俗話說“牙痛不是病,痛起來真要命”。人們有了牙痛,往往會習慣性找醫生或在藥店購買甲硝唑口服,彷彿這就是一種常規治療牙痛的藥物,那事實上真是如此嗎?
首先要知道,甲硝唑不是止痛藥,而是一種抗生素,可用於厭氧菌感染引起的疾病,如果存在厭氧菌感染,可以使用甲硝唑;但如果存在其它非厭氧細菌感染,則應該使用阿莫西林、紅黴素等抗生素;如果不確定有沒有細菌感染,其實不建議自行使用抗生素。
既然甲硝唑不是止痛藥,那麼當疼痛難忍的時候,我們可以使用的止痛藥有布洛芬、雙氯芬酸等。需要強調的是,止痛藥只能對症治療,暫時緩解疼痛,真正的止痛應該是去除病因,需要牙科醫生的參與。
牙痛怎麼辦?找到病因是關鍵。
牙痛確實不一定是疾病,只是口腔疾病的一種常見症狀。下面來看看哪些口腔疾病可能會導致牙痛。
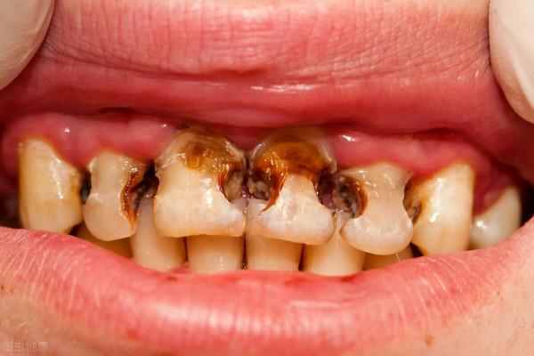
齲病
也稱“齲齒、蟲牙”,分為淺齲、中齲、深齲。淺齲伴顏色改變、無齲洞、牙表面粗糙感,一般沒有症狀,容易忽視;當病變達到牙本質淺層,稱為中齲,表現出牙本質變黃、形成齲洞、質地變軟,可以感受到冷熱酸甜的刺激;隨著疾病進展,齲洞越來越大,達到牙本質深部,當食物塞入齲洞或感受到冷熱酸甜就可能引起疼痛。正確的治療方法為齲齒修復,主要為再礦化治療、預防性樹脂填充或手術修復,並配合預防,如常規使用含氟牙膏、飯後使用牙線、減少富含糖的食物攝入等。
急性牙髓炎
起病急,牙痛劇烈,口腔微生物為主要致病原因,大多數病人為慢性牙髓炎急性發作,由齲齒引起的也較為顯著。急性牙髓炎引起的疼痛可有以下幾個特點:自發性疼痛、夜間痛、溫度刺激加速疼痛、放射性或牽涉性疼痛。急性牙髓炎需要對症治療,有細菌感染時輔助使用抗生素,疼痛難忍時可口服止痛藥,但更重要的是牙髓治療,如牙髓摘除、引流、根管治療等。
急性根尖周炎
可表現為區域性有滲出,如果細菌毒力強、機體抵抗性弱、很快會發展為化膿性炎症,患者出現自發性、持續性鈍痛、咬合痛,如果處理不及時,可能還會進展成根尖周膿腫等疾病。急性根尖周炎需要使用抗生素治療,必要時也可口服止痛藥,而開髓引流、切開排膿、根管治療等外科手段也是必不可少的。
牙周炎
牙菌斑引起的牙周組織的炎症,可導致牙齒鬆動或脫落。牙菌斑是一種不能被水沖洗或漱掉的細菌性生物膜,當機體免疫力低下時,菌斑中毒力較強的細菌大量繁殖並破壞牙周組織,引發牙周炎。牙周炎發展緩慢,早期表現為牙齦慢性炎症,晚期出現牙鬆動,咀嚼無力或疼痛,甚至發生急性牙周膿腫。治療原則為控制菌斑、控制感染、牙周治療、松牙固定或拔除。
牙外傷
牙齒受到機械外力影響發生牙體、牙髓、牙周的急劇損傷。一般表現為牙周膜震盪、牙折、牙脫位。這些症狀均會引起牙痛,治療一般為外科固定、復位等,疼痛難忍時可口服止痛藥,同時需要排除牙髓壞死等引起的疼痛。
牙本質敏感
牙齒在受到刺激時出現短暫、尖銳的疼痛或不適,是多種牙體疾病的症狀,發病高峰在40歲左右。這類疼痛一般不需要藥物治療,首先,去除危險因素,如刷牙力量過大、時間過長、頻率過高;夜磨牙症;經常食用酸性食物或飲料;大量使用含漂白劑的牙齒美白產品等。其次,透過牙科手段去除牙本質敏感的病因,如阻塞牙本質小管。
牙齒疾病預防
- 保持口腔衛生很關鍵,早晚刷牙、飯後漱口或刷牙。
- 刷牙時勿用力過猛,刷牙後刷頭向上放,保持通風,牙刷使用3個月左右或刷毛髮生變形都應及時更換。
- 牙膏的選擇:牙膏是為了增加刷牙的摩擦力,有助於清潔食物殘渣。大眾可根據口腔情況選擇牙膏,如美白牙膏、抗敏感牙膏、磨砂牙膏、含抗菌劑的牙膏、含氟牙膏等。避免長期使用磨砂牙膏或含漂白劑的美白牙膏,可能會損傷牙釉質。
- 漱口水的使用:漱口水對口腔健康維護有一定的作用,特別是含抗菌劑的漱口水,對口腔疾病能起到輔助治療的作用,但不應過於依賴,連續長期使用會影響口腔微生態環境,不利於口腔健康。
- 牙線:牙齒間隙最容易滯留牙菌斑和食物殘渣,刷牙也不能完全徹底清潔,這時候可以使用牙線。牙線還適用於牙齦退縮和牙根外露的人,注意使用時不勉強插入,這樣會損傷牙齦。
- 定期牙齒檢查,成年人建議每年至少一次,嬰幼兒從長牙開始,建議半年一次,兒童12歲以後,乳牙全部換成恆牙後,建議每年至少一次,老年人建議半年檢查一次。牙菌斑可以透過正確刷牙清除,但牙石只能透過專業的口腔人員潔牙,通常半年一次。小問題及時處理,切莫因小失大。
- 刷牙的正確方式:關愛牙齒健康,從日常護理開始,遠離牙齒疾病,出現牙痛,應該及時就醫,排查原因,而不是盲目使用甲硝唑。
看病找醫生,吃藥問藥師,“問藥師”是由知名藥師冀連梅老師聯合海內外精英藥師組建的藥師團隊,致力於為公眾提供循證實用的用藥諮詢服務和科普宣傳。
歡迎在評論中發表自己的觀點。
如果您有具體的用藥問題,也可以在微信公眾號:“問藥師”上向專業藥師一對一線上諮詢。
原創內容,版權所有,嚴禁抄襲!
(由“問藥師”團隊李夢媛藥師供稿)
