一提到多系統萎縮(MSA),首先會想到“十字面包徵”,其次是小腦萎縮和對稱性橋臂高訊號,這都是MSA-C的影像表現。而MSA-P則表現為殼核萎縮、殼核邊緣裂隙徵以及殼核後外側低訊號。準確診斷多系統萎縮,認識MSA的影像學特徵,很大程度上是為了帕金森病的診斷,特別是MSA-P與帕金森病在臨床上非常類似,早期正確診斷並不容易。
作者:mxy01
來源:“腦與神經”公眾號
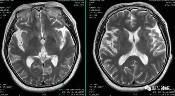
先看影像,可見殼核萎縮、外緣裂隙徵。
臨床資料
患者63歲女性,因行動遲緩,左上肢體抖動5年,右上肢及雙下肢抖動4年入院。
5年來症狀進行性加重。近2年臥床不起,生活無法自理,大小便失禁。無認知減退,對多巴製劑反應不佳。既往有股骨骨折史,有風溼性關節炎病史,無高血壓、糖尿病史。
查體:立臥位血壓未見異常,表情少,頭頸部偏向左側,雙上肢肌力4級,雙下肢肌力3級,四肢肌張力增高,隨意運動徐緩、笨拙,四肢姿勢性震顫,雙上肢輪替試驗笨拙,雙下肢輪替試驗無法合作,肱二頭肌腱反射、肱三頭肌腱反射、橈骨膜反射、膝反射、踝反射對稱存在(+);雙側Babinski徵陰性,行走不能。
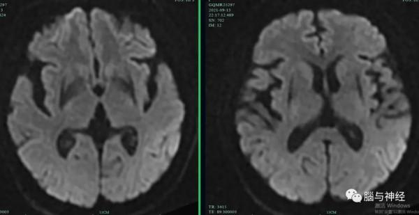
最典型還是SWI,類似尿毒症或糖尿病酸中毒的“叉徵”,可稱作“黑色叉徵”。殼核外緣的裂隙徵更明顯。
這是一例典型的以殼核萎縮為主的多系統萎縮,MSA-P,典型在何處呢?
一是影像典型:殼核改變,包括殼核萎縮、殼核背外側低訊號、殼核外緣的裂隙徵都很有特點。不僅傳統的T2相,可以看出SWI、DWI和ADC圖對於殼核異常也很有診斷價值。請看文獻報道的DWI、ADC圖和SWI對MSA的診斷價值。
二是臨床典型: 患者運動遲緩,運動障礙突出,病情進展快,數年內出現生活不能自理,對多巴製劑反應較差,這都是區別於帕金森病的特點。
思考
一、MSA的殼核變化與PD的燕尾徵消失:殼核的後外側SWI低訊號“黑色叉徵”,類似黑質緻密部外側鐵沉積導致的燕尾徵消失。解剖結構上,殼核和蒼白球的關係,類似黑質中緻密部和網狀部的關係。功能上,殼核和黑質緻密部關係密切,蒼白球和黑質網狀部有類似之處,都接受紋狀體的傳出聯絡。黑質網狀部參與調節睡眠,因此推測PD早期的睡眠障礙與網狀部受損有關。
二、MSA的殼核變化與腦橋十字面包徵:MSA-P的殼核萎縮和邊緣的裂隙徵,容易聯想到MSA-C的腦幹萎縮和十字面包徵,殼核萎縮自然會出現周圍邊界增寬,出現裂隙徵,腦橋的十字徵可能也有這個因素參與。其次,易於累及腦橋的疾病,也常常累及基底節。如腦橋中央髓鞘溶解,就常伴有腦橋外髓鞘溶解;高血壓腦病,肝豆狀核變性,尿毒症腦病(叉徵),高血糖性酸中毒等,都往往同時累及腦橋和基底節。可能是腦橋和基底節有類似的組織構築,有類似的血管結構。對代謝、變性、腦灌注和中毒有相似的易損性。
三、為什麼腦幹、殼核容易萎縮?容易腫脹的地方也容易萎縮!如高血壓腦幹腦病(PRES)時,腦橋腫脹明顯,有時伴有殼核水腫,而腦橋腫脹過後,會出現嚴重萎縮,也可有十字徵,因此推測腦橋和殼核的萎縮,並非都源於變性,有些是繼發於其他因素的,一定要排除長期高血壓、過度灌注的因素。
一家之言,敬請指教!
