江蘇鐳射聯盟導讀:
本文介紹了用超快鐳射脈衝直接沉澱CdS量子點,發現了鐳射書寫域具有偏振光敏感的光學特性。
本文關鍵詞:
量子點,奈米晶體,玻璃,鐳射書寫,光致發光,雙折射,線性二色性
摘要
在這項研究中,我們透過透射電子顯微鏡研究了鐳射直接寫入玻璃體並含有CdS奈米顆粒的微疇的結構。CdS奈米晶體具有多分散的尺寸分佈,而量子點的最小尺寸為在微疇邊緣附近記錄到大約3–4 nm。CdS奈米晶體的尺寸急劇增大,從鐳射寫入微疇的外圍到中心大約為340nm。人們已經發現,微疇具有鐳射偏振敏感的光學特性,為發展先進的光學資料編碼和安全標記提供了機會。
1. 介紹
半導體量子點(QDs)是一種在所有三個空間座標下線性尺寸小於雙激子玻爾半徑的奈米粒子,近幾十年來受到越來越多的關注。量子點中載流子運動的空間限制導致電子能帶結構變得離散,能級之間的距離取決於量子點的大小。量子點的量子尺寸效應使得開發具有獨特電學和光學性質的新材料成為可能。
透過熱處理或鐳射輔助處理,可以在玻璃質材料中製備出高度穩定的量子點。含有量子點的玻璃作為濾光片的材料已經得到了廣泛的實際應用。另一方面,鐳射加工的通用方法為傳統玻璃材料的應用開闢了新的可能性,例如功能波導的書寫和光子積體電路的製作。
量子點和Alexa 488之間的光穩定性比較。(A)頂行:在3T3細胞中,用QD 630鏈黴親和素(紅色)標記核抗原,同時用結合抗鼠IgG(綠色)的Alexa 488標記微管。底層:微管用QD 630鏈黴親和素(紅色)標記,核抗原用與抗人IgG結合的Alexa 488染色為綠色。在100×1.30油浸物鏡下,用100 W汞燈連續照亮試樣3分鐘。使用激發濾波器(ex 485±20 nm)激發Alexa 488和QD 630。使用電動濾輪上的發射濾波器em 535±10 nm和em 635±10 nm分別採集Alexa 488和QD 630訊號。每種顏色的影象都是用冷卻的CCD相機以10秒的間隔自動拍攝的。顯示0、20、60、120和180秒時的影象。Alexa 488的標記訊號迅速消失,在2分鐘內無法檢測到,而QD 630的訊號在整個3分鐘的光照期間沒有明顯變化。比例尺,10µm。(B)使用裝有甘油或antifade安裝介質Vectashield的標本,定量分析QD 608鏈黴親和素(染色微管)和Alexa 488鏈黴親和素(染色核抗原)強度的變化。影象由X. Wu, H. Liu, J. Liu, K.N. Haley, J.A. Treadway, J.P. Larson, N.Ge, F. Peale, M.P. Bruchez,利用半導體量子點對癌症標記物Her2和其他細胞靶點進行免疫熒游標記,Nat. biotechno21(1)(2002) 41-46。
生物分子功能化量子點可替代有機熒光染料作為生物成像和感測標籤。量子點最顯著的優點可能是其光穩定性。上圖為量子點與Alexa 488的光穩定性對比。
透過暴露在連續波鐳射束中沉澱量子點,需要使用CO2鐳射器的輻射,這是玻璃基體有效吸收或引入額外的吸收層,如透過離子交換摻雜銀奈米顆粒,並進行熱處理。儘管它通常需要後續的熱處理,超快脈衝輻照也成功地應用於玻璃中形成量子點,近年來,報道了一種用CdS量子點直接在矽酸鹽玻璃上刻劃微疇的一步法。
量子點之所以引人注目,是因為它們的微小尺寸產生了物理上的受限電子,這也被稱為“量子限制”。由於它們的空間特性,它們受到許多特殊的光學、電子和化學特性的影響,這是其他材料所沒有的。大小依賴性表明,這些屬性可以透過調整量子點的大小來輕鬆控制。當有更多的方法可以可靠地合成不同尺寸的單分散奈米晶體時,量子點將變得低成本。這些獨特的性質給量子點在科學和工業上的許多應用提供了潛力。
用於體外細胞成像的不同發光奈米晶體
(來源:Internet-reference: D.S.Kumar, http://www.drsakthikumar.com/quantumdots.php.)
本研究重點分析了鐳射書寫微疇的內部結構,首次揭示了它們的偏振敏感光學特性。
2.實驗
使用工具:23.1 K2O玻璃;20.0氧化鋅;4.0B2O3;以試劑級SiO2、H3BO3、ZnO、K2CO3和CdS為原料,採用常規熔融淬火技術合成了摻雜4 wt%CdS(100%以上)的52.9 SiO2組合物(wt.%)。在1270°C的50 ml剛玉坩堝中熔化1小時。玻璃鑄件在500°C下退火4 h,隨後在馬弗爐中進行慣性冷卻。鐳射輻照實驗用玻璃樣品是透過將澆鑄的玻璃切割到尺寸為10×10×4mm的平面平行板上製備的,該平行板經過光學拋光。
量子點。(A)在量子點溶液上激發紫外光時,發出不同顏色的光。(B)氧化鋅、羧基和寡核苷酸覆蓋在量子點表面,以促進DNA結合。改編自Wikipedia, 2017:量子點的DNA功能化[Online]。(2018.1.5)https://en.wikipedia.org/wiki/DNA-functionalized_quantum_dots.
採用飛秒Yb:KGW鐳射器Pharos SP (Light Conversion Ltd.)為基礎的FEMTOLAB鐳射微加工系統進行鐳射寫入。該鐳射器調諧後以100 kHz的重複頻率發射持續時間為180 fs的1030 nm脈衝。脈衝能量可達400nj。每個點沉積的鐳射脈衝數被設定為106。鐳射束透過Olympus LCPLNIR 20X物鏡聚焦在深度近150µm的玻璃樣品內。玻璃樣品平移使用Aerotech ABL1000氣動支承3D電動工作臺,該工作臺與鐳射脈衝產生同步。
利用Olympus BX51光學顯微鏡和Olympus DP73 CCD相機對鐳射書寫的微域進行了亮場和發光顯微觀察。在發光分析中,使用汞燈和Olympus U-MNV-2顯微鏡濾光片立方體,因此發光激發波長為410±10 nm,發射記錄範圍為455–800 nm。在發光分析中,使用汞燈和Olympus U-MNV-2顯微鏡濾光片立方體,因此發光激發波長為410±10 nm,發射記錄範圍為455–800 nm。
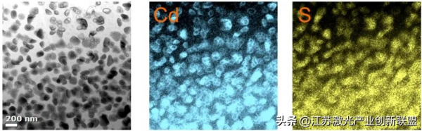
採用JEOL JEM-2200FS高解析度透射電子顯微鏡進行結構研究。利用聚焦雙離子束系統FEI Helios-Pegasus,採用Ga+離子銑削技術製備TEM薄片。在薄片取出並連線到鎢柵極後,將其研磨至<50 nm的厚度。將Cd(M4,5)和S(M4,5)殼層電子的電子能量損失譜(EELS)作為元素分佈圖記錄在製備的薄片中。
3.結果和討論
圖1顯示了用不同鐳射偏振寫入的微疇鐳射的光學特性結果。將鐳射寫入的微疇與在1 MHz脈衝重複頻率下獲得的微疇進行比較[8]可以看出,微疇周圍沒有明顯的透明玻璃熔化區,並且在100 kHz重複頻率下,微疇的黃色到棕色更為明顯。這歸因於100 kHz時的“溫和”蓄熱模式,在該模式下,熱量以較小的程度向外散發,並提供較小尺寸的微疇,證實鐳射寫入強烈依賴於應用的脈衝重複率。從發射訊號最大的微疇邊緣獲得的發光光譜(圖1b)分別由間隙硫或鎘空位和CdS表面硫空位固有的綠色和紅色成分組成[10]。將脈衝能量從100 nJ增加到400 nJ導致微疇直徑從5.5µm增加到15µm,並導致發光減弱(圖1(a-c))。相反,脈衝能量越高,微疇中可達到的最大延遲水平越高。可能是由於鐳射誘導應力,其分佈取決於鐳射偏振(圖1(a,d)),因此在鐳射寫入的微疇邊緣處的延遲值較高。
圖1 (a)不同脈衝能量寫入的微疇鐳射的亮場(頂部)和發光(中部)光學影象,以及慢軸方向(底部)的偽彩色圖。(b)在488nm氬鐳射激發下,記錄了鐳射寫入微疇的歸一化發光光譜。(c)微疇直徑和最大延遲與鐳射脈衝能量的關係。(d)在俯視配置下,以400 nJ的脈衝能量寫入的磁疇鐳射器的延遲剖面(插圖顯示了測量方向)。
為了進行TEM分析,實驗中製作了一個玻璃樣品,樣品表面暴露有微疇。最初,以400 nJ脈衝能量寫入微疇陣列,然後拋光樣品側面,以暴露從中切割薄片的疇橫切(圖2(a-c))。
圖2 (a) TEM研究用磁疇的製備方案。(b) Brightfield光學和(c)疇橫切的SEM影象。白線表示薄片切割的位置。(d)初始玻璃和(e-h)位置的TEM影象,對應於光學和SEM影象中顯示的色條。
TEM影象(圖2d)顯示初始玻璃中沒有奈米晶體,而在鐳射照射的微區中檢測到不同尺寸的奈米晶體(圖2(e-h))。在鐳射寫入疇中心發現了最大尺寸達340nm的分散奈米晶體。EELS圖譜明顯顯示沉澱的奈米晶體由Cd和S組成(圖3)。
圖3 鐳射沉澱奈米晶體中元素分佈的EELS分析。
隨著奈米晶尺寸的減小,奈米晶的濃度顯著增加。這證實了鐳射驅動CdS從疇中心向外圍的熱擴散。平均大小為3.4±0.4 nm的CdS量子點位於離疇邊緣相當遠的位置(圖2(b,c,e))。觀測到的偏差可能與拋光精度不足有關。另一個可能的原因是,考慮到聚焦離子束的熱效應,不能排除在片層製備過程中CdS奈米晶體的沉澱和生長。由於在未輻照的玻璃中沒有發現奈米晶,可以得出結論,鐳射書寫導致玻璃成分在疇附近透過熱擴散顯著改變。這可能會促進奈米晶體的形成。
因此,鐳射寫入微疇的鐳射誘導光學性質與CdS奈米晶沉澱直接相關。微疇邊緣發光的顯著增加明顯歸因於CdS量子點的形成。同時,慢軸取向對鐳射束偏振的依賴性可能與部分取向奈米晶體的偏振敏感性或鐳射寫入光束中的各向異性有關,因為奈米晶體形狀的明顯橢圓度或其分佈的各向異性均未記錄。在這種情況下,鐳射誘導的各向異性應力分佈和CdS晶體典型的線性二向色性都有助於生成由定量雙折射成像系統計算的偽彩色圖。
量子點的電子特性介於塊狀半導體和孤立分子。光電特性是由它們的大小和形狀決定的,並隨著這些變數的變化而變化。例如,當量子點被一個能量光子hν(其中,ν是入射光子的頻率)激發時,那些相對較大的尺寸,在大約5-6奈米,發射橙色或紅色波長的能量。較小的量子點發射出藍色或綠色範圍內較短的波長。因此,可以透過改變網點大小和形狀來調整這些屬性以獲得所需的輸出。圖3.3顯示了量子點的帶隙隨尺寸變化的變化情況。量子點可以由單元素材料(如矽或鍺)或化合物半導體(如CdSe、PbSe、CdTe和PbS)製成。量子點有時也被稱為“人工原子”,因為這些材料表現出在原子和分子中可見的離散電子態。
250°C環境光(A)和紫外燈(B)下的光致發光比較。從左到右依次為椰殼CD、紅麻CD、efb CD。
樣品的光致發光可以從定性和定量兩方面進行觀察。在定性方法上,採用紫外線燈作為光源。當光源發出的紫外線輻射被材料吸收時,電子被暫時推到高能態。當電子回到它們的正常狀態時,被吸收的能量被釋放出來。這種釋放的能量在可見光區域有波長,可以觀察到熒光顏色。CD的熒光顏色取決於合成所用的材料和使用的紫外線輻射(光源)的波長。
上圖為不同型別生物炭在250℃相同溫度下的光致發光對比圖。在環境光下,以椰子殼和紅麻為基色的光碟顯示的都是無色透明的液體,而以efb為基色的光碟顯示的是無色透明的棕色液體。與此同時,在365 nm紫外線光照下,可以看出EFB-based發光CD展品最亮的藍色發光與椰子殼,kenaf-based CD。詳細解釋三種類型的生物炭樣品的光致發光性質進一步討論在接下來的段落。
4.結論
飛秒鐳射在摻CdS玻璃中寫入,形成了從外圍到中心大小為3 ~ 340 nm的CdS奈米晶微疇。沉澱的奈米晶體在鐳射暴露的微疇周圍的環形區域誘導光致發光和光學延遲。透過鐳射誘導的CdS奈米晶沉澱,實現玻璃光學特性的空間選擇性和可控模式化,為光學記憶和標記技術的發展提供了新的機遇。
來源:Direct precipitation of CdS nanocrystals in glass by ultrafast laser,MaterialsLetters,pulsesdoi.org/10.1016/j.matlet.2021.130974
參考文獻:M.S. Zaini, J. Ying Chyi Liew, S.A. Alang Ahmad, A.R. Mohmad, M.A.Kamarudin
Quantum confinement effect andphotoenhancement of photoluminescence of PbS and PbS/MnS quantum dots,Appl. Sci.,10 (18) (2020), p. 6282, 10.3390/app10186282
S. Kabi, A.G.U. Perera,Effect ofquantum dot size and size distribution on the intersublevel transitions andabsorption coefficients of III-V semiconductor quantum dot,J. Appl.Phys., 117 (12) (2015), p. 124303, 10.1063/1.4916372
江蘇鐳射聯盟陳長軍原創作品!
