滲出與實變實變是指肺泡、細支氣管內的氣體被滲出物(液體、蛋白、纖維素、細胞等)或病理組織所替代。多見於各種炎症、浸潤性肺結核、肺水腫、肺出血和真菌病等。最常見的是炎性滲出。由於病理性液體可沿著肺泡孔向鄰近肺泡擴散,因而病灶呈逐漸移行狀態,與正常肺組織分界不明顯。當病灶處於滲出性病變時可見單發或多發斑片狀、雲絮狀磨玻璃樣稍高密度影,大小不等,密度不均,邊緣模糊。當病灶進展至實變期時,密度較高且均勻。大片實變的肺組織內可見含氣支氣管影,稱之為空氣支氣管徵或支氣管氣像。MRI上由於肺泡內的氣體被液性物質所取代,故在T1WI呈較低訊號,T2WI呈較高訊號。臨床上滲出與實變常見於肺炎、肺結核、肺出血、肺水腫等。
滲出性病變X線及CT影象
胸部X線正位片(a)示左肺紋理增多、模糊;CT肺窗(b)和縱膈窗(c)示兩下肺片狀高密度影,邊緣模糊。
右肺下葉實變CT圖,顯示空氣支氣管徵
空洞與空腔
空洞為肺內病變組織壞死、液化後經引流支氣管排出後形成。多見於肺結核、肺癌、肺膿腫等。空洞內如有液化壞死組織可形成氣-液平面,多見於肺膿腫。
空洞壁可為壞死組織、肉芽組織、纖維組織或腫瘤組織等。依據空洞壁厚薄可分為蟲蝕樣無壁空洞、薄壁(厚度≤3mm)空洞及厚壁(厚度>3mm)空洞。
肺結核空洞CT圖;a、肺窗;b、縱隔窗,顯示右上肺薄壁空洞
肺癌空洞CT圖;a、肺窗;b、縱隔窗,顯示左上肺厚壁空洞(↑),內壁不規則,見壁結節
肺膿腫空洞CT圖;a、肺窗;b、縱隔窗,顯示右上肺厚壁空洞(↑)周圍見大片狀模糊影
1、蟲蝕樣無壁空洞
為大片壞死組織內的空洞,洞壁為壞死組織。空洞一般較小、多發、邊緣不規則呈蟲蝕狀,多見於乾酪性肺炎。
2、薄壁空洞
洞壁由肉芽組織、纖維組織及乾酪樣組織構成,厚度≤3mm一般邊界較清晰,壁厚度均勻,內壁光滑,周圍肺野可見斑點狀、索條狀影,多見於結核性空洞。
3、厚壁空洞
壁厚>3mm,邊界欠清,內壁凹凸不平或光滑整齊,多見於肺結核、肺膿腫及周圍型肺癌。
結核性空洞乾酪樣壞死物未完全排出時為厚壁空洞,外壁光整,內壁可不規則,排出後呈薄壁空洞。肺膿腫空洞壁外緣常較模糊,內緣多光整,空洞內多形成液-氣平面。癌性空洞常為偏心性厚壁空洞,空洞外壁可呈分葉狀,內壁凹凸不平或可見結節狀腔內突起。
空腔是肺內生理腔隙的病理性擴大,它沒有病變壞死組織引流排空過程。多見於支氣管擴張、肺大泡及先天性肺囊腫。空腔壁一般由薄層纖維組織(如肺大泡)或支氣管黏膜上皮(支氣管擴張)及纖維組織(如先天性肺囊腫)構成。
空腔壁一般薄(<1mm)而均勻,周圍無實變,腔內無液體。合併感染時,空腔壁可增厚,內可見氣-液平面,空腔周圍亦可見實變影。
肺空腔CT圖;a、CT肺窗顯示兩上肺大泡;b、CT肺窗顯示左下支氣管擴張
結節與腫塊
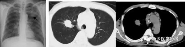
結節或腫塊呈圓形、類圓形或不規則形的密度增高影,一般將直徑≤20mm稱為結節,其中<5mm稱粟粒結節,5~10mm稱微結節,>10mm者稱小結節;20mm以上的病灶稱為腫塊,結節和腫塊僅為大小的區別。可單發,亦可多發。單發者常見於肺癌、結核球、錯構瘤、炎性假瘤;多發者常見於轉移性肺癌,血源性金黃色葡萄球菌肺炎、韋氏肉芽腫、惡性網織內皮細胞增殖症、寄生蟲囊腫等。
肺部腫塊X線胸部正位、CT圖;a、X線胸部正位片示左上肺腫塊(↑);b和c、胸部CT肺窗和縱隔窗示右上肺腫塊,縱隔淋巴結腫大
1、密度
根據CT平掃肺內結節密度可分為實性結節、磨玻璃樣密度結節及混合密度結節。同時,肺內腫塊性病變早期密度一般較均勻,中晚期惡性病變或是膿腫等炎性病變可出現不同程度的液化、壞死呈低密度。
良性病變內常可見爆米花樣、蛋殼樣鈣化,惡性病變鈣化少見,呈沙礫樣鈣化。另外在肺部同時也應觀察平掃與增強後動脈期、靜脈期結節密度變化情況。
2、分葉徵
指腫塊的邊緣呈凹凸不平的多個弧形。可分為深分葉和淺分葉。其病理基礎為病變組織在生長過程的不均勻增長,同時由於較大血管、支氣管或小葉間隔纖維性增生對病灶生長的阻擋所致。
深分葉對周圍型肺癌診斷意義較大,良性腫瘤、結核球、轉移性腫瘤等也可出現分葉,但以淺分葉多見。
3、毛刺徵
指自腫塊邊緣向周圍呈放射狀分佈的線狀影。粗短毛刺常提示其為惡性,是腫瘤細胞沿周圍結構浸潤性生長所致。慢性炎性病變多表現為長毛刺,是結締組織反應性增生的一種表現。
胸部CT肺窗圖;顯示毛刺徵(↑示)
4、空泡徵
指病灶內1~3mm大小的點狀透亮影,可單發亦可多發。多見於直徑在3cm以下的早期肺癌。其病理基礎是尚未被腫瘤組織破壞的肺泡及扭曲未閉的細支氣管。
胸部CT肺窗圖;顯示空泡徵(↑)
5、空洞見“空洞與空腔”部分。
6、鈣化見“鈣化”部分。
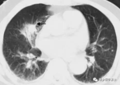
7、胸膜凹陷徵
表現為腫塊與鄰近胸壁間的三角形或喇叭口狀影,其尖端指向或深入病灶內。為病變瘢痕收縮牽拉鄰近胸膜所致,腫瘤及炎性病變皆可出現此徵象。
胸部CT圖;a、胸部CT肺窗和b縱隔窗顯示胸膜凹陷徵(↑)
9、周圍衛星病灶
結核性腫塊鄰近肺野常可見斑片狀、索條狀衛星病灶。周圍出現多髮結節,多考慮惡性腫瘤已發生轉移。
增殖與纖維化增殖為纖維母細胞、血管內皮細胞和組織細胞增生,內有淋巴細胞、漿細胞形成的浸潤病灶。常見於慢性炎症形成的肉芽腫、乾酪樣病灶等。結核、矽肺結節均為肉芽腫性病變,表現為邊界清楚的斑點狀、結節狀高密度灶;炎性假瘤為增生性炎變,多呈球形或腫塊形狀,慢性肺炎則多表現為小於肺段或肺葉的病灶,其變化均較為緩慢,幾個月甚至幾年無吸收,或可緩慢長大。纖維化是指纖維組織取代病灶中的細胞成分,成為病變組織的主要成分。分為侷限性和瀰漫性兩種。侷限性纖維化常見於慢性炎性、結核修復、癒合期表現。表現為索條高密度影,邊界清晰。嚴重者可引起肺門牽拉移位,胸廓塌陷,縱隔向患側移位等。瀰漫性纖維化常見於瀰漫性間質性病變,病理上以肺間質為主的滲出或漏出、炎性細胞或腫瘤細胞浸潤、纖維結締組織和肉芽組織增生。影像學表現根據病理學改變的性質、範圍、時間的不同而不同。常見表現為近肺門部肺紋理增粗、條索狀影,肺野外圍細線狀、網狀或蜂窩狀影。廣泛的小葉間隔增厚,相鄰增厚的小葉間隔相連形成胸膜下1cm以內與胸壁平行的弧線線狀影,稱為胸膜下線。小葉間隔的淋巴貯留、間質水腫或纖維化,可在肋膈角區形成為長約1-3cm、寬約1-2mm的水平橫線,大致與胸膜面垂直,外側與胸膜相接觸,稱為小葉間隔線B線(Kerley's B線)。CT,尤其是HRCT對早期輕微肺間質纖維化非常敏感,可顯示小葉間隔增厚等細微變化,對肺間質病變的診斷具有重要價值。常見疾病有慢性支氣管炎,系統性紅斑狼瘡、結節病、類風溼關節炎、過敏性肺炎等免疫性結締組織病,塵肺、矽肺等職業病以及癌性淋巴管炎等。
兩肺間質性改變X線胸部正位片(a)、CT肺窗(b)圖
鈣化鈣化為鈣鹽在肺內的異常沉積,多發生在退行性變或壞死組織內。常見於肉芽腫性病變,如結核。肺內腫瘤組織及囊腫壁也可出現鈣化。影像學上鈣化的大小、形態、分佈各異,X線平片或CT顯示效果較好,MRI由於在T1WI及T2WI上鈣化一般均呈低訊號,因而顯示效果較差。肺內腫塊的鈣化特點在病灶良、惡性判斷中具有一定價值。鈣化多,蛋殼樣、爆米花樣鈣化,常為良性病灶,蛋殼樣、弧形鈣化提示囊性病變,爆米花樣鈣化提示錯構瘤或骨肉瘤肺轉移。肺癌的鈣化發生率低,且多表現為細小砂粒狀鈣化,成簇狀分佈。
左肺結核球X線胸部正位片、CT縱隔窗圖;a、X線胸部正位片;b、CT縱隔窗示鈣化(↑)
肺門改變1、肺門增大一側肺門增大常見於結核及轉移性淋巴結腫大、肺門中央型肺癌及一側肺動脈或肺靜脈的擴張。兩側肺門腫大常見於結節病及淋巴瘤。X線表現為肺門密度增高,範圍增大,肺門可見侷限性外凸或呈分葉狀腫塊。CT及MRI較X線檢查優勢明顯。特別是利用MRI的血管流空效應,不需使用對比劑即可較好的區分腫塊、血管及氣管等結構。
2、肺門縮小
常見於右心室輸出量減少或右室流出道梗阻性病變。一側肺門縮小常見於肺動脈分支先天異常;兩側肺門縮小可見於法樂氏四聯症。X線表現為肺門影變小。
3、肺門位置的改變
肺門移位常見於肺不張及結核纖維瘢痕牽拉。上葉不張或肺內大量纖維化可使患側肺門升高,而下葉肺不張或纖維化可使肺門下移。
右側肺門上抬X線胸部正位片圖
來源丨新鄉醫學影像
