近期,北京老年醫院心內科進行了一次特殊的術前精準冠脈評估檢查。
79歲的李大娘因長期2型糖尿病控制不佳出現了重度骨質疏鬆,近2年因為胸椎壓縮性骨折、橈骨骨折,多次就診於我院骨科,無奈地成了骨科的“老顧客”。
今年7月底,李大娘因為左肱骨骨折再次入住骨科,準備行切開內固定術,在術前評估中主管醫生張大夫眉頭緊鎖:李大娘的心電圖較過去2年不一樣了,立刻申請了心內科會診,經過詳細研讀檢查材料,仔細詢問病史,會診醫生劉大夫發現李大娘心電圖II、III、aVF導聯較2年前新出現了Q波。這也提示著,李大娘在過去2年間出現過心臟下壁心肌梗死!
這樣的術前評估結果讓李大娘覺得奇怪,因為她一直沒有覺得有任何明確的胸痛症狀,只是偶爾做家務以後稍微有點胸悶。
但透過詳細分析李大娘的病史,心內科王健主任醫師指出:李大娘長期2型糖尿病、血糖控制不佳,繼發了周圍神經病變和骨質疏鬆,一方面導致腳底感覺異常,容易踩空並跌倒、造成骨折。另一方面,也導致了李大娘對內臟性疼痛不敏感,已經發生了心肌梗死卻渾然不知。
如此一來,現在心臟的情況能否耐受外科手術便成為了骨科和心內科大夫的擔憂,經過慎重考慮,決定先進行心臟血管檢查——冠狀動脈造影,以進一步明確心臟血管情況。
經過與李大娘和家屬的充分溝通,李大娘緊握王健主任的雙手,說道:“做您該做的吧,我這條命就交給您了!”
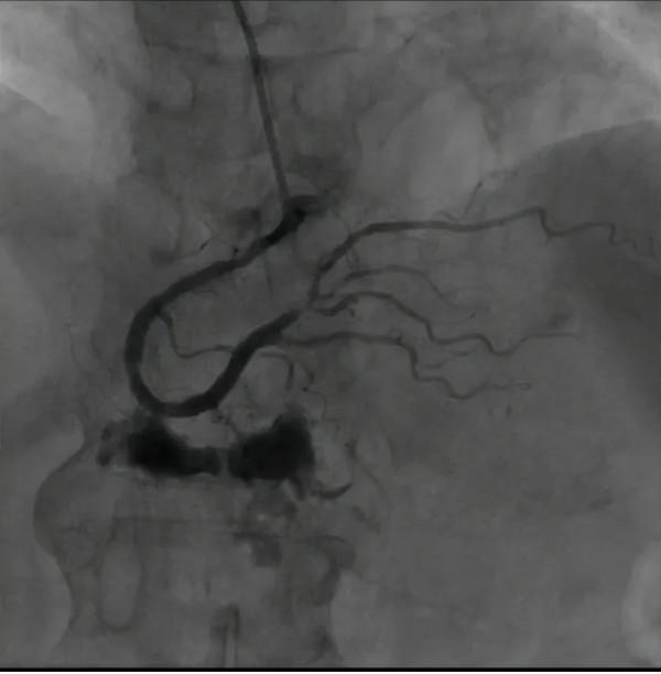
手術當天,李大娘順利完成了冠脈造影檢查。造影見左側冠脈有很多斑塊,但血管管腔狹窄尚不嚴重。右冠多處節段性狹窄,其中遠段後側支可見80%狹窄。
看到這樣的造影結果,大家都鬆了一口氣。李大娘的確是因為右冠脈狹窄導致了下壁心肌梗死,但結合入院以來完善的血清學指標,已屬陳舊性心肌梗死。
造影見右冠脈遠段仍有80%狹窄,屬於臨界病變,可先透過系統藥物治療來達到骨科圍術期預防心臟風險的目的。目前可優先進行骨科手術治療。
冠脈造影過程非常順利,十餘分鐘便完成了,李大娘開玩笑說:“這就做完了?我以為還沒開始呢”。
之後,李大娘轉回骨科並接受了左肱骨切開內固定術,手術很成功。
李大娘及家屬對我院的多學科聯合診療模式非常讚賞,對醫生說道:“感謝你們認真負責,減少了我們在多個科室間的奔波,讓患者能夠得到全方位的救治,有驚無險地度過手術大關。”
老年患者常多病共存,多學科診療是老年醫學的重要診療模式,術前的精準評估可最大程度的規避手術風險,這僅僅是其中的一例。
心內科介入團隊將秉著“真心誠意全心服務,安心舒心放心治療”的理念,為每一位患者的健康保駕護航。
文 | 心內科 劉宏
北京老年醫院心內科介入團隊
北京老年醫院心內科以老年心臟疾病為特色,是集臨床、科研、教學和康復為一體的綜合性臨床學科,擅長老年冠心病、心力衰竭、心房顫動、緩慢心律失常等常見病、多發病的診療,及心臟病伴多合併症複雜內科疾病的診療。
現已開展冠狀動脈造影及支架植入術,在老年、複雜高危冠心病(如:急性心肌梗死、左主幹病變、鈣化病變、分叉病變、慢性完全閉塞病變等)介入治療方面積累了豐富的治療經驗。
開展緩慢型心律失常臨時起搏器和永久性起博器植入術,快速型心律失常(室上速、房撲、房顫、室早、室速)心臟電生理檢查及射頻消融治療;肥厚型心肌病化學消融治療,心臟瓣膜病介入治療等。





 
			 
			 
			 
			 
			 
			 
			 
			 
			 
			 
			 
			 
			 
			 
			