王老師每年都要進行一次體檢,經常來找我開單抽血檢查。因為王老師的母親是20年前肝癌去世的,所以我每次都要將AFP的專案加上。
2017年只是血糖高點,其他指標都正常,那時的王老師剛退休,正是熱衷於養生的年齡,每天認真地調整飲食,堅持鍛鍊。
2018年的檢查發現AFP偏高,在6.0,正常值在5.0,肝臟B超未見異常,當時告訴他要注意複查這項結果,不到3個月,他就在一家醫院複查了這個專案,結果是正常的,他告訴我,我想也許是誤差,畢竟超過正常值也沒有多少。
2019年再次查體,AFP到了7點多,升高了,但也不是很高,B超正常。能吃能喝身體好,而且王老師的血糖稍微高一些,間斷服藥治療,控制的還是不錯的,每次複查血糖和糖化血紅蛋白基本都在正常範圍。
2019年王老師去了外地女兒那兒,在當地醫院進行了體檢,將體檢報告發給我看,我看各項生化指標都正常,B超正常,但是沒有進行AFP的檢查。當時問他為什麼沒查一查這個結果?他說,忘了。告訴他想著查一下,然後就沒再提起這個問題。
之後王老師迷上了調酒,他也沒有什麼技術,也沒有請教什麼專業人員,就是用各種乾果放在高度酒中進行浸泡,然後自己摸索放多少量,浸泡多長時間口感會更好。就這樣摸索著,每天就要喝上2、3杯,喝了1年多,自我感覺挺好,自覺睡覺比以前香。
在見到我的時候,就會津津樂道於他的調酒技術,也會提上一瓶給我品嚐,那個度數實在是太高,而且使用的都是65度的幹酒,實在享受不了。
我勸他儘量不要喝度數那麼高的,可他說,只有高度數才能泡出這樣的味道。而且幹酒都是糧食酒,酒真味道好,不是酒精勾兌出來的味道。
2020年趕上了疫情,這一年沒有體檢,不過王老師的心情很好,家庭工作都很順心,小酒喝得就更舒心了。
今年,我見到他,提醒他該查體了。他說,我是能吃能喝能睡覺,精神好得很,不過記憶力下降了,有些時候好忘事。
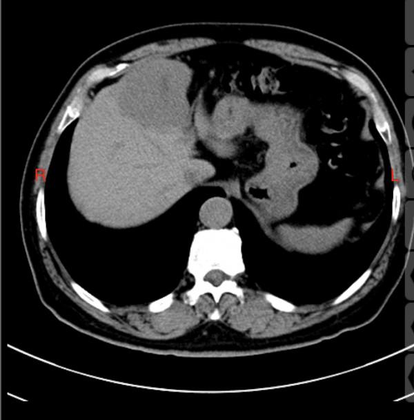
在我的督促下,王老師還是來醫院進行了抽血化驗,這次的AFP結果直接驚呆了我,達到了1800,看來大事不妙。趕緊和王老師的家人聯絡,帶他進行了CT檢查。發現肝臟的巨大腫塊,原發性肝細胞性肝癌基本確診。
從2018年的AFP輕微升高,到現在的巨塊型肝癌,3年的時間。
進行了手術治療,切除了半個肝臟,切除了膽囊,據手術醫生說,腫瘤包膜相對完整,沒有轉移的徵象。
我經常在想,如果王老師2019年能夠進行一個AFP的檢查,那時的數值會是多少呢?那時的B超檢查會不會漏過了已經在肝臟悄悄生長的腫瘤。1年的時間生長成如此巨塊,機體竟沒有任何感覺。
喝了一年的高度酒,對這個腫瘤的生長無疑起到了推波助瀾的作用。
查體非常重要,但是不是查完就了事。對於查體出現的一些異常檢查專案要警惕,要動態觀察,持續追蹤,才能真正實現查體的目的。
