男子患乙肝多年自覺腹脹難忍前來就醫
36歲的錢先生從小因為遺傳的原因,一直攜帶著乙肝病毒,是慢性乙型肝炎患者,多年來,錢先生都需要服用恩替卡韋來控制病情,只是錢先生對於服藥一直很抗拒,認為藥物吃多了會有副作用,加上每次檢查的指標都還可以,錢先生動了停藥的念頭。
私自停藥後,錢先生再次複查的結果顯示不錯,抱有僥倖心理的錢先生覺得自己的病情已經得到了控制,於是在生活上也更加放肆,不僅增加了喝酒的次數,還在生活上打亂了平時的作息習慣。
最近,錢先生在工作中突然感覺到腹部脹痛,噁心,食慾減退等症狀,認為是普通腸胃炎的錢先生自行前往藥店買了相關藥物服用。一週後,錢先生的症狀並沒有好轉的跡象,反而還越來越嚴重,已經上升到腹痛難忍的地步,無奈下,錢先生獨自前往醫院門診就診。
醫生詢問了錢先生的基本情況,做了簡單的查體,為錢先生開了血尿常規及肝部的相關檢查。檢查結果出來後,錢先生找到了醫生,醫生表示錢先生目前的肝功能嚴重受損,已經發展到了肝硬化的程度,必須馬上住院進行治療。
確診肝硬化,私自停藥是根本原因
醫生根據錢先生的檢查報告寫下如下病歷內容(部分):
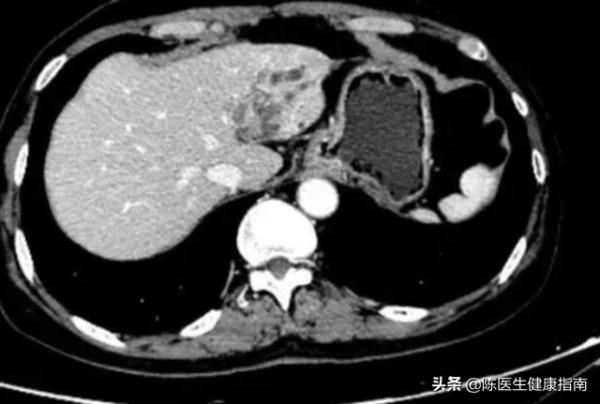
患者體溫36.8℃、血壓124/85、身高179cm、體重73kg。患者身體發黃,腹部存在大量腹水,輕觸有疼痛感。肝功能嚴重受損,腹部超聲提示:肝囊腫,肝臟瀰漫性腫大,考慮為肝硬化。
主訴:腹痛腹脹、食慾不振、噁心、腹瀉。
病史:
患者有乙型肝炎,長期服用恩替卡韋,最近兩年因害怕藥物副作用私自停藥並未按時複查肝功能,導致肝硬化發生。症狀出現後,自認為是胃腸道疾病自行前往藥店買藥服用無果,現已停藥。
錢先生對於檢查結果很是不解,住院後,錢先生再次找到醫生詢問情況。
錢先生:“醫生,我怎麼會突然發展到肝硬化的程度?”
醫生:“你本身就有乙肝,這個病雖然是慢性的,但是會無形中對肝臟造成損傷,加上你不按照醫囑服藥,沒有及時控制乙肝病情,這才導致了肝硬化的發生,好在現在發現的不算晚,如果再拖下去,你的肝臟還不一定會成什麼樣子。”
錢先生:“那我下一步應該怎麼治療?需要手術嗎?”
醫生:“根據你的情況,肝硬化還沒有發展到特別嚴重的程度,我建議先輸液治療。我會開一些多烯磷脂醯膽鹼注射液搭配葡萄糖注射液對你進行治療,期間你把恩替卡韋用上,回頭看看肝功能複查結果再說。”
服用恩替卡韋就不能停了?長期服用會怎麼樣?
經過一段時間的治療,錢先生的病情得到了有效的控制,再次見到醫生時,錢先生道出心中的疑惑。
錢先生:“我之前一直在服用恩替卡韋,後來複查結果都不錯,難道不能停藥嗎?”
醫生:“這個得看患者自身的情況再做定奪,並不是說不能停藥,但是得符合幾個標準。”
錢先生:“什麼標準啊?”
醫生向錢先生訴說了停用恩替卡韋的具體要求,大致內容如下:
1. 患者的ALT檢查結果恢復正常;
2. HBeAg監測陽性的患者在長期的複查中,其指標達到乙肝病毒DNA檢測的下限。
3. HBeAg血清學轉換:就是代表以前監測HBeAg為陽性的患者再次監測的過程中HBeAg轉為了陰性,出現抗一HBe。
以上指標缺一不可,但凡有一項不合格也不能停藥,而且並不能只拿一次的檢查結果作為定論,需要患者至少持續一年左右均保持正常才能考慮停藥,而且停藥後對於肝功能也得定期複查,發現有復發的跡象需要立即服藥。
錢先生:“這個標準也太嚴苛了,那基本上我就沒機會停藥了?”
醫生:“對,而且你已經發展到了肝硬化的狀態,即使都符合標準,我們也不會建議你停藥的。”
錢先生:“可是長期用藥會有很多副作用吧?”
醫生:“其實恩替卡韋沒有你想象的那麼恐怖,長期服用也不會有什麼大問題。雖然有的患者會出現失眠、噁心想吐、頭暈等副作用,但是這些都是在可控的範圍內,一般經過一段時間的休息和調節可以恢復正常,而且副作用一般對於患者的身體傷害不大,只要注意在服藥當中的禁忌,是不會出現什麼不可逆的損傷的。”
錢先生:“那我應該注意點兒什麼?”
醫生:“首先就是不要喝酒,因為酒精對於肝臟和藥物都有很大的影響,你在服藥期間喝酒不僅會增加肝臟的負擔,還會導致藥物失效。其次就是對拉米夫定和替比夫定已經出現了耐藥性的患者,因為這三種藥物從藥理上是一樣的,所以不建議交叉使用。最後就是腎臟功能受到損害的患者,因為恩替卡韋對於腎臟會造成一定負擔,腎病嚴重的患者會更換藥物。”
錢先生:“好的,這些我都記住了。”
積極配合治療,錢先生透過日常改善身體狀態
錢先生出院後,根據醫生要求按時服用藥物,定期進行肝功能的檢查,複查結果良好,除此之外,錢先生還在醫生建議下戒除了煙、酒等,在飲食方面也注重合理健康的飲食結構,避免暴飲暴食和食用高油高鹽的食物,適當增加了運動量,鍛煉出了腹肌。
其實,乙肝患者在長期服用恩替卡韋的過程中並不代表不能停藥,只要符合醫生的標準,在醫生指導下可以試著停用藥物,但是停藥也不代表可以高枕無憂,仍然需要謹遵醫囑定時檢查身體情況。就算是不能停藥也不用擔心,作為常用的藥物,恩替卡韋的副作用可以忽略不計,切忌因擔心副作用而私自停藥,造成不可挽回的身體損傷。
