來源:影像醫生集團倫琴醫療【倫琴線上】
俗話說:秋風起,蟹腳癢;菊花開,聞蟹來。一年四季皆有蟹,但每年9月~10月正是螃蟹黃多油滿之時,是吃螃蟹最好的季節。
近日,在安徽安慶,就有6個女孩因為螃蟹火了。
因為她們去自助餐廳吃飯,為了“吃回本”,幾個人直奔螃蟹區,最後,一頓飯吃完,6個人一共吃了154個螃蟹,每人平均25個。
螃蟹含有豐富的蛋白質和微量元素等,對身體有很好的滋補作用。然而你知道嗎,如此美味的大閘蟹,也可能暗藏殺機!
吃螃蟹吃出的怪病
1
前不久,深圳市人民醫院感染內科來了一家3口。他們先後出現了,發熱、腹痛、腹脹、乏力、食慾下降、乾咳等症狀。在醫院檢查發現,3人的血常規中,嗜酸性粒細胞明顯升高。經過寄生蟲抗體、CT等檢查,他們都被診斷為“肺吸蟲病”。
細問才知道,這家人品嚐了,今年的“頭啖蟹”,而且是味道最鮮的醉蟹。1個月後病發,一家人都進了醫院,據介紹,如果就醫不及時,寄生蟲便會侵犯大腦引起腦疝,有可能連命都保不住。
幸運的是,經過積極治療,
目前這一家3口已痊癒出院。
2
2019年9月25日,浙江大學醫學院附屬第一醫院透露,2名男子因去溪灘抓食生蟹後出現發熱、咳嗽、腸胃炎等症狀,經過寄生蟲檢測,兩人均系衛氏肺吸蟲抗體陽性,均在腹部和肺部發現肺吸蟲,其中1男子腦部也發現了肺吸蟲囊性灶。所幸兩人就醫及時,經藥物治療後康復出院,沒有留下後遺症。
什麼是肺吸蟲?
並殖吸蟲俗稱肺吸蟲,種類繁多。其成蟲主要寄生於貓科、犬科等多種野生或家養肉食類哺乳動物肺內,囊蚴(幼蟲)是感染階段,主要寄生於淡水蟹、蝲蛄等甲殼類動物體內。進入人體的肺吸蟲有些可以發育至成蟲,有些則長期保持童蟲狀態。
肺吸蟲病是由肺吸蟲引起的慢性肺部感染,是一種人畜共患的寄生蟲病,人在進食未經煮熟、帶有囊蚴(青少年期的肺吸蟲)的淡水蟹或蝲蛄,或食用半熟的、被囊蚴感染的野生動物肉,或生飲被囊蚴汙染的溪水後,均可能誘發感染。肺吸蟲病潛伏期多在6個月左右,也可短至數日、遲至2年。
臨床表現囊蚴透過口感染,在胃和十二指腸內破裂,幼蟲脫出並穿過腸壁進入腹腔,穿過橫膈入胸腔和肺,在肺內發育為成蟲,還可寄生於多種組織器官,如腦、脊髓、胃腸道、腹腔和皮下組織等,產生相應症狀,嚴重時會造成不可逆的後遺症。患者有低熱、咳嗽、血痰、乏力、盜汗、食慾不振、腹痛、腹瀉或蕁麻疹等臨床表現。
如何診斷肺吸蟲病
至於說如何對肺吸蟲病進行診斷,下面就和倫琴醫療一起去看看肺吸蟲病的影像診斷方法都有哪些。
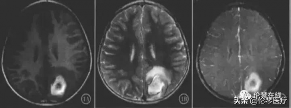
肺吸蟲腦病影像表現:病變常為幕上半球皮質和皮髓質交界區,累及單側大腦,多為單發,少數為多發。易受累腦葉為大腦中動脈分佈區,即頂、顳、枕葉,基底節區、丘腦較少受累,原因可能為肺吸蟲病沿頸內動脈向上爬行入腦,大腦中動脈是頸內動脈延續,且較粗大,所以沿大腦中動脈進入頂、顳、枕葉機會較大。兒童肺吸蟲腦病最常見影像學表現是腦出血,血腫位於大腦凸面皮質和皮髓質交界區,為肺吸蟲在腦內穿行遊走損傷腦組織導致血管破裂所致,因單一血腫與其他病因引起腦出血鑑別困難。
腦炎型肺吸蟲腦病MR特徵是隧道樣、環樣、結節樣強化,周圍伴有較廣泛水腫,其中“隧道徵”是其典型的特徵,MR表現為常約20 mm,寬約3 mm管狀結構,呈弧形或“V”形等,為肺吸蟲在腦組織穿行形成竇道軌跡。環形強化病理:蟲體停留破壞腦組織,內腦組織壞死液化,周圍為肉芽、纖維組織組成囊壁,多環形強化,病理為成蟲從一個囊內游出破壞腦組織,形成多個囊,囊間有隧道相通。
MR表現:簇狀分佈多個強化環、形成典型的“皂泡”徵,具有一定影像學特徵。強化結節病理為浸潤期肉芽組織增生和血管炎。結節狀、環狀、隧道樣強化MR表現反映肺吸蟲腦病組織破壞期、肉芽腫或囊腫期病理變化。3種類型可以單獨存在,也可以混合存在。後期病變消散,或遺留鈣化或腦萎縮改變,CT上可見點片、結節或環形鈣化。
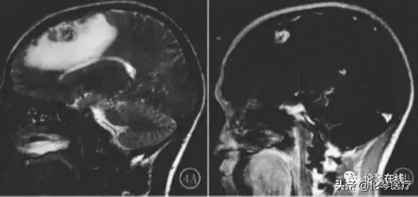
MR表現為腦出血,增強不伴有結節、環狀強化灶
MR可見T2WI混雜訊號,周圍明顯水腫帶。增強可見多發相連環狀強化環
左頂葉多發環狀強化病灶聚集
肺吸蟲亦可以侵犯肺部及胸膜,CT表現與病理三期相對應:
1、組織破壞期(膿腫期或侵潤期),蟲體在人體肺組織中移行引起線狀出血灶或隧道狀機械損傷。CT表現為邊緣模糊的斑片狀陰影,密度不均,而且因蟲體的移行,病灶部位隨之改變。並可見斑片影之間出現“隧道”徵表現。
2、組織反應期(囊腫期),蟲體分泌和代謝產物導致組織炎性反應變態反應性炎症。區域性組織壞死,周圍肉芽組織增生,並逐漸纖維化形成囊壁,即所謂的“並殖囊腫”。CT表現為結節團塊狀影為主,合併單囊或成簇穴窟狀多房囊狀改變。邊界較清,偶見條索影相連。
3、纖維瘢痕期,並殖囊腫內的蟲體死亡或移往別處,囊腫內及周邊的肉芽組織和纖維取代,形成瘢痕。CT表現為囊腫逐漸吸收,周圍紊亂的纖維條索或結節找,隨訪無變化。偶可見鈣化。胸膜侵犯亦很常見,胸膜增厚,特別是常見侷限性胸膜增厚。胸腔積液甚至早於肺內改變。具有特徵性的表現是雙側胸腔交替性積液,即一側胸水減少或吸收後出現對側胸水,少數病例有多次交替或同時出現胸水。心包增厚或心包少量積液亦可見。
右肺多發囊狀、穴窟樣低密度影和小片狀滲出
多發空洞,呈“隧道徵”
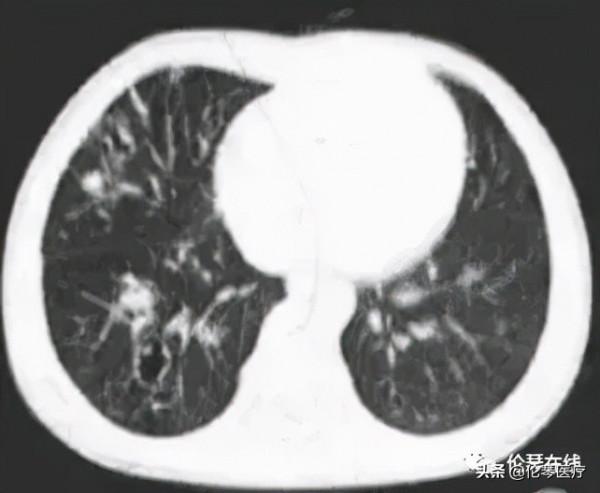
雙肺斑片狀滲出,並可見小囊狀影
倫琴醫療溫馨提醒
- 吃螃蟹或者龍蝦等食物時,一定要徹底煮熟;
- 曾經吃過溪蟹或蝲蛄,或在山間飲用過生水,之後出現發熱、胸痛等症狀,查血嗜酸性粒細胞升高,肺部炎症並伴胸腔積液,應該到寄生蟲病專科門診檢查;
- 如果肺吸蟲抗體陽性,則應留大便尋找肺吸蟲卵並留痰液檢查病原體;
- 肺吸蟲病患者不要自己買藥治療,應該到專科醫院就診,先做CT檢查排除顱內感染,在醫生的指導下用藥,必要時住院治療。
說明
資料來源:央視網、深圳新聞網、浙江大學醫學院附屬第一醫院、醫學界影像診斷與介入頻道
編輯整理:倫琴醫療
參考文獻:
1、張高峰,兒童肺吸蟲腦病影像學診斷,實用放射學雜誌,2015第10期
2、杜偉,楊毅梅,顱內常見寄生蟲病影像學的表現,醫學影像學雜誌,2012第1期
3、朱曉華,邵江,葛虓俊.肺吸蟲病的臨床與CT表現.上海醫學影像雜誌,2000,第3期
如果圖頻或者文字侵權,請後臺聯絡刪除
