sponsored links

美麗前牙再煥發青春

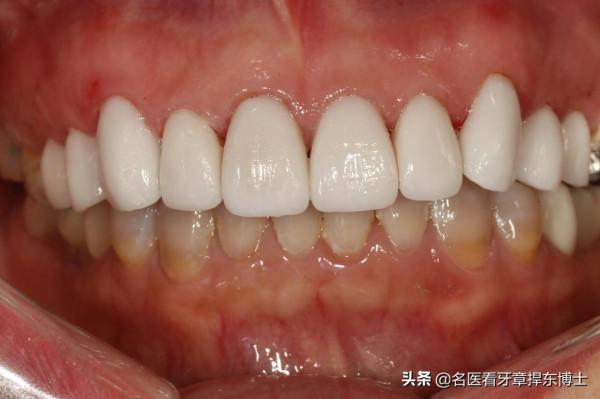
十年前別處製作的貼面,年齡的增長與之不匹配了,要求重新“裝修”。

美麗前牙再煥發青春

美麗前牙再煥發青春

美麗前牙再煥發青春

美麗前牙再煥發青春

美麗前牙再煥發青春

美麗前牙再煥發青春

美麗前牙再煥發青春

美麗前牙再煥發青春

美麗前牙再煥發青春

分類: 親子
時間: 2021-11-03

相關文章

中秋過後馬上秋分,如何給娃穿衣?牢記以下要點,孩子少生病

中秋過後馬上秋分,如何給娃穿衣?牢記以下要點,孩子少生病
文|秘籍君 "若要小兒安,三分飢和寒".穿衣事關孩子健康,從老話裡就能看得出. 但"寒"也要"寒"得恰當.秋季是呼吸道感染流行季節,穿得不對 ...

想要順利過秋,經常吃6種防秋燥的水果,孩子少生病更健康

想要順利過秋,經常吃6種防秋燥的水果,孩子少生病更健康
文|瑩媽 秋天來了,隨著氣溫的下降,空氣的水分似乎也被秋風颳走了,空氣溼度下降最明顯的就是面板的水分變少.很多孩子會有口乾舌燥,甚至是口唇生瘡的情況,這其實主要是秋燥引起的. 中醫上講秋燥護理要及時地 ...

幼兒園豆丁如何少生病?
孩子初入幼兒園,讓家長頗為頭疼的是,似乎孩子一上幼兒園就容易感冒發燒.如何讓孩子少生病?廣報求學"答家長問"欄目邀請廣東省婦幼保健院兒童保健科副主任.主任醫師柯海勁答疑解惑. 文/ ...

今日中秋:養生牢記“3不吃,3不做”,秋冬少生病

今日中秋:養生牢記“3不吃,3不做”,秋冬少生病
2021年9月21日就是中秋佳節了.中秋節在傳統中國人的觀念裡,是幾乎可以跟春節相比肩的重要節日. 中秋節始於唐朝初年,盛行於宋朝,至明清時,已成為與春節齊名的中國主要節日之一,2006年5月20日, ...

氣溫驟降,秋冬娃怎麼穿衣才能少生病?精確到每一度的建議

氣溫驟降,秋冬娃怎麼穿衣才能少生病?精確到每一度的建議
正所謂一場秋雨一場寒.C媽這裡下了一場雨後,明顯又涼了一些. 這一涼不要緊,DD奶奶把孩子們秋冬的衣服都找出來了.昨天傍晚帶DD出去玩,說穿的"裡三層外三層"一點也不誇張. 嗯,怎 ...

家長做好這些,寶寶少生病

家長做好這些,寶寶少生病
立夏過後,正式進入了夏天.中醫認為夏季主火,而心在五行中屬火,故心氣通於夏.從立夏開始,要注意寶寶"心"的調養.隨著氣溫逐漸升高,要避免出汗過多或煩躁不安而傷寶寶的心氣.為了讓寶寶 ...

秋分到寒意濃,飲食多注意“4不吃”,講究一些安穩過秋季少生病

秋分到寒意濃,飲食多注意“4不吃”,講究一些安穩過秋季少生病
導語:秋分到寒意濃,飲食多注意"4不吃",講究一些安穩過秋季少生病 時間過得很快,馬上就要到秋分了,雖然白天還有三十幾度的氣溫,但到室內會讓人感到有些寒意,尤其到晚上會讓人覺得很冷 ...

教孩子怎麼做孩子也是學問
[對話] 光明日報記者 陳鵬 伴隨著社會發展,家庭教育受到了前所未有的重視,但家庭教育僅僅是父母如何教育孩子嗎?顯然不是.家庭教育的內涵非常豐富,通俗地講是包括家庭中的每一個成員所要進行和接受的教育, ...

食療+按摩,寶寶少生病

食療+按摩,寶寶少生病
作者:楊麗 寶寶出生兩個多月了,上次溼疹去醫院的時候,醫生沒有給我開西藥,而是給了中藥的古方,讓我回家試試.從未嘗試過中藥古方的我,心裡有點嘀咕,能行嗎?結果,不到三天,寶寶的溼疹就好了.讓我不禁大嘆 ...

如果你的孩子經常生病發燒,可能是你和孩子的某些習慣導致的
我家寶寶從出生開始,幾乎每個月都得往醫院跑幾次,基本上都是因為發燒,所謂久病成醫,慢慢的我和媳婦發現,是我們的一些不好的習慣導致的孩子經常生病 首先我必須澄清一點,我不是什麼醫生,也不是什麼疾病方面的 ...

孩子愛生病,什麼是主因
前天晚上10點多接上高中的孩子剛到小區門口,下著中雨,看見樓下小劉媳婦抱這剛2歲的孩子,小劉媽給孩子打著傘,小劉爸爸急的直轉圈,我趕緊問咋了,小劉媳婦說孩子生病了高燒,吐得厲害,下雨附近門診都關門了, ...

6歲男孩變得不愛吃飯,總說肚子疼,醫生:此類食物讓孩子少吃

6歲男孩變得不愛吃飯,總說肚子疼,醫生:此類食物讓孩子少吃
"琦想,你上課要認真聽,作業要做好,如果你考試考好了,奶奶就帶你去吃你最愛吃的炸雞和薯片."這是我家婆婆常常和二寶說的一番激勵的話.婆婆也很守諾言,二寶考試考好了.她就獎勵孩子吃炸 ...

如何才能不做孩子的保姆,做孩子的公主

如何才能不做孩子的保姆,做孩子的公主
如今很多家長有這樣的觀念--孩子是我生的,靠我養的,他就該聽我的話,總是讓孩子按照自己的想法成長. 雖然在這樣的觀念下,家長對孩子的愛沒有減少,但是在無形之中表露出來的"望子成龍望女成鳳&q ...

秋分將至,飲食講究“少辛多酸,5多吃1少吃”,秋冬健康少生病

秋分將至,飲食講究“少辛多酸,5多吃1少吃”,秋冬健康少生病
明天就是秋分了,秋分是晝夜時間相等的節氣,這也表明真正進入到了秋季:早晚溫差更加明顯,尤其是連日雨天之後,會讓人明顯感到秋意涼爽的感覺,也就是老話說的"一場秋雨一場寒".不過,有些 ...

很少生病的人為什麼一生就是大病?醫生告訴你真相

很少生病的人為什麼一生就是大病?醫生告訴你真相
"平常很少生病不用吃一點藥的人,一旦生病大多是較嚴重或者是致死型的疾病了." 李大爺是一個土生土長的農村大爺,平常除了幹活後還是幹活基本上沒有什麼愛好,更不懂得養生,一輩子的憨厚農 ...

悽苦女人:做孩子時,離開母親,做母親時,離開孩子,臨終難如願

悽苦女人:做孩子時,離開母親,做母親時,離開孩子,臨終難如願
1920年2月23日,曲阜衍聖公府,軍警林立,省長與將軍同時坐鎮,顏.曾.孟三氏奉祀官無一人敢缺席.如此陣勢只為等一個嬰兒的降世.此時,嬰兒的父親30代衍聖公孔令貽已去世3個多月.嬰兒註定是一個遺腹子 ...

秋天煲這300道湯粥,營養密度高,好消化,家人吃了少生病

秋天煲這300道湯粥,營養密度高,好消化,家人吃了少生病
秋天煲這300道粥和湯羹,營養密度高,好消化,家人吃了少生病 今天小優來給大家分享300款養生湯粥食譜大全 完整的詳細食譜可在文末獲取 完整的詳細食譜可在文末獲取,篇幅有限,這裡僅展示一部分 完整的詳 ...

貝思樂門窗告訴你,除了兒童房,這些呵護孩子的細節一個不能少

貝思樂門窗告訴你,除了兒童房,這些呵護孩子的細節一個不能少
你對家人的感情都藏在這一方空間裡 正所謂戶型選的好,生活沒煩惱 如果你對家人有感情 那麼對於承載安全的一方空間 一定也愛得深沉 因為它不是一個純粹的空間 裡面住著你愛的人 所以不得不用心 有寶寶的家庭 ...

廣東靚湯小兒四神湯,孩子瘦小不愛吃飯多喝這湯,健脾和胃少生病

廣東靚湯小兒四神湯,孩子瘦小不愛吃飯多喝這湯,健脾和胃少生病
大家好,我是小靜 經常有朋友諮詢,孩子不愛吃飯,挑食厭食怎麼辦?其實孩子不愛吃飯,大多是因為脾胃虛弱造成的.脾胃弱或者是胃強皮弱孩子造成的,今天給大家分享一道廣東靚湯小兒四神湯, 孩子處於生長髮育的關 ...

小兒安秋湯,每到秋天我都會煮這道湯給孩子喝,抵抗力好了少生病

小兒安秋湯,每到秋天我都會煮這道湯給孩子喝,抵抗力好了少生病
大家好,我是靜靜 秋天天氣乾燥,晝夜溫差大,秋燥時間長,小孩子抵抗力弱,稍微一不小心就可能感冒咳嗽.今天給大家分享一道適合這個季節喝的小兒安秋湯. 每到秋天我都會煮這道湯給孩子喝,孩子胃口好了抵抗力好 ...