如果你要問醫生,什麼樣最美?永遠只有一個答案:健康最美!
但社會給了我們女性很多的壓力,你得精緻,你得面板白嫩,活出少女感......有時裹挾在他人的眼光中,我們都忘了照顧好自己。
今天,腎上線這篇文章希望給姐妹們提個醒:這類護膚品,別再亂買了!你的腎,真的會怕!
腎科醫生最怕的“護膚品”
我們中國人,大多面板偏黃。因此,每每遇到面板異常白皙的患者,很多腎科醫生不由得心頭一緊。
這不得不提到,腎科醫生最怕的一類“護膚品”:美白化妝品!
《中華腎臟病雜誌》近期又發表了一份相關病例,我們一起來看看吧。
一位40歲的女性,突然出現雙下肢浮腫,一按一坑,休息後水腫減輕。本來沒在意,沒成想3個月後,水腫越來越嚴重,而且尿尿伴隨大量泡沫,她覺得有些不對勁,趕緊前往醫院就診。
這一查嚇了一跳,她的蛋白尿定量高達5g(正常小於0.15g),血白蛋白28g/l,符合“腎病綜合徵”診斷,被收入院。
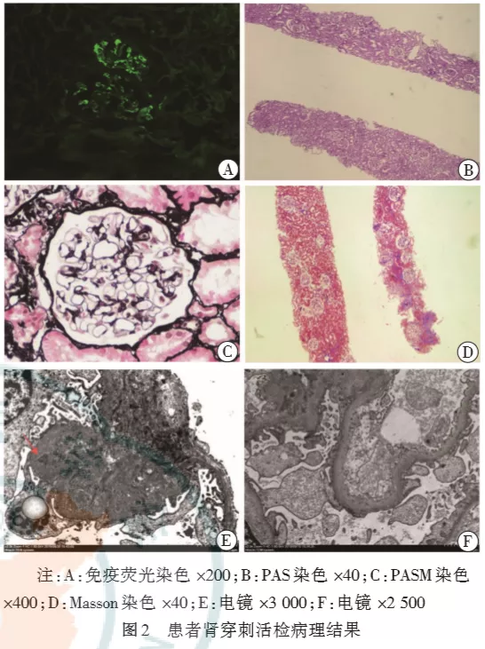
入院抽血、查尿一番檢查後,為了進一步明確病因,醫生給她進行了腎穿刺活檢。
病理診斷為:腎小球微小病變,伴IgA沉積。
如果按照常規,接下來就是按照微小病變,開始激素治療方案。但醫生卻發現,這個患者似乎跟其他腎友有些不一樣:
因為,她實在是,太,白,了!於是問她,有沒有用過什麼護膚品?
她這才回憶起,在發病前6個月,她曾用過一款美白產品,用了之後,面板開始脫皮,脫皮之後,就白了幾個色:
該患者美白前後對比
▽
醫生在得知這一情況後,考慮該患者可能存在重金屬中毒,於是將其尿液送檢毒物化驗中心。
果不其然,尿汞超標!尿汞/尿肌酐比值:31.7μg/g(正常值為4μg/g)!
考慮汞中毒引起的腎臟損害。對其進行驅汞治療,予肌肉注射二巰基丙磺酸鈉,共計4個療程 。
幸運的是,驅汞治療後,她的病情明顯好轉,繼續隨訪12個月,腎病完全緩解,尿蛋白轉陰,未再出現水腫、尿泡沫增多等症狀。
美了顏,坑了腎
汞,其實就是水銀,我們並不陌生。
古代就已應用很多了,咱們可能對古代皇帝吃丹藥的“八卦”都略有耳聞吧。其中丹藥用得最多的一個成分就是汞,汞被古代煉丹者推崇為“靈而最神”的昇仙靈液(所以很多吃丹藥的皇帝最後死因可能就是重金屬中毒)。
在我們現代應用也很廣,像職業接觸(溫度計、氣壓計生產、手工採金等行業),而生活中接觸,比如某些化妝品、染髮劑、藥物。
汞對黑色素有抑制作用,美白功效明顯,所以經常被不良商家違規大量新增在護膚品中。
在全國化妝品抽樣檢查中,美白祛斑類汞超標尤其常見:
使用這些產品後,汞經過面板、呼吸、胃腸道等各個途徑進入人體,人體對汞的清除速度緩慢,並且,約80%蓄積於腎臟。
一旦其蓄積量超過腎臟自我解毒能力時,即可引發腎損害,常表現為腎病綜合徵、腎小管功能障礙等,同時可伴有四肢感覺異常、手抖、口腔內金屬味、牙齦腫痛等。
由於汞中毒繼發腎損害並不具備特異性,再加上人們往往沒有意識,不知道自己接觸過汞,就可能造成漏診和誤診為原發性腎臟病。
如果汞中毒腎損害能夠及時診斷,驅汞治療後是可能痊癒的,部分患者也可能會用到激素。
選擇正規品牌,必要的保溼、防曬是ok的。但對於各種速效美白產品,希望大家謹慎,別到頭來美了顏,坑了腎!
夥伴們動動手指點贊轉發吧,提醒一下身邊的女性朋友們!
參考文獻:
美白化妝品導致的汞中毒相關性腎損害一例. 中華腎臟病雜誌
Mercury toxicity. Uptodate
Mercuric conjugates of cysteine are transportedby the amino acid transporter system b (0,+): implications of molecular mimicry.JASN
