榮譽背後的傷與痛——記一位腰椎間盤突出症運動員
2021年夏季奧運會的餘溫還沒過去,而2022年北京冬奧會的腳步就已經臨近,可以說這一段時間聚焦全國、當之無愧的大明星,就是為國爭光的運動員們。但許多人只看到他們站在領獎臺上的榮光瞬間,誰又能想象他們背後的汗水和淚水、付出與傷痛。最近,首都醫科大學宣武醫院神經外科王作偉主任門診就接診了一位運動員患者。
是什麼讓她暫別賽場?
小劉(化名)今年35歲,是一位田徑運動員。對許多人來說,田徑運動比較單調乏味,每天一遍一遍做重複的動作,一次又一次地突破自己,練到小劉這個年齡的運動員就是不斷的和自己的身體狀態在競爭。長期的訓練並沒有抹去這位姑娘的運動熱情,除了訓練外,她還熱愛打籃球等多項運動。但是最近一段時間,小劉不得不停下她所熱愛的一切,因為她出現了腰痛和左腳麻木的症狀。
2周後症狀一直沒有緩解,並且已經嚴重影響到小劉的日常訓練,考慮到傷痛和今後的訓練生涯息息相關,她決定要去正規的大醫院找權威專家治療,這方面也容不得絲毫馬虎。
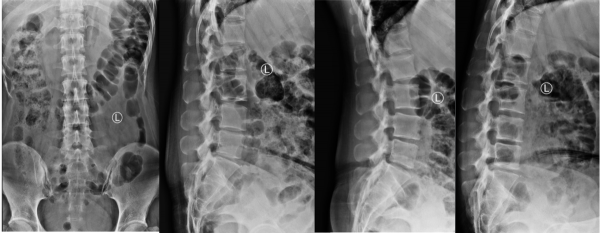
王作偉主任接診後,瞭解了小劉的情況,再根據各項影像學檢查以及詳細查體後,確診她為腰椎間盤突出症(腰4/5、腰5骶1)。王作偉主任表示:從患者的影像學片子上看,可以非常明顯地看到腰4/5、腰5骶1兩個節段的突出,而且已經嚴重的擠壓到後方椎管裡的神經,需要考慮儘快手術減壓。根據患者的病情,又考慮到患者今後還要進行長期訓練以及治療後恢復問題,建議她進行椎間孔鏡手術微創治療。
術前影像學資料:
榮譽背後的傷與痛:得腰椎間盤突出症的運動員並不少見!
對於運動員,尤其是像小劉這樣的田徑運動員、球類運動員等,得腰椎間盤突出症的機率要高於普通人。說一個大家熟悉的,在2008年奧運會點燃聖火的“體操王子”李寧就得過腰椎間盤突出症。為什麼得病機率這麼高?這是由於他們高強度的鍛鍊和動作模式,如果身體不能承受這些超負荷的訓練,極有可能對腰椎以及腰椎間盤帶來極大的壓力。一般,我們普通人得了腰椎間盤突出症,治療後可以迴歸到正常的生活、工作就可以了,但這些運動員們治療後對於功能強度要求比較高,而且也關係到他們的職業生涯,所以治療方案的制定也需要全面考慮。
兩難選擇:手術會不會影響到今後的職業生涯?
聽到要做手術,小劉還是有些猶豫,不手術症狀不能緩解,而手術了要是恢復不好,會不會對自己今後的職業生涯有影響?知道患者的顧慮,王作偉主任解釋:患者的情況是需要儘快給神經減壓的,壓迫如果長期不能緩解或進一步加重,到時候就算做手術,術後也不能很好地恢復了。而現在建議的椎間孔鏡技術是現在常用的技術,並且已經非常成熟。這種手術非常微創,傷口只有7mm,術後貼一個創可貼就好了。而且手術中不咬除椎板,不破壞脊柱的穩定性,最重要的是對神經、椎旁肌肉以及韌帶的損傷小,安全性高,術後恢復快,併發症小。對小劉這樣的運動員來說,這種微創手術再合適不過。
聽了講解後,小劉決定儘快手術。於是在周詳的術前討論後,手術如期舉行。手術由王作偉主任親自操作,術中在保護神經和血管的情況下,精細操作,成功地摘除了患者突出物。
術後,小劉的症狀有了明顯的緩解,當天就可下地並且可以自理。“恢復好後,我還能繼續跑!”這讓小劉十分高興,不禁為王作偉主任豎起了大拇指。相信在經過一段時間的恢復和康復鍛鍊後,我們又能在運動場上看見她,為她加油!
最後,我們也在這裡為即將參加冬奧會的運動健兒們加油鼓勁,祝福他們賽出好成績!讓我們給與他們更多的支援與鼓勵、寬容和體諒,為他們加油!
