sponsored links

肺大泡相關(診治)問題

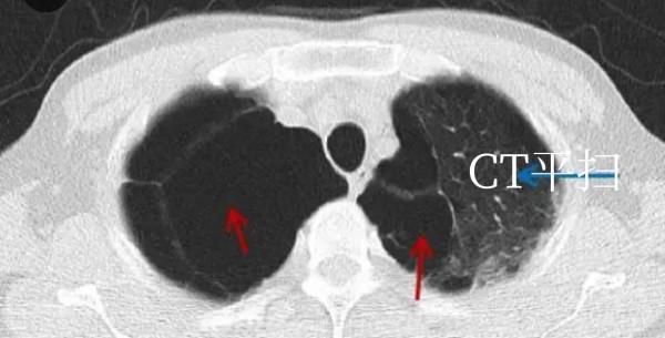
肺大泡常見於青年(先天性發育異常)和老年人(繼發性肺部病變)中, 少年因氣胸發作時 CT 發現肺大泡。老年人(吸菸者 主)及部分粉塵從業人員因體檢發現。肺大泡嚴重者大多有呼吸困難等症狀。胸腔鏡微創手術,是最佳選擇。薄層 CT 能夠很好區別肺大泡和氣胸。#創作#

肺大泡相關(診治)問題

肺大泡相關(診治)問題

肺大泡相關(診治)問題

肺大泡相關(診治)問題

肺大泡相關(診治)問題

肺大泡相關(診治)問題

肺大泡相關(診治)問題

肺大泡相關(診治)問題

肺大泡相關(診治)問題

肺大泡相關(診治)問題

肺大泡相關(診治)問題

肺大泡相關(診治)問題

肺大泡相關(診治)問題

分類: 家居
時間: 2021-12-02

相關文章

聽咱們自己講那過去的事情 由 智慧馬桶 所想到的
聽咱們自己講那過去的事情 在輕工機械廠的日子裡 由使用 "智慧馬桶 " 所想到的 前些天到兒子家住了些日子,在衛生間裡領略使用了 智慧馬桶,感到這個物件的效果還是挺好的,挺實用的. ...

A15晶片首個跑分出爐,遙遙領先驍龍888、麒麟9000,依舊地表最強

A15晶片首個跑分出爐,遙遙領先驍龍888、麒麟9000,依舊地表最強
在今年的秋季釋出會上,蘋果高管再次表示,自己的A15晶片又取得了優異的成績,這枚晶片集成了150億顆電晶體,其CPU領先對手50%,GPU的領先對手30%,至於領先的物件是誰,並沒有明確說明,但基本可 ...

從6799跌至2738,2K曲面屏+7nm麒麟晶片+IP68,還有鴻蒙系統加持

從6799跌至2738,2K曲面屏+7nm麒麟晶片+IP68,還有鴻蒙系統加持
華為近日宣佈了鴻蒙系統使用者量升級進展,從6月份釋出至今短短三個月時間,升級使用者量就突破了1億,這樣的進展速度可謂是突飛猛進,華為從推出鴻蒙系統開始,就備受網友的關注,現在升級使用者量如此之多,出現 ...

蘋果A15跑分出爐,與A14、高通888、麒麟9000對比,差距很大

蘋果A15跑分出爐,與A14、高通888、麒麟9000對比,差距很大
iPhone13釋出後,關於蘋果A15這款晶片,就有兩種看法. 一種是提升太多了,從118億電晶體到150億電晶體,同時蘋果表示,CPU領先50%,另外4核GPU領先30%,5核GPU領先50%,而A ...

智慧馬桶優缺點大解析,未裝修的朋友們,要做到選購時“智鬥”

智慧馬桶優缺點大解析,未裝修的朋友們,要做到選購時“智鬥”
暢談關於裝修的那些事,分享裝修的各種經驗和知識.大家好,我是暢談裝修,關注我即可瞭解更多關於裝修的那些事! 問:智慧馬桶好不好用? 答:好用.很好用,但前提是選對了,選錯了就是雞肋! 這可以是購買和使 ...

雞蛋、鴨蛋、鵝蛋,哪個更有營養?為什麼鵝蛋更大,卻不受歡迎?

雞蛋、鴨蛋、鵝蛋,哪個更有營養?為什麼鵝蛋更大,卻不受歡迎?
很多人都知道,一個人每天吃一個雞蛋,對身體健康有好處.不管是煮.煎.炸.蒸還是炒,雞蛋都是我們日常生活中不可缺少的一道美味. 但是雞蛋吃了這麼多年了,總吃也還是有點膩了,就會有人將目光投在別的&quo ...

蘋果iPhone13的A15效能,比華為P50 Pro麒麟9000強多少?
為什麼拿麒麟9000和A15晶片來比較呢?回看蘋果iPhone 13釋出會後,估計好些小夥伴都好奇,蘋果聲稱.其iPhone 13用的A15晶片,CPU效能比競品領先50%,GPU效能比競品領先30% ...

釋出一年後仍然是最強王者,麒麟9000 4G版熱度不減

釋出一年後仍然是最強王者,麒麟9000 4G版熱度不減
買手機最看重什麼?很多使用者會將處理器放在首位.畢竟一款處理器的好壞,直接決定了後續很長一段時間的日常體驗,效能高,能耗低,訊號強的"三好晶片",更是購機首選,比如口碑.體驗都相當 ...

怎麼樣長時間踩水?打蛋式和蛙式都不如自然上浮
踩水和游泳都是水中求生技能,都建立在熟悉水性的基礎上,人之所以可以浮在水面上不是因為人的體重輕或是人的踩水.划水力氣大,而是因為水的浮力,如果身體足夠放鬆,身體在水中是無法下沉的,會自然地漂浮在水上, ...

炸饅頭片,不要裹蛋液,巧用一個料,饅頭片更酥脆,吃著不油膩

炸饅頭片,不要裹蛋液,巧用一個料,饅頭片更酥脆,吃著不油膩
導語:炸饅頭片,不要裹蛋液,巧用一個料,饅頭片更酥脆,吃著不油膩 大多數北方人愛吃麵食,尤其喜歡吃饅頭,一方面饅頭耐放,一方面饅頭配什麼飯菜都好吃,比如饅頭配稀飯.饅頭配涼拌菜.饅頭配骨湯,怎麼吃都很 ...

非洲“巨型蛙”長約1米,蝌蚪有鵝蛋那麼大,為何還會瀕臨滅絕?

非洲“巨型蛙”長約1米,蝌蚪有鵝蛋那麼大,為何還會瀕臨滅絕?
你見過最大的青蛙有多大?非洲有一種可以顛覆你認知的蛙類,最長的能長到1米,就連它的幼體--蝌蚪都能達到鵝蛋那麼大!究竟是什麼蛙類這麼神奇?它為何是瀕危動物? 常見的青蛙 非洲巨諧蛙有多神奇? (1)體 ...

100000000年前的蛋

100000000年前的蛋
記者從中國地質大學(武漢)獲悉,該校韓鳳祿團隊此前在河南進行野外考察時,意外獲得一枚蛋化石.經研究確認,這是一枚約1億年前的龜的胚胎化石,是已經滅絕了的體型巨大的南雄龜科成員所產的蛋. 龜鱉類起源於三 ...

蛋炒飯,先炒雞蛋還是先炒米飯?5個步驟操作,米飯粒粒分明

蛋炒飯,先炒雞蛋還是先炒米飯?5個步驟操作,米飯粒粒分明
米飯是我們平時吃的一道主食,但是每次燜米飯的時候不會那麼正好,經常會剩下一些米飯,用這些剩米飯做成一道美味的蛋炒飯,是再合適不過了,很多人喜歡自己在家做蛋炒飯吃,但是每次做出來不如飯店裡做得好吃,米飯 ...

史前巨龜的蛋化石裡竟然有個小寶寶
在中國發現的一個蛋化石帶來了一個驚喜:一隻史前巨龜的寶寶.插圖:MASATO HATTORI 產下這枚卵的烏龜的殼,長度可能和一個人一樣高,它們曾與恐龍一起在地球上漫步. 2018 年夏天,古生物學家 ...

嘴饞狒狒光明正大偷鵝蛋,遭看蛋的埃及鵝暴打,狒狒會如願以償嗎

嘴饞狒狒光明正大偷鵝蛋,遭看蛋的埃及鵝暴打,狒狒會如願以償嗎
這幾隻狒狒已經好長時間沒有吃過一頓飽飯了,它們是群居性動物,有明顯的等級制度和嚴明的紀律.飢腸轆轆的它們打起了一群鵝寶寶的主意.狒狒主要生活在熱帶雨林,半荒漠草原,低山丘陵等地方,白天在地面上活動,也 ...

鵪鶉蛋的最佳吃法,全部不放一滴水,香辣過癮,表皮焦酥味道美

鵪鶉蛋的最佳吃法,全部不放一滴水,香辣過癮,表皮焦酥味道美
大家好,我是第一美食阿飛,每天都有幾道美食分享給你,關注帶你領略四海八荒的舌尖美味. 今天和大家分享一道家常菜"香辣鵪鶉蛋",全程不放一滴水,一罐啤酒就能搞定,香辣過癮,鹹香入味. ...

減肥|蛋奶植物油減肥必備3營養素不用戒飯?吃冷飯燒脂穩定效果

減肥|蛋奶植物油減肥必備3營養素不用戒飯?吃冷飯燒脂穩定效果
今日導讀:減肥|蛋奶植物油減肥必備3營養素不用戒飯?吃冷飯燒脂穩定效果 減肥看似要戒吃很多食物,尤其白飯,不少人更避之則吉,但營養師指其實要均衡營養才可達至燒脂效果.白飯其實對體重不會造成太大負擔,只 ...

做蛋花湯,彆著急倒蛋液,水開時鍋里加“1物”,蛋花好看湯好喝

做蛋花湯,彆著急倒蛋液,水開時鍋里加“1物”,蛋花好看湯好喝
導語:做蛋花湯,彆著急倒蛋液,水開時鍋里加"1物",蛋花好看湯好喝 做蛋花湯,水開時鍋里加"1物",蛋花成形好看,比直接倒蛋液好喝 自古以來中國人都講究喝湯,有 ...

“蛋炒飯”家常做法,這幾個技巧很關鍵,米飯金黃松散,粒粒分明

“蛋炒飯”家常做法,這幾個技巧很關鍵,米飯金黃松散,粒粒分明
大家好,我是第一美食阿飛,每天都有幾道美食分享給你,關注帶你領略四海八荒的舌尖美味. 每次不知道是什麼飯時,都會想到一碗蛋炒飯,浸滿的油脂的米飯粒粒分明,香噴有嚼勁,雞蛋和米飯的融合香氣,讓人有一種忍 ...

恆潔Qi3智慧馬桶不僅擁有超高顏值,還能想你所想

恆潔Qi3智慧馬桶不僅擁有超高顏值,還能想你所想
隨著消費者生活水準的不斷提高,勢必倒逼行業滿足消費者愈加精細化的需求方向.對於衛浴的舒適度來說,已經從傳統的生理功能型向沉浸智慧型轉化.恆潔的產品一直以便捷.舒適.安全.予你生活品質這個理念去實現人們 ...