開顱手術,很多腦瘤患者乍一聽都接受不了,腦袋上“動刀”不可謂不“兇險”——畢竟100年前,這種手術的死亡率高達90%。儘管在醫學進步飛速發展的今天,開顱手術死亡率逐漸降到5%以下,但一些可怕的術後併發症如顱內出血、腦水腫、窒息和呼吸功能障礙、切口或顱內感染等時有可能發生,尤其是對於還處於發育生長的兒童及青少年患者,開顱手術的各種潛在風險無不困惱著家長。
那麼有沒有無需開顱的手術技術可以輕鬆“摘除”腦瘤呢?近幾年一種磁共振MRI引導的鐳射間質熱療 (LITT) 問世,且應用愈加廣泛,其使用立體定向技術,可以將纖細的鐳射光纖直接植入顱內病灶的核心,並使用鐳射熱能破壞病灶,達到類似於手術切除的效果。
LITT鐳射間質熱療原理示意,其對很多傳統需要開顱手術的神經外科疾病,如膠質瘤、轉移瘤、放射性腦壞死、藥物難治性癲癇等,都有一定的優勢:比如創傷小,治療效率高,對病灶周圍的皮層破壞小,精準度高,大多數患者可以在治療後第二天出院回家。
這種微創不開顱的手術新技術在成人當中已經有較多的臨床驗證,同樣也適用於兒童腦瘤患者嗎?答案是肯定的,目前有很多臨床研究得出結論:LITT 提供了一種治療小兒腦部病變的微創選擇,否則將需要開顱手術,並可能伴有與相關的嚴重併發症。INC旗下世界神經外科顧問團(WANG)專家成員、世界神經外科學院前主席James Rutka教授為幫腦瘤患者尤其是兒童患者爭取更佳預後,會根據患者自身情況為其提供這個國際前沿的微創治療之選。
鐳射間質熱療LITT後統計的腫瘤體積變化圖
16歲女孩二級室管膜瘤LITT成功消融
16歲女孩,雙側丘腦病變、低級別膠質瘤復發,4年間腫瘤增大,考慮到腫瘤的深部位置,醫生建議進行MRI 引導的立體定向方法,並進行活檢,然後對病變進行鐳射消融。活檢後,將激光纖維置於病灶中央,進行了兩次熱消融(31 秒 11 W和 30 秒 10 W)。消融後 MRI 顯示丘腦病變周圍出現充血環(圖 3),這是這些病變消融後的預期外觀。沒有與手術相關的併發症,患者第二天出院。病理學符合二級室管膜瘤。腫瘤在三個月(圖 4)和六個月(圖 5)時體積縮小了大約 70%,並且在消融後一年幾乎看不到(圖6)。兩年後腫瘤未復發,也未進行其他輔助治療。
術前腦部磁共振成像 MRI顯示右側丘腦增強腫瘤
術中磁共振成像MRI。(A) 目標區域/位置的確認;(B) 實時溫度:最終影象;(C) 損壞模型:2.5 毫米 x 9.5 毫米;(D) 釓消融後立即 T1-MRI。
消融後3個月的磁共振成像MRI,腫瘤體積縮小了70%
消融後9個月的磁共振成像MRI
消融後1年的磁共振成像MRI,幾乎看不到腫瘤
LITT腦瘤臨床資料及例項彙總
2021年一篇發表在世界權威神外雜誌World Neurosurgery(2021年影響因子2.104)的論文《Clinical and Neuroimaging Features of Magnetic ResonanceGuided Stereotactic Laser Ablation for Newly Diagnosed and Recurrent Pediatric Brain Tumors: A Single Institutional Series》公佈了他們的鐳射間質熱療LITT技術治療17名新診斷和複發性小兒腦瘤的臨床結果:患者的術後平均住院時間為1.5天,鐳射間質熱療LITT治療後腫瘤與基線相比的收縮範圍為 33%-100%(平均75%)。在5名毛細胞星形細胞瘤、神經節膠質瘤、其他低級別膠質瘤、膠質母細胞瘤、腦膜瘤、髓母細胞瘤等患者中,低級別膠質瘤患者的預後表現最好。
論文截圖
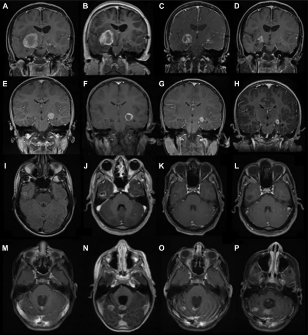
鐳射間質熱療LITT治療前後對比:所有層面都是軸位T1增強後圖像,除了圖I,軸位FLAIR序列腫瘤在消融前沒有增強。
· 神經節膠質瘤患者預消融(A),在她第一次LITT治療 (B),第一次LITT治療後6 個月和第二次LITT治療後3個月 (C),第一次LITT治療後 25 個月和第二次LITT治療後 22 個月 (D)。
· 腦膜瘤患者預消融 (E),LITT治療(F)、LITT治療後 4 個月 (G) 和LITT治療後 10 個月(H)。
· 低級別膠質瘤預消融軸向 FLAIR 影象(I),LITT治療後軸向 T1 增強後圖像 (J),LITT治療後4 個月 (K),和LITT治療後 21 個月 (L)。
· 軸位髓母細胞瘤患者LITT治療前 (M)、LITT治療 (N)、LITT治療後 1 個月 (O) 和 4LITT治療後數月 (P) 顯示進展。
患者消融前的磁共振成像(MRI)(A),使用ROSA軟體與軸位T1對比後圖像(B)配準的軌跡規劃成像,與軸位聯合配準的消融內熱成像T2影象(C)和6個月消融後軸位FLAIR核磁共振成像(D)。
雖然到目前為止,使用 LITT 治療小兒腦腫瘤已顯示出有希望的結果,但還需要進一步研究以進一步瞭解長期結果並將這種治療與其他治療策略進行比較。
總而言之,LITT是具有廣泛應用前景的微創治療顱內病變的新方法。目前,在世界上的超過 100家知名的神經外科專業研究機構,LITT技術都正在得到越來越成熟的應用,比如James T. Rutka教授所在的世界水平兒童醫院之一加拿大多倫多大學兒童醫院 SickKids,該醫院是較早一批擁有完整LITT療法裝置的兒童醫院,其所採用的是Monteris Neuroblate系統,Rutka教授和他的團隊成員已能熟練運用這一微創技術治療小兒腦瘤和癲癇。
Monteris Neuroblate系統
對於LITT技術的運用,Rutka教授還曾總結了這項技術的三個關鍵要素:立體定向方法,將鐳射探針精確定位在治療目標內;手術鐳射系統隨時間變化的熱組織消融;MRI熱像儀可實時監測溫度變化和組織破壞。
Rutka教授在INC年會上展示的LITT相關文獻資料
參考文獻:
1.doi: 10.3978/j.issn.2224-4336.2014.07.07
2.doi.org/10.1016/j.wneu.2021.03.027
