在顏值當道的今天,愛美人士越來越多,大家都很關注自己的外在形象,然而牙齒卻是最容易被忽略的美麗,很多人覺得每天兩次刷牙就可以保證口腔健康,其實不然。刷牙只是我們維護口腔健康的第1步,而洗牙才是它的標配。
很多人認為牙齦出血不就是上火嘛,實際上,牙齦長期出血,是牙周病的典型表現,就像一個潛伏著的不定時炸彈,它悄無聲息,但後果極其嚴重。
它已被醫學界定論為繼癌症、心腦血管疾病之後,威脅人類身體健康的第三大殺手,江湖人稱口腔健康「頭號殺手」。不及時治療的後果就是牙齒掉光光!這時候作為口腔健康的第一位守護者——洗牙就可以發揮它的威力了。
你瞭解過洗牙嗎?
洗牙就是利用超聲波潔治器去除齦上結石、菌斑和色質,並磨光牙面以延遲菌斑和牙石再沉積。牙齒上的菌斑在24小時內如果刷牙得當是可以清除乾淨的,但沒有好好刷牙,菌斑清除不到位,遺留的菌斑加上唾液中的礦物鹽逐漸沉積,久而久之會逐漸鈣化形成堅硬的牙結石,上面有大量的細菌和細菌毒素,可導致牙齦出血、牙槽骨吸收、牙根暴露等,最終導致牙齒的鬆動、脫落。所以為了保護牙周組織儲存牙齒,去除牙結石是非常有必要的,牙結石不能透過刷牙的方式去除,而洗牙是非常有效的去除牙結石的方法。
傳言中的洗牙黑洞你知道嗎?
真的還是假的一:洗牙對牙齒有傷害嗎?
洗牙時機器產生的刺耳的聲音總讓人不寒而慄,感覺在磨損牙齒,然而並不是這樣,洗牙時發出的刺耳的聲音,是超聲波牙機在工作時發出的正常聲音。牙齒表面的牙釉質是人體最堅硬的組織,潔牙頭一般不會磨損牙釉質,即便在牙釉質表面形成一些細微的劃痕,也會很快自我修復。
真的還是假的二:洗牙會把牙縫變大?
牙齒和牙齒之前本來就有縫隙,只不過平時被牙齦包裹看不見。結石積多了長期刺激我們牙齒的根部會造成牙齦和牙槽骨向下退縮,牙齦原本的部分被結石所替代形成一個黑三角。因此結石清除後就會有牙縫變大的錯覺。如果不潔牙,持續保留這些牙石,牙縫會越來越大,最終導致牙脫落。
真的還是假的三:洗牙會造成牙齒鬆動?
洗牙後如果造成牙齒鬆動說明牙齒本身就有問題,只不過平時被堅固的牙結石包裹所以沒有感覺到,牙結石去除以後,牙齒自然會變得鬆動。
真的還是假的四:洗牙時和洗牙後會不舒服?
洗牙時牙齒敏感不舒服是正常的現象。牙結石容易生長在不易清潔到的位置—牙齒和牙齦的交界處,這個位置是牙齒比較敏感的位置,洗牙時刺激敏感自然會感到不舒服,但這些都是暫時的,一段時間適應以後敏感現象會自然消失。現在昆明市延安醫院口腔科引進最先進的噴砂潔牙技術,患者普遍反映牙敏感的現象減少或者沒有了,潔牙很舒適!
真的還是假的五:洗牙會讓牙齒變白?
洗牙的目的不是為了美白,而是為了治療和預防牙周疾病;其次,洗牙並不一定能讓牙齒變白。洗牙只能把牙齒表面沉積的色素牙石清除乾淨,還牙齒以本來面目,如果患者的色素牙石很多,洗牙確實能起到一定美白效果,但如果患者牙齒本身顏色異常,而非外源性色素沉積,洗牙是不能改變牙齒顏色的。就像洗衣服一樣,白衣服髒了可以洗白,其他顏色的衣服髒了卻不會洗成白色。
我們該多久洗一次牙呢?
通常刷牙較勤且刷牙方式正確的人可以一年洗一次牙,其他的人半年就需要洗牙一次,患有牙周病的人在牙周病沒有得到有效控制的階段則每三個月洗牙一次。其實洗牙就如同洗澡,都是我們日常生活的一部分。
所有人都可以洗牙嗎?
不是所有的人都可以洗牙。裝有心臟起搏器的患者則不能用超聲波洗牙,凝血有問題的患者則不能洗牙。
潔牙的方式有哪些?
目前常用的潔牙方式包括超聲波潔治和噴砂潔治。
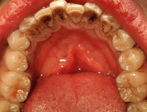
給大家看一組潔牙前後的對比圖
潔牙前
來源:昆明市延安醫院官網
責編:李佳怡
編審:鄭陽洋
終審:錢紅兵
