最近有讀者留言表示搞不清顱腦MR中的一些小病灶到底應該叫什麼,有時候打個脫髓鞘,被稽核老師改成腔梗灶,而有的時候打個腔梗灶,卻又被稽核老師改成VR腔隙擴大,改來改去頭都被搞大了。
作者:七田小溪
來源:“影海泛舟”公眾號
![]()
事實上,這類腦內的小病灶統稱為腦小血管病(CSVD),是由各種原因累及腦小血管並導致區域性腦組織病理性改變的一組疾病的統稱,具體包括腔梗灶、VR腔隙擴大、脫髓鞘改變(腦白質疏鬆)、微出血等,這些疾病可能不會引起患者明顯的急性臨床症狀,但與痴呆等認知功能障礙密切相關。
![]()
按血管直徑,腦小血管可分為:小動脈(直徑 100~400μm)、小動脈遠端分支(< 200μm)、微動脈(直徑 < 100μm)、毛細血管及小靜脈。其中VR腔隙擴大主要涉及小動脈遠端分支(即穿支動脈)和小靜脈,腔梗灶主要涉及小動脈及其遠端分支。
按血管部位,腦小血管可分為來自腦表面的由皮層動脈分支構成的軟腦膜血管網和腦深部的由大血管發出的穿支動脈,兩組不同來源的小血管分別穿過大腦皮層和深部灰質核團後在大腦皮層下的深部白質區匯合。
VR腔隙擴大
![]()
VR間隙(Virchow-Robin)又稱血管周圍間隙,是腦穿支血管(動脈、靜脈)由蛛網膜下腔進入腦實質時,鄰近軟腦膜內陷在小血管周圍(不包括毛細血管)形成的介於兩層軟腦膜之間的間隙,通常情況下MR影象上不可見,但在少數正常人及多數老年人可以見到,稱之為VR間隙擴大,多對稱性分佈於半卵圓中心、放射冠、基底節下部、海馬、中腦大腦腳、中腦腦橋交界區及額頂葉皮層下白質區等。
根據擴大VR腔隙的發生位置,將其分為3型,具體如下:
- I型為基底節型,最常見,伴隨血管多為豆紋動脈;
- II型為大腦半球型,伴隨動脈多為髓質動脈;
- III型為中腦型,伴隨動脈多為大腦後動脈及丘腦動脈的穿通支。
![]()
I型-基底節型:擴大VR腔隙呈對稱性分佈於雙側基底節區(紅箭),左側較大呈圓形,右側較小呈斑點狀。基底節型擴大VR腔隙好發於基底節下部,尤其是前聯合層面(黃箭所指為前聯合)。
![]()
這種不成形的多發斑點狀、細線樣異常訊號在基底節區下部也是比較常見的。
![]()
![]()
![]()
II型-大腦半球型:擴大VR腔隙呈對稱性廣泛分佈於雙側半卵圓中心及皮層下白質區域(黃箭),少位於扣帶回旁(白箭),部分呈類圓形(紅箭頭),部分呈裂隙樣/線樣(藍箭頭),注意綠箭頭所指的VR腔隙邊緣可見Flair高訊號影,這種高訊號可能是區域性液體少量滲漏造成的。
![]()
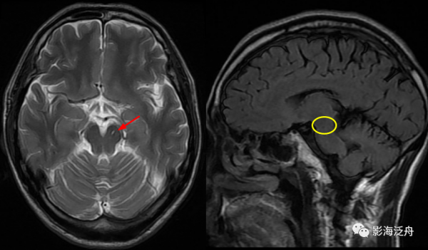
III型-中腦型:左側大腦腳可見細條狀T2WI高訊號影(紅箭),Flair序列上未見異常訊號(黃圈為中腦左側部),隨訪病灶大小及訊號均無明顯變化。III型VR腔隙擴大是最少見的,多數稽核老師喜歡不分青紅皂白直接診斷為腔梗灶,畢竟是腦幹區域,報的過一點也無妨。
看完典型的,再來看看不典型的 ↓↓↓
![]()
![]()
病例一:青少年男性,頭痛就診。右側大腦半球多發擴大VR腔隙,病灶沿髓質動脈走行區域(紅箭)呈簇狀分佈,VR腔隙呈類圓形或類橢圓形,邊緣光滑,灶周不伴水腫。大腦半球型擴大VR腔隙多兩側不對稱,這與基底節型不同。
![]()
![]()
病例二:21歲女性患者,頭痛數月前來就診。左側基底節區多發囊性病灶,部分突入第三腦室室間孔區域並引起梗阻性腦積水(紅箭),病灶簇狀分佈,呈規則的圓形或類圓形,灶周無明顯水腫,增強未見任何強化,符合擴大V-R腔隙的典型特徵。值得注意的是,擴大的VR腔隙一般不會引起佔位性效應。
腔梗灶
腔梗灶,也稱腔隙性腦梗死或腔隙性梗死,有的單位也叫腔隙灶,都是一個意思。既往的文獻常將長徑<15mm的梗死灶稱為腔梗灶,但近年來隨著7T超高場強MR的投入使用,相關研究已經證實腔梗灶也可以很大呦!不過不論病灶直徑的大小,腔梗灶一般都是由脈絡膜前動脈、豆紋動脈分支、深部的長髓質動脈區域性閉塞引起的。
![]()
![]()
左側基底節區腔梗灶,病灶既不像類圓形也不像規則的長條狀,在Flair序列上灶周可以看到淡淡的高訊號影(紅箭)。基底節區的腔梗灶位置相較於擴大VR腔隙往往更加靠近上份層面、形態不規則,且隨著病程時間延長Flair序列高訊號會愈加明顯。
![]()
![]()
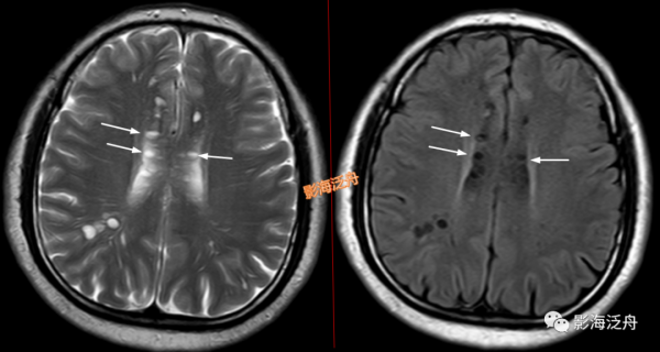
左側基底節區腔梗灶(紅箭頭),儘管後部的那個病灶看起來有點圓,但在Flair序列病灶周圍可以看到非常明顯的高訊號(綠箭),代表區域性膠質增生,證明其為慢性期腔梗灶而非擴大的VR腔隙,其餘病變(黃箭)為對稱性分佈,呈斑點狀或長條狀,Flair序列灶周無高訊號,診斷VR腔隙更為合理。
![]()
在大體標本上對照觀察腔梗灶(紅箭頭)與擴大的VR腔隙(黃箭頭)。
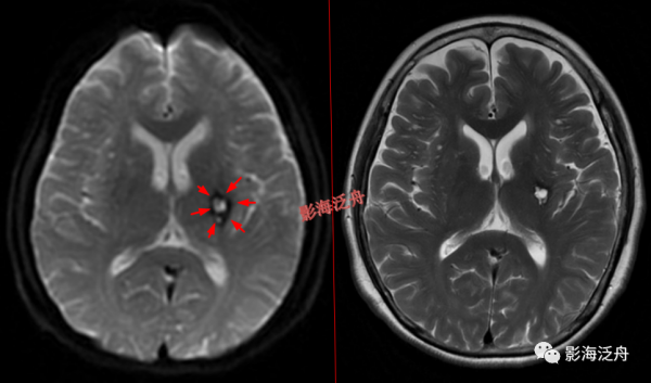
![]()
診斷腔梗灶的時候要注意與小的陳舊性出血灶相鑑別,如上圖,T2WI序列上左側基底節區可見不規則小片狀T2WI高訊號影,不仔細看很容易就診斷腔梗灶了,但在低b值DWI序列上病灶周圍可見環狀低訊號影(紅箭),代表含鐵血黃素沉積,為慢性出血的特徵性表現。
脫髓鞘
脫髓鞘、脫髓鞘改變、腦白質病變、腦白質疏鬆……叫什麼的都有,公說公有理婆說婆有理,反正是沒有個定論。不過需要明確一點,脫髓鞘改變和脫髓鞘病變可不是一個意思,脫髓鞘病變是非常大的一類,不光包括了脫髓鞘改變,而且更傾向於描述諸如多發性硬化(MS)之類的腦白質病變。本文所說的脫髓鞘(非特異性脫髓鞘病灶)是一種腦退行性改變,即腦白質疏鬆,多是由區域性的腦血流量調節障礙所致。
![]()
![]()
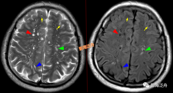
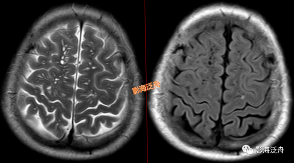
當脫髓鞘改變呈片狀且沿著側腦室周圍對稱性分佈時,大家往往一眼就能識別出來,像上圖這種雙側半卵圓中心多發非特異性脫髓鞘病灶,大家可能就有點心虛了。注意最大的一個病灶(黃箭)長軸平行於側腦室(紅線),所以只是普通的退變,而不是不是MS。
當這種非特異性脫髓鞘病灶比較侷限、散發的時候,如何與VR腔隙及腔梗灶區分呢?一般來說,前者顯示比後兩者更加淺淡和模糊,在T1WI序列尤為明顯。
小結
透過不同序列的側重觀察,能夠比較有效地鑑別上述疾病,如Flair序列在鑑別擴大VR腔隙與慢性期腔梗灶時非常有用,而低b值DWI序列則對陳舊性微出血很敏感,T1WI序列常可以用來排除是否為局灶性的腦白質脫髓鞘改變。
