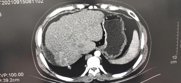
前幾天遇到一位32歲的年輕男性患者,以腹痛、腹脹就診。門診上腹部CT檢查發現嚴重的肝硬化,並且肝右葉可見片狀低密度病變,臨近肝臟邊緣凹陷並有少量腹水。當時考慮可能又是一個乙肝並肝硬化腹水患者,因為肝硬化比較明顯且肝右葉有低密度灶,常規建議增強掃描。
患者遂入院行上腹部多期增強CT檢查,發現肝右葉低密度病變邊緣部可見動脈期團片狀輕度不均勻強化,門脈期及延遲期基本呈等密度。憑經驗此病變高度懷疑肝癌,但又不十分典型,遂與臨床醫生溝通,然而反饋的結果是病人並沒有肝炎病史,查血甲胎蛋白結果未出。當時心裡就產生了大大的疑問,患者年紀輕輕,又沒有肝炎,怎麼會這麼嚴重的肝硬化,並且出現非常可疑的腫瘤病變呢?突然意識到另外一個徵象,就是平掃時就發現的異常增粗的奇靜脈,當時以為只是肝硬化門脈高壓側支迴圈形成造成的結果。但透過增強影象可以看到,食管胃底靜脈曲張並不明顯,而腰背部及腎臟周圍可見多發迂曲增粗的靜脈血管,最終都匯入到奇靜脈造成其異常粗大。當時就想到了一個病——布加綜合徵,觀察病人的下腔靜脈肝內段顯影模糊,肝上段下腔靜脈區域性狹窄,顯示不清。繼續追問病史,患者自述兩年前就有小腿間斷反覆潰瘍伴色素沉著(由於某種原因,沒有留下照片)。
至此,患者的診斷基本就真相大白了,可能就是布加綜合徵合併肝硬化、肝癌,後來得知甲胎蛋白值是1090。 雖然基本明確了診斷,針對這個患者的工作我們也算完成了,但是內心卻是莫名的沉重。我在想,他這麼年輕卻患上如此嚴重的疾病,是何等的不幸啊!他腿部的症狀和體徵到底什麼時候出現了?會不會不止兩年呢?是當時自己沒有重視呢,還是看了醫生沒有被重視?也或許是沒遇到有這方面經驗的醫生吧。如果在兩年前確診,也許會好很多,至少可能不會到肝癌這一步吧!如果再早發現,甚至連肝硬化也可以避免發生。相比今日,該是何等慶幸啊!因為布加綜合徵這病,如果早點發現,完全可以手術或者介入治療就能夠治癒。
因為沒有如果,所以很遺憾!
