來源:廣西中醫藥大學第一附屬醫院
    突發意外 昏迷不醒
9月的一天深夜,一位老師在例行巡視住校小學生宿舍時,發現躺在床上的小學生李某,四肢在不停地抽動,嘗試喚醒無果後,警覺的老師立即將昏迷不醒的孩子送到我院。
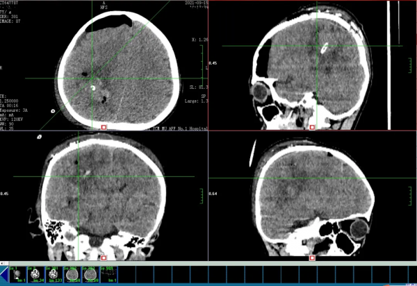
經過檢查,神經外科周海靜主治醫生告訴老師和匆忙趕來的媽媽——孩子得了腦出血!而且出血量特別大,約98ml!
“腦出血!不是老年人才得的病嗎?!”媽媽和老師臉上掛滿了問號。
是的,腦出血是一種發生在腦實質內的出血性疾病。發病年齡多在50歲以上,伴有高血壓動脈硬化的病人,活動時發病多見,睡眠時發病者較少,這是由於活動後血壓增高易誘發此病。兒童腦出血發病較成人少見
然而此時,已經沒有時間細細探究出血原因,因為患兒右側瞳孔已經散大,這代表著患兒已經出現腦疝——
腦疝是指腦組織在疾病(大量腦出血)擠壓作用下離開原有位置,移位到人體的自然腔隙的病理現象。
腦疝十分兇險,進展速度快,極端時間內就可能造成生命體徵嚴重紊亂,病死率極高。
這意味著如果不能迅速解除腦疝,一條生命將不可避免的失去。唯一的活命機會,就是立即實施手術清除血腫,緩解腦疝。
    爭分奪秒 挽救生命
神經外科立即實施應急預案,立即安排了科裡急診手術經驗豐富的陳銳副主任醫師,火速將患兒送進手術室,緊急實施了顱內血腫清除術。
術中迅速在患兒右側頂葉腦實質內鎖定了出血灶,在顯微鏡輔助下精心操作乾淨徹底的清除了血腫並且最大限度避免了手術對腦組織的損傷。腦組織張力隨著血腫清除逐漸下降,這意味著顱內壓力下降,腦疝危機逐步解除,手術目的已經達到。
然而經驗豐富的陳銳心情卻沒能放鬆下來,因為他發現了空了的血腫腔內顯出一團畸形的血管團。
腦動靜脈畸形是一種先天性局部發育異常的血管團,動靜脈之間不經過毛細血管網連通。血液直接從動脈系統流入壓力相對較低的靜脈系統,常引起頭痛、癲癇以及顱內出血。這就是患兒腦出血的責任病灶。
出血原因找到了,但是此處血管異常複雜,正常供血動脈和畸形血管團混雜不清,肉眼難以分辨,此時貿然切除畸形血管團,很可能會誤傷正常血管,而且病灶位於腦重要功能區,強行從腦組織中將其剝離切除必然損傷周圍尚有功能的腦組織,加重病情。
仔細斟酌後,決定暫時放過這個罪魁禍首,後續科室將採取更穩妥的處理辦法。
經過及時的手術和術後的精心治療,除了左側手腳完全不能動(腦出血後常見的偏癱症狀)之外,患兒生命徵逐漸平穩,意識也逐漸恢復至完全清醒。
    抽絲剝繭 微創除根
命保住了!可是出血病因未除,隨時可能再次出血,遲早會再次經歷這樣的生死瞬間。
這是一個僅僅7歲的孩子,美好的人生尚未開始!
時機成熟,神經外科立即安排了全腦血管造影術——這是目前臨床診斷腦血管疾病最好的手段。術中清晰顯示了右側頂葉深部巨大的動靜脈畸形的每個細節,為醫師下一步治療提供了詳盡的情報。
集思廣益一直都是神經外科的優良傳統,科室主任組織全科醫師討論進行討論,經過積極討論,在反覆斟酌每一種手術方式的優勢和風險後,決定採用動靜脈畸形介入栓塞術——這是一種透過在血管內穿行的導管將醫用膠水(onix膠)打入畸形血管團,從而將畸形血管堵死的微創手術。難點主要在於準確的將導管送入指定的位置,以及恰如其分的將膠水灌滿整個畸形血管團,又不能溢位導致正常的血管被堵塞,需要極高的手術技巧及臨床經驗。
為了最大程度達到預期目標並最大限度降低風險,由黃建榮主任醫師和朱雲中副主任醫師這兩位廣西區內這一領域的“頂尖高手”聯手出戰。
經過緊張的手術和時間節點的精準把握,完美的封堵了病灶血管,這意味著導致患兒出血的“炸彈”被徹底的拆除了。
    中西結合 再獲新生
根除了病灶之後,接下來的難題就是要解決左側手腳完全不能動(腦出血後偏癱)的問題。
偏癱是此類腦出血常見症狀,重殘率非常高,及時的治療及有效的康復手段對功能恢復非常關鍵。
中西醫結合及康復治療正是我院的拿手專案。
神經外科:朱雲中副主任醫師定期為患兒把脈,根據患兒的體質型別,實時為患兒調整最合適的中藥方子。
康復醫學科:為患兒量身制定了康復方案,透過祖國傳統醫學針灸、穴位敷貼、推拿等專案來幫助患兒恢復患肢功能。
患兒恢復正常生活能力的願望極強,每日也在母親的鼓勵下積極鍛鍊。
經過治療,原本發病後完全不能動的左側手腳,不久就神奇的能動了,而且隨著治療越發有力。目前已經能夠不借助外力的情況下自行行走,並能將患側胳膊舉過頭頂。
“醫生伯伯!我能自己走了!”
雖然走路時候還有點不穩,手指活動還不是很靈活,但是希望已經綻放在他的雙眼。
對於神經外科團隊來說,這一例病患的治癒是又一場速度和技術的考驗!
追求極致和完美是神經外科一直以來的追求,中西醫結合治療腦出血有著極強的優勢,團隊相信透過中西醫結合治療一定會讓更多患者獲得希望和更美好的未來!








 
			 
			 
			 
			 
			 
			 
			 
			 
			 
			 
			 
			 
			 
			 
			 
			