什麼?超聲可以檢查顱內結構?超聲不是靠聲波的反射和折射來獲得影象診斷疾病的嗎?顱骨這麼厚,聲波怎麼能穿透呢?
超聲確實不能很好的檢查成人顱內結構,但是對於新生兒,超聲不在話下。我們透過新生兒未閉合的囟門(前囟、側囟、乳突囟、後囟,主要為前囟)對顱內結構進行扇形掃查,多切面觀察。
那新生兒顱腦檢查是每個孩子出生都要做嗎?這個檢查又能診斷什麼疾病呢?
檢查針對可能發生顱內腦結構改變的新生兒、小嬰兒的篩查(如早產兒、足月新生兒小嬰兒、低體重兒、多胎兒、巨大兒等) ;有異常分娩史及相應病史的新生兒(如缺氧、窒息、宮內感染等);母親孕期有合併症的新生兒。針對出生就有顱內出血徵兆(不哭、不鬧、刺激無動靜)的新生兒,通常在出生後3-天內進行第一次檢查,第一次檢查後的7-15天再檢查一次。
新生兒顱腦超聲主要診斷以下顱內病變:
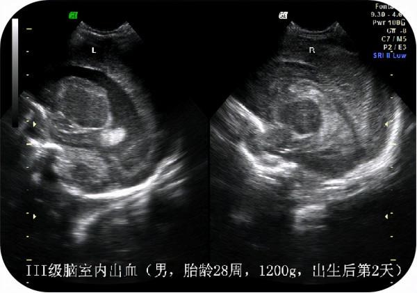
1.新生兒顱內出血;
2.新生兒缺氧缺血性腦病;
3.新生兒腦室周圍白質軟化;
4.腦積水;
5.顱內佔位。
顱內出血是指血管破裂從而引起出血,進而會造成腦缺氧。
在新生兒群體當中,發生顱內出血的機率十分高,因為新生兒的腦部發育不成熟,腦部血管管壁較薄,血管很容易破裂,懷孕期間出現妊娠期糖尿病或高血壓的產婦生下來的新生兒出現顱內出血的機率更大。
針對顱腦的檢查最好的方法是CT和磁共振,為什麼還要做這個超聲檢查呢?
對於新生兒來說,CT的X線具有放射性,磁共振雖然沒有太大損害,但是需要新生兒保持長時間的鎮靜,而且這些檢查都需要把新生兒帶到檢查的診室。新生兒顱腦超聲與CT、MRI等成像技術構成互補關係,但它有著更強的實用價值,無需患兒特殊準備;經濟便捷,可床旁實時檢查;重複性好且無痛苦;無創無輻射,實屬“綠色檢查”。目前已經成為臨床針對新生兒顱腦疾病首選的影像學檢查方法。對於新生兒來說,顱腦損傷往往缺乏典型的臨床表現,而超聲檢查,也是早期篩查新生兒顱內病變的最好辦法。
孩子是一個家庭的希望和寄託,每一個小生命的降臨都是令人欣喜的事情,為了家庭的更美好的未來,為寶寶進行顱腦超聲檢查十分重要,希望所有的孩子能夠健康出生,快樂成長!(陳靜 徐世傑)










 
			 
			 
			 
			 
			 
			 
			 
			 
			 
			 
			 
			 
			