【本文摘要】
1、晚期胰腺癌惡性度極高,多個探索性研究未見曙光,一線治療耐藥後無標準治療方案;
2、NAPOLI-1試驗顯示了伊立替康脂質體組合(脂質體伊立替康+5-氟尿嘧啶+亞葉酸)的療效證據,真實世界的資料提供了類似的結果;
3、真實案例:61 歲女性患者接受了脂質體伊立替康組合治療7個月後反應良好,拒絕手術及化療後疾病進展,再次應用脂質體伊立替康組合治療,療效仍持續了 7 個月。
難對付的“癌中之王”——胰腺癌
胰腺癌是公認的“癌中之王”,儘管發病率不高,但死亡率卻高得驚人。據統計,2020年中國癌症新發病例457萬例,死亡人數300萬,其中胰腺癌新發病例數12.5萬,死亡病例數高達12.2萬。胰腺癌起病隱匿、惡性程度高、進展速度快、術後易轉移等都是胰腺癌生存期短的主要原因。
對於早期胰腺癌,手術切除仍是目前唯一的根治方式,但由於其起病隱匿,大多數情況下,癌症發現時已處於晚期,失去了手術治療的機會,患者的中位生存時間僅為3-4個月。儘管近年來癌症的診療手段不斷更新迭代,但針對胰腺癌的大多數研究並未表現出顯著的臨床療效。
目前,系統性化療仍是發生轉移的晚期胰腺癌患者主要的治療方式。2011年PRODIGE 研究證明的FOLFIRINOX(5-氟尿嘧啶、亞葉酸鈣、伊立替康和奧沙利鉑)方案和2013年MPAC試驗證明的NP(吉西他濱和白蛋白結合型紫杉醇)方案較既往的吉西他濱單藥相比,將患者的生存期顯著延長,但總生存期仍不足一年。在一線方案進展後,二線治療更是缺乏標準的治療方案。因此,改善晚期胰腺癌患者的預後仍需要加倍努力探索。
NAPOLI-1試驗帶來曙光
2016年,新藥(脂質體伊立替康;Onivyde)問世,隨機 III 期 NAPOLI-1試驗中,伊立替康脂質體組合(脂質體伊立替康+5-氟尿嘧啶+亞葉酸)用於吉西他濱治療失敗的晚期胰腺癌獲得了較好的療效,被美國PDA批准成為晚期胰腺癌治療的二線標準方案。但脂質體伊立替康尚未在我國上市,積極探索二線方案仍是我們的重要課題。
自NAPOLI-1試驗以來,真實世界的資料提供了很多類似的結果。近期一個案例尤為特別,在吉西他濱加白蛋白結合型紫杉醇治療失敗後的二線治療中,患者對 NAPOLI-1方案不僅表現出長期延長的藥物反應,並且在再次應用時出現了再激發反應,繼續延長了患者的生存期。這種重新激發的案例較為罕見,我們一起來看看這位患者的經歷。
晚期胰腺癌患者曲折的抗癌歷程
一名61歲女性於2018年11月以“黃疸”為主要症狀入院。患者在一個多月前出現黃疸,進行性加重,並出現全身瘙癢的症狀。除了高血壓,患者沒有其他病史,患者母親在70多歲時死於胰腺癌。
入院後化驗總膽紅素為 6.3 mg/dL,AST 190 IU/L,ALT 287 IU/L,ALP 441 IU/L,CA 19-9 8840 U/mL。增強CT檢查發現胰腺有直徑1.4 cm 的腫物,進一步的MRI發現了多處肝轉移。超聲內鏡活檢確診為胰腺導管腺癌伴多發肝轉移。
患者以吉西他濱聯合白蛋白結合型紫杉醇作為一線化療方案,兩個週期後,病情穩定,但四個週期後進行病情評估,疾病進展了。此時化驗,AST 22 IU/L,ALT 8 IU/L,ALP 59 IU/L,CA 19-9 8961 U/mL。
在二線治療時,給予患者 NAPOLI方案:脂質體伊立替康 70 mg/m2、5-FU 400 mg/m2 靜脈推注2400 mg/m2 ,每兩週連續輸注並持續了6 個月。期間,患者出現了程度一級的腹瀉,透過止瀉治療緩解了,未出現其他不良反應。在兩個療程後患者出現了發熱,確診為梗阻性膽管炎,經胰內鏡及抗生素治療後好轉。
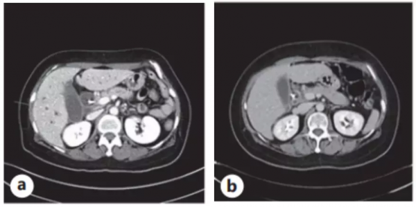
期間化驗CA 19-9顯著下降(圖1),2020年1月,CT顯示僅存在體積縮小的胰腺原發腫塊(圖2b),MRI提示除胰腺原發腫瘤外,沒有肝轉移及其他腫塊,可選擇手術治療,但患者及家屬因經濟等原因拒絕了。為降低治療費用,患者增加了化療的間隔,並在2020年2月26日之後患者失訪,兩個月沒有回院。
![]()
圖1. 應用 NAPOLI方案後患者CA 19-9 的血清濃度變化
圖2. (a)脂質體伊立替康治療前,胰腺癌的原發灶和多發性肝轉移。(b)脂質體伊立替康五個月後,原發灶體積縮小,肝轉移消失
停藥兩個月後,患者病情加重,確診為廣泛肝轉移(圖2 c-e),經多方考量,決定重新應用NAPOLI方案。治療再次有效,共持續了7個月(2020年7月–2021年1月),CT 顯示胰腺腫物減小,轉移病灶均有所改善。
由於患者的身體狀況,治療時延長了給藥間隔,在11個週期給藥後,CT 證實疾病進展並停止化療。這名患者對脂質體伊立替康組合第一次應用有反應7個月,13個週期,再次應用反應期7 個月,10個週期。最後,患者在停止化療兩個月後不幸去世,總生存期為20個月,再次應用的無進展生存期為 7 個月。
圖2.(c-e)在重新使用脂質體伊立替康之前,廣泛的多發性肝轉移、腹水、原發腫塊的大小增加和肺轉移。(f-h)再次使用脂質體伊立替康後6周,改善多器官轉移並減少原發病灶。
小結
上文中這一真實世界的病例,是關於脂質體伊立替康重複啟用(激發-停止治療-重新激發)的報告。患者總共接受了14 個月的二線脂質體伊立替康治療,共23 個週期,獲得20個月的總生存期,實現了使用 NAPOLI 方案二線治療獲得了長期生存的穩定狀態。在不良反應方面,患者表現出一次一級腹瀉,且得到了有效控制,沒有觀察到中性粒細胞減少症。
該案例說明,晚期胰腺癌中,在以吉西他濱為基礎的方案失敗後,NAPOLI方案可能是二線最容易接受的治療方法,且安全性良好。目前化療仍是胰腺癌治療的基礎,如何選擇合適的方案和合適的人群是治療的關鍵。相信隨著研究的深入,胰腺癌的治療終會跨上一個新臺階,長期生存終會實現。
參考文獻:Consistent Response on Challenge and Rechallenge of Liposomal Irinotecan in a Patient with Metastatic Pancreatic Adenocarcinoma Previously Treated with Gemcitabine plus Nab-Paclitaxel: A Case Report.Seong-Ryong Kim,Hyun Jung Lee,Dalyong Kim.Case Rep Oncol 2021;14:1882–1888.DOI: 10.1159/000521315 https://www.karger.com/Article/FullText/521315.
