好醫術 出品
對於腕關節疾患,X線檢查對於診斷佔據著重要地位。但如果對其解剖不瞭解,加上閱片經驗少、沒有經過專業系統的培訓,很多醫生對如何快速從X線片檢查中迅速辨別出有用的資訊、準確作出診斷有一定的難度。今天重點給大家分享腕關節X線解剖,希望能對提升大家診治水平有幫助!
解 剖
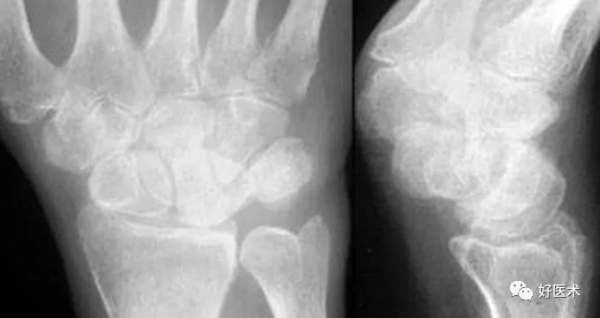
成人期腕關節正側位及舟骨蝶位片
1.舟骨 2.月骨 3.三角骨 4.豆狀骨 5.大多角骨 6.小多角骨 7.頭狀骨 8.鉤骨 9.橈骨莖突 10.尺骨莖突 11.第一掌骨基部
1.舟骨 2.月骨 3.三角骨 4.豆狀骨 5.大多角骨 6.小多角骨 7.頭狀骨 8.鉤骨 9.橈骨莖突 10.尺骨莖突 11.第一掌骨基部
12.舟骨結節 黑箭:舟骨腰部 白箭:舟骨滋養血管影
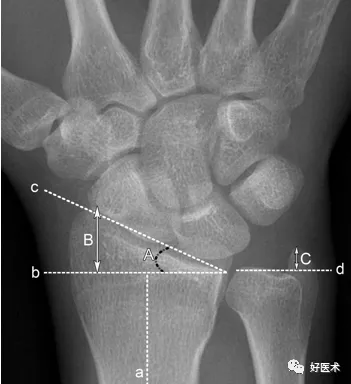
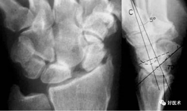
測量方法
a.橈骨縱軸線 b.橈骨縱軸線垂線 c.橈骨遠端關節面切線 d.尺骨遠端關節面水平線
A.橈骨內傾角 B.橈骨莖突長度 C.尺骨莖突長度
A.正常為15~35˚ 。若此角度改變,提示橈骨遠端骨折或腕關節脫位。
B.正常為8~18mm,且橈骨莖突較尺骨莖突低1~1.5cm。若此長度改變,提示橈骨遠端骨折。
C.正常為2~8mm。若此長度改變,提示尺骨莖突骨折或尺骨莖突過長(尺骨莖突撞擊綜合症)
正尺骨變異
負尺骨變異
尺骨莖突撞擊綜合症
男-44Y,慢性嚴重腕尺側痛。尺骨莖突長約10mm(箭),月骨-三角骨間隙狹窄及退變(箭頭)
a.舟骨、月骨切線 b. 月骨三角骨切線 c.尺骨遠端關節面切線 d.腕骨總高度 e.頭狀骨長度
A.腕骨角 B.尺腕角
A.約130°。腕關節骨折、脫位時此角增大,此角減小見於Madelung畸形和卵巢發育不全。
B.正常為21~51˚。若此角度改變,提示腕骨骨折或腕關節脫位。
*腕骨高度指數:d與第3掌骨長度的比值,正常範圍0.54±0.03。Nattrass腕骨高度指數為d/e,正常範圍1.57±0.05。在月骨缺血壞死、不穩定型舟骨骨不連、腕關節不穩時,腕骨高度指數減小。
Madelung畸形
腕骨角約100°(<130°),對側亦呈類似改變。
月骨缺血性壞死
月骨密度不均勻增高,形態不規則、變扁,Nattrass腕骨高度指數約1.35(<1.52)。本病例存在尺橈骨骨折所致的正尺骨變異(尺骨遠端超過橈骨2mm以上),月骨壞死考慮尺橈撞擊綜合症所致。
Nakamura法橈尺遠側關節半脫位CT診斷(CT橫斷面)
只有MS大於1/4SD時,可診斷為半脫位。MS:尺骨半脫位部分的最大寬度;RUD:橈尺背側連線;RUV:橈尺掌側連線;SD:乙狀切跡的直徑;U:尺骨;R:橈骨;P:背側;A:掌側。(注意:掃描時,肘關節伸展,前臂最大程度旋前或旋後)
a. M形腕掌線 b. 腕骨弧線(Gilula線)
若顯示腕骨弧線不連續或各弧線不平行,或腕掌線M形結構消失,應高度懷疑腕關節不穩或脫位。
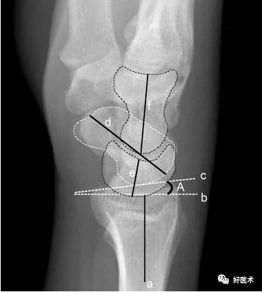
a.橈骨縱軸線b.橈骨縱軸線垂線 c.橈骨遠端關節面切線 d.舟骨軸線 e.月骨軸線 f.頭狀骨軸線
A橈骨前傾角
A.正常為0~20˚。若此角度改變,提示橈骨遠端骨折。
①橈月角(-15° ~ 15°);
②橈舟角(30°~60°);
③舟月角(30°~60°);
④頭月角(-15°~15°)。
在腕骨脫位、半脫位及腕關節失穩時,腕角表現異常。
X線解剖分析四步走
- 攝片位置標準嗎?
- 腕骨排列正常嗎?
- 三條腕骨弧線連續嗎?
- 腕骨形狀和軸向如何?
1.攝片體位
擺位
- PA 位:腕、肘需與肩同高,此位置尺橈骨才會平行。降低手臂橈骨將與尺骨交叉而相對縮短,此時不可能判斷尺骨長度(正或負尺骨變異)。
- 側位:肘需內收,肩、肘、腕也要在一個平面。此位置使側位剛好與PA位垂直。
2.關節間隙
腕關節間隙應小於等於2mm。僅橈腕關節間隙稍寬。腕掌關節間隙略窄於中腕關節。
頭月關節間隙寬度作為基準,其他關節間隙以之為對照。
上圖顯示月骨和頭狀骨、鉤骨、三角骨異常重疊,而舟骨與其也不平行,橈月關節間隙異常增寬,其它腕骨間隙平行而勻稱。此為單純月骨脫位。
3.腕骨弧線
- 弧線Ⅰ為沿舟骨、月骨、三角骨近側凸面的光滑曲線。
- 弧線Ⅱ為其遠側凹面的光滑曲線。
- 弧線Ⅲ為頭狀骨和鉤骨近側的曲面。
腕骨弧線中斷
弧線中斷提示骨折或韌帶斷裂導致的半脫位或脫位。
上圖顯示弧線 Ⅰ 在月骨-三角骨關節處的中斷。
弧線 Ⅱ 中斷於舟月關節和月骨-三角骨關節(上圖)。弧線 Ⅰ 雖有缺口但仍呈光滑弧線,可認為是完整的。
弧線 Ⅲ 中斷,上圖顯示頭狀骨-鉤骨關節異常階梯狀改變。
月骨形狀
不同體位月骨形狀
月骨呈梯形,近側邊緣平行於遠側邊緣。月骨若傾斜則呈三角形。僅透過此形狀的變化還不能判斷月骨是否脫位,因為位置改變,月骨形狀也會改變(圖)。可能是月骨脫位伴傾斜或僅僅是傾斜。
月骨脫位和月骨周圍脫位
月骨脫位
月骨周圍脫位
最常見的腕骨脫位。區分要點:哪塊腕骨正對橈骨?若頭狀骨正對橈骨而月骨傾斜則為前者;若月骨仍正對橈骨而頭狀骨向背側移位則為後者(圖)。
月骨脫位
正位片示舟月關節間隙消失,腕骨弧線不連續;側位片示橈骨遠端的關節面不與月骨平行,月骨倒立,就像立著的一個香蕉或一片橘子,並且向前突出移位。其他腕骨位置正常。
月骨周圍脫位
正位片示M形腕掌線和腕骨弧線不連續,腕骨角140°(>130°);側位片示月骨和橈骨相對位置正常,月骨遠端的凹形關節面空虛,其他腕骨一起向後移位,形似懸掛在月骨後上方的花托。月周脫位常伴有舟骨骨折,本例亦顯示舟骨橫行骨折。
舟骨形狀
左圖:背伸
右圖:尺偏
腕關節運動時舟骨形狀會改變。若腕關節尺偏或背伸,舟骨將會拉長填充橈骨莖突和拇指基底部(大多角骨)的間隙。
左圖:橈偏,印戒徵
右圖:屈曲
腕關節橈偏或屈曲,舟骨將會縮短、向掌側傾斜,呈印戒徵( signet ring )。
4.腕骨軸線
在腕關節側位片測量舟骨、月骨和頭狀骨的軸線有助於判斷腕骨的空間關係。
舟骨軸線
- 中軸線:近極和遠極中點連線,常難以分辨;
- 腹側切線:與中軸線幾乎平行(圖)。
月骨軸線
透過近側凸面和遠側凹面中點的連線,與透過月骨掌側和背側邊緣的連線垂直(左圖)。 舟月角(右圖)
- 正常: 30 – 60°
- 可疑異常: 60 – 80°
- 異常: > 80°,提示腕關節不穩
頭狀骨軸線(左圖)
透過第3掌骨近端凸面和頭狀骨近端中點的連線。
頭月角(右圖)
- 正常: < 30°
- 異常: > 30°, 提示腕關節不穩。
背側嵌入部分不穩(DISI, dorsal intercalated segmental instability )or背伸不穩 (dorsiflexion instability):
- 嵌入部分(The intercalated segment)即以月骨為標誌的近排腕骨,意為近側區段(腕關節近側部分:橈骨和尺骨)和遠側區段(遠排腕骨和掌骨)之間的部分。
- DISI or 背伸不穩是指月骨向背側成角。可透過測量舟月角(>60-80°)和頭月角(≥30°)確定;或橈月角≥15-30°
掌側嵌入部分不穩(VISI, Volar intercalated segmental instability ) or 掌屈不穩 ( palmar flexion instability):
- VISI or 掌屈不穩即月骨向掌側過度傾斜(橈月角<-15-30°) 。
- 多數DISI為異常,而VISI多為正常變異,尤其是腕關節非常鬆弛的時候。
請您診斷!
Case 1
分析:
- PA位示月骨不平行。
- 腕骨弧線 I 和 II 在月-三角骨間隙和舟月間隙中斷。
- 月骨呈三角形。
PA位診斷:月骨脫位
Case 2
分析:
- 月骨-三角骨間隙不平行,存在重疊。
- 鉤狀骨和月骨也存在重疊。
- 橈骨、月骨、舟骨近極和頭狀骨近極平行關係存在。
- 三角骨、鉤骨、頭狀骨遠極、大多角骨和舟骨遠極平行關係也存在。
- 頭狀骨和舟骨骨折
診斷:經舟骨、經頭狀骨月骨周圍骨折-脫位。
提示骨折-脫位線
背側脫位
Case 3
分析:
- 舟骨和尺骨莖突骨折。
- 掌骨弧線 I and II 在月骨-三角骨間隙中斷。
- 月骨和舟骨近極、橈骨平行關係不存在。
- 舟骨縮短提示其向掌側傾斜。
- 其他掌骨平行關係存在。
診斷:可能為月骨周圍脫位(僅從PA位難以判斷月骨或月骨周圍脫位);月骨呈三角形提示月骨傾斜或脫位伴傾斜。
側位片:
- 可以確定為月骨周圍脫位伴舟骨、尺骨莖突骨折。月骨呈三角形僅為月骨傾斜。
- 可見月骨掌側極骨折(圓圈),脫位易復發。
Case 4
分析:
- 舟骨-大多角骨-小多角骨關節(STT關節)、第 1 腕掌關節(CMC1關節)嚴重骨關節病伴半脫位。
- 掌骨弧線正常、平行關係存在。
- 舟骨變長提示其向背側傾斜。
- 側位片示月骨也向背側傾斜,近排腕骨作為一個整體移動,所以不存在脫位。
最後診斷: 無脫位DISI(背屈不穩)伴 STT關節骨關節病及半脫位。
Case 5
分析:
- 月骨-三角骨間隙平行關係缺失致掌骨弧線 I and II 中斷。
- 月骨和舟骨平行,而與其他腕骨不平行。
- 舟骨縮短提示向掌側傾斜。
- 月骨平行於舟骨,其三角形狀提示為掌側傾斜所致。
- 近排腕骨不是一個整體,因為弧線 I 中斷。
側位顯示月骨向掌側傾斜
最後診斷:掌屈不穩伴月骨-三角骨關節脫位。
Case 6
分析:
- 關節間隙增寬或狹窄但平行關係存在,說明無脫位。
- 舟月關節脫位,舟骨掌側傾斜。
- 舟骨、月骨移位致橈舟關節、頭月關節骨性關節。
- 月骨背側傾斜提示DISI。
這就是舟月進行性塌陷( scapholunate advanced collapse ,SLAC),此例原因為外傷性舟月韌帶撕裂。
SLAC是指由於未治療的慢性舟月脫位或慢性舟骨不連所致的特殊骨性關節炎和半脫位。此退變發生於異常負重區,如橈舟關節,接著是不穩定的頭月關節,頭狀骨向背側半脫位。
另一例 SLAC, 病因為 CPPD(雙水焦磷酸鈣沉積)
SLAC合併CPPD的特徵為:
- 由於侵蝕和骨吸收,舟骨近端變小。
- 舟骨窩侵蝕。
來源:好醫術
【版權宣告】本平臺屬公益學習平臺,轉載系出於傳遞更多學習資訊之目的,且已標明作者和出處,如不希望被傳播的老師可與我們聯絡刪除
