、飯後出現腹部疼痛,尤其是左上腹疼痛,並且疼痛劇烈不能緩解的,一定要高度警惕是不是急性胰腺炎,而不能單純以為是吃多了或者吃壞肚子了,及時就醫,積極治療,避免病情進展危及生命。



 
			 
			 
			 
			 
			 
			 
			 
			 
			 
			 
			 
			 
			 
			 
			 
			 
			 
			 
			