一位44歲的男性,四個月前,他因為一個大的腎腫瘤,接受了右開腹根治性腎切除術。病理報告多灶乳頭狀腎癌,20.2 x 11.6cm,侵犯包膜和收集器系統。
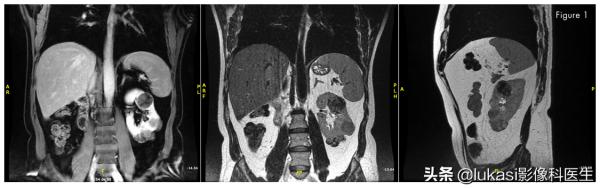
如今,超聲(US)、CT (CT)和MRI顯示孤立的左腎中至少有11個腎腫瘤,最大的完全外生,上極4.2cm,下極4.7cm和3.7cm。沒有中樞腫瘤或累及腎竇、腎靜脈或腔靜脈。與患者討論了選擇:明確的腹腔鏡根治性腎切除術,幾年後透析和腎移植,或計劃的保守手術。他決定採取保守的方法。行左側經腹腔腹腔鏡根治性腎輸尿管切除術。腎完全鬆解後,用聚合物夾近端雙夾住動靜脈並切斷。在經髂血管水平切斷輸尿管。透過髂窩切口將腎臟取出,儲存在冰泥中,並持續灌注冷儲存移植液。在超聲檢查的幫助下,我們進行了保留腎單位的手術,切除或摘除所有腫瘤以最大限度地保留正常實質。用可吸收的縫線和止血劑對切開的腎盞進行修復和精細重建。用吉布森右切口進行自體移植。重建腎在腹膜後自體移植,血管軸在髂外靜脈和動脈內吻合。輸尿管採用LichGregoir體外抗反流手術,採用雙J支架植入膀胱。
小感:切除右腎後,剩下一個孤立左腎,但是不幸的是又長了至少11個腫瘤。而幸運的是,上帝之手給他做了腫瘤切除自體腎移植手術。不幸中的幸運。感嘆醫療技術的進步!
沒有右腎,僅存左側孤腎,可見多發腫瘤。
腎臟腫瘤切除,並進行重建,準備自體移植
在左腎切除的大小不等的13個腫瘤
注:本文僅作為學習交流用,嚴禁用作商用。謝謝
原文連結:
Zanettini LA, Zanettini LFS, Paulmichl A, Zanettini AC. Solitary kidney and thirteen (13) tumors: Laparoscopic radical nephroureterectomy, bench ex-vivo nephron-sparing surgery and auto-transplantation. Int Braz J Urol. 2020 Nov-Dec;46(6):1102-1105. doi: 10.1590/S1677-5538.IBJU.2019.0443. PMID: 32822142; PMCID: PMC7527098.
