臨近中午的時候,急診轉來一位病人,我們姑且稱他為老Q吧!
其實老Q一點也不老,50來歲的樣子,我見到他的時候,正上著呼吸機,眼睛一眨不眨的睜著,直直的望著天花板。
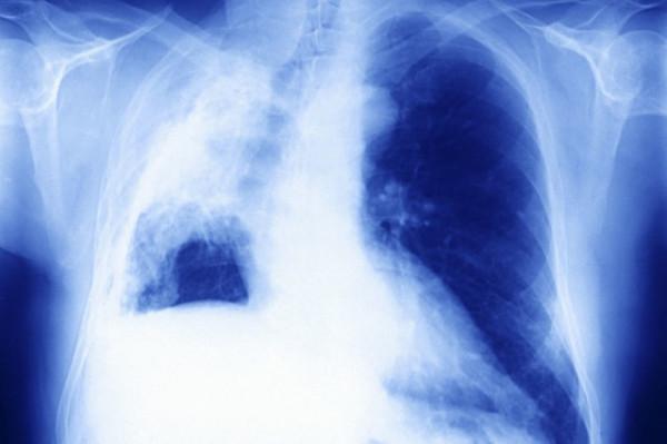
我大致看了看他的檢驗報告,高鉀,低血壓,無自主呼吸合併嚴重感染,顯然是一個重症患者。
聽急診科醫生說,老Q是一個月前才發現自己得了肺癌,也沒積極治療,今天一早走在路上直接昏迷,倒在路邊,被好心人打了120送到醫院的。
病床邊上,站著位四五十歲的中年婦女,頭髮略顯枯黃,雙手極其不自然的相互揉搓著。
“你是病人的……?”
“我是他老婆。”中年婦女回答道,“醫生,他現在怎麼樣了?”
“他的胸水已經把右肺壓沒了,他昏迷很大程度上是因為右肺功能完全喪失所致的,呼吸不了,你明白嗎?
看著一臉懵的家屬,說實話,我們也挺無語的。
我不禁責問家屬,“為什麼不早點來看?”憋了許久的話,還是沒憋住,雖然我也知道這種的責怪沒有任何意義,徒增家屬的自責。
但是我真的不明白,非得把病情拖到昏倒在路邊才來醫院,初期有不適的時候為什麼不來?
老Q的妻子默不作聲,只是呆呆的望著病床上她的丈夫——老Q。
“他平時是做什麼的?有什麼基礎疾病嗎?”醫生開口問道。
“他以前是送快遞的,最近幾年在做廚師。”老Q的妻子總算開口了,咬了咬嘴唇,小聲說道,“平時他也不怎麼按時吃飯。”
也算是個苦命的人,勞作了半輩子,到頭來得了肺癌,發現的時候竟還是晚期。我開始為剛才的魯莽感到有些許的後悔和自責。
“你出來一下。”考慮到老Q現已有模糊的意識,我們把老Q的妻子約到了病房外。
“是這樣的,病人沒有基礎疾病,我們可以再盡把力,試試看把他救回來。但他腫瘤這個情況,已經轉移到全身了,沒法治了。想知道你們家屬現在是什麼打算?”
我知道,這些話無疑是掐斷了老Q妻子殘存的最後一絲幻想,但病情的確不容樂觀,需要給家屬提前做好思想準備。
“醫生,救一救要花多少錢?”
我在一旁,心中“咯噔”了一下,聽老Q妻子的口吻,難道是花錢多就不治了嗎?雖說老Q已是肺癌晚期,但以前也有過類似的患者,經過積極治療後,也有相對不錯的生存期。況且,這是一條才50多歲的生命啊,還很年輕。
“是這樣的,如果要治療,第一步我們先處理胸水,我剛剛也說了,他現在右肺功能幾乎是喪失的,只有改善了右肺情況,才有可能下呼吸機,做後續治療。”醫生無奈的解釋道。
“醫生,我們……經濟條件一般,家裡沒什麼錢。”老Q妻子,頓了頓,然後小心翼翼的說道,彷彿生怕自己說錯了什麼。
這回,輪到我們沉默了,我打量了下老Q的妻子,中等的個頭,偏瘦,頭髮有些凌亂,衣著樸素。唉!或許真的是經濟原因,讓老Q一直拖著,不願意來醫院看病吧!
“可是,就算我們什麼藥都不用,單單這個呼吸機,一天的費用也要好幾百,何況他現在還有感染的問題,我們得給他用抗生素,這些加起來,一天的費用可能也要上千了哦。”醫生有些左右為難。
我知道,這筆費用已經是醫生按最低標準在報給老Q的妻子了,大概是想讓她別有太大的經濟負擔。
“我再和家裡人商量下吧。”老Q的妻子並沒有直接給到我們想要的答案。
其實,家庭經濟條件拮据,至親躺在重症監護室,岌岌可危。救與不救,對家屬來說都是一道兩難題。
我也明白家屬的顧慮:救了,怕最後人財兩空;不救,自己這關怎麼也過不去。
直到在我寫下這段文字的之前,醫生還在建議家屬為老Q引流胸水,插個胃管。家屬拒絕了,只是讓我們做一些簡單藥物對症處理,暫時穩定住老Q的生命體徵。
老Q的悲劇讓我們不禁唏噓,其實癌症並不是不可預防的。那預防癌症,我們可以做些什麼呢?
中醫認為:正氣存內,邪不可幹。故而,癌症多因損傷正氣、痰凝氣結所致。即我們常說的虛症和痰溼。
如何根據個人體質辨證選用合適的中藥調理呢?
1、痰溼體質人群,大都有肥胖、胸悶、易疲勞等表現。觀察舌象,通常可以發現舌頭會顯得大而胖,部分舌邊有齒痕。此類人群建議以健脾養肺為主,常用的中藥有:北杏、黨參、薏苡仁、芡實、山藥、陳皮、浙貝母、川貝母、大棗等。
2、體內的津液、陰分不足等陰虛體質的人,容易感到燥熱上火,通常形體消瘦、心煩氣躁,觀察其舌象,通常舌頭顯得比較瘦長。如果類似於此類情況,日常就要重視滋陰降火、潤燥養肺,常用的中藥有:百合、無花果、北沙參、玉竹、麥冬、太子參等。
最後,定期體檢、定期體檢、定期體檢(重要的事情說三遍)真的很重要,可有效預防和避免某些疾病進展所致癌症。
