作者:寧波一院 宗建平
體溫脈搏呼吸血壓是人體最基本的生命體徵,作為一位醫師必須知道什麼是正常,什麼是異常。但在實際工作中,要真正讀懂基本生命體徵改變的含義,是不容易的。這不是危言聳聽,很多事實一再證明了這一點。
前不久又發生的一個病例,很有代表性。
週一上午剛上班,就聽說一位有冠心病房顫的患者(在用抗凝藥——華法令),因為腹痛考慮膽囊炎收住入院,經治療膽囊炎有所好轉。沒想到,入院後第五天出現了嗜睡。接著,聽到主管醫師的一句話:入院後第二天,患者心率很慢,只有50次/分左右,可能是強心藥所致(地高鋅,有減慢心率作用),立即引起了我的警覺。
好奇心的驅動,引領我去仔細看了病例與病情變化過程。
患者,女,77歲。因“嘔吐3天,上腹痛1天”入院。B超提示有膽囊壁毛糙,膽汁鬱積,考慮是“膽囊炎”入院。入院前一天頭顱CT發現有多發生小梗塞灶(估計是房顫產生的小栓子反覆脫落所致)。入院診斷:1.膽道感染;2.冠狀動脈粥樣硬化性心臟病心肌梗死後;3.心房顫動;4.心功能不全;5.慢性腎功能不全;6.低鈉血癥;7.腎結石;8.甲狀腺結節;9.2型糖尿病;10.支氣管哮喘;11.痛風。
沒有想到,入院第二天患者心率突然下降到50~60次/分,入院時體溫脈搏血壓也是正常的(心率80次/分),因為患者有心功能不全,在用強心藥(地高辛),考慮是可能是地高鋅的作用所致,停用了地高鋅。
讀到這裡,如果你是醫師,希望停下來細想一下,除了洋地黃中毒外,還會想到更危險的併發症是什麼?
入院後幾天除了心率慢外,其它情況都在慢慢好轉,腹痛消失,開始進食……。
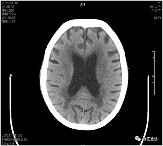
沒有想到,第五天下午發現患者反應偏差,伸舌有點左偏,立即復做了頭顱CT。
(入院後第五天頭顱CT)
(入院前一天的頭顱CT)
仔細看CT的頭顱出血,已經不是一二天的事了。至此,突然出現心率減慢原因逐漸明晰起來了,很可能是顱內腦早期出血所致。顱內出血,腦內壓力就會增加,壓迫丘腦,可表現為心率減慢或伴有血壓升高。但心率慢,要想到是顱內問題或出血不是一件容易的事,何況這位患者的出血主要影響到顳葉,後者主要功能是支配抽象思維,輕度受壓後,抽象思維受到輕度影響,臨床上是很難注意到的(顱內出血如果影響到運動神經,就會出現肢體運動障礙,很容易發現)。
另外,入院前一天頭顱CT是正常的,加上患者在吃強心藥,也容易誤導我們的思維。
我在《急診醫師值班日誌》115(險惡的QT延長綜合徵的背後“險惡”)一文中寫過這個問題。我剛畢業時,一位小夥子因為心率慢,心電圖同時有Q-T間期延長,心內科教授考慮Q-T延長綜合徵,先天性不能除外,收住入院想仔細查詢一個原因。當時我自己為了學習,花了83元人民幣(我當時月工資是50元)買了個眼底鏡。檢查這位患者時,沒想到有視神經乳頭水腫,結果是硬網膜外血腫所致的心率減慢。
心率減慢,一定要排除顱內有問題,特別是在吃抗凝藥或有頭部外傷時。
誤讀體溫脈搏呼吸血壓的案例,還有不少。
例如,一位大學生,患者了病毒性流感,體溫39℃以上,心率70次/分,是正常的,這時你會想到有什麼問題嗎?會潛伏什麼巨大隱患嗎?結果回學校後,突然出現心跳呼吸停止,這類教訓還少嗎?正常健康的年輕人,體溫到了39℃多,心率應該是快的,至少也要在90或100次/分左右,這時心率只有70次/分左右,誤認為是正常的,但可能是心肌損害或病毒性心肌炎的早期表現,如果心率到了60次/分以下,你還沒有想到有病毒性心肌炎可能,那你一定不是一個合格的醫師。
關於這個問題,我給公眾做健康宣教時,強調有高熱時,一定要自己數一下脈搏,發現不匹配,應儘早到醫院去。
在我的日誌中,還有很多案例,因為沒有注意基本生命體徵的改變,教訓深刻。
一例腦部手術後的患者,手術後血壓高了一點,心率慢,往往不會想到問題的嚴重性,其實提示有可能是顱內高壓或手術引起顱內出血的併發症所致,到了出血多了形成腦疝為期已經晚了。
一位血壓正常,因為胸悶氣促的來院,心血管專家考慮冠心病可能,入院後準備做冠狀動脈造影,沒有想到一個小小的細節,發現是肺栓塞(見《急診醫師值班日誌》三十一 詭異的胸悶)。患者當時血壓100/90mmHg,正常其實是一個假象,因為患者平時沒有測過血壓,肺栓塞好轉後,患者血壓是高的,也就是說,患者發病時血壓雖在正常範圍內,其實已經是低血壓了(肺栓塞所致,很危險)。
……
這些情況即使遇到過,也反覆強調過,但常常會好了傷疤又忘了痛。究其原因是:一是對體溫、脈搏、呼吸和血壓重視不夠,認為這個問題太簡單了;二是什麼叫正常,什麼叫異常,沒有深入思考,也就是說正常的不一定是正常的,異常的可能是正常的。更要提醒,在讀這些基本生命體徵時,更要重視這些基本生命體徵是不是匹配。例如前面提到,高熱時,心率大於100次/分,恰是正常的,反之心率“正常”是不正常的。
簡單看各種檢查結果,是不是在正常範圍內,是機械的,淺層的認識,作為一位醫師,更應看檢查結果的背後可能隱含的風險,整體看問題,應該看到的是人,才是良醫應有的格局。
本文首發於《浙江急診》(zonghua11),醫師報受權釋出!
