近日,北京同仁醫院成功為一名70歲高齡的主動脈夾層合併腎功能衰竭的透析患者實施了體外“開窗”支架血管腔內修復術。
患者病情複雜 傳統手術面臨困境
主動脈夾層是由於各種原因導致主動脈內膜撕裂後,迴圈中的血液透過裂口進入主動脈壁內,導致血管壁分層,在動脈內形成真、假兩腔,病死率極高,與心梗、急性肺動脈栓塞被稱為“三大猝死病因”。
這位患者兩週前在外院透析期間突發血性胸水,出現主動脈夾層,因患者合併高齡、慢性腎臟病5期、高血壓3級和腎性貧血等多種高危因素,當地醫院無法處理,轉診到北京同仁醫院。
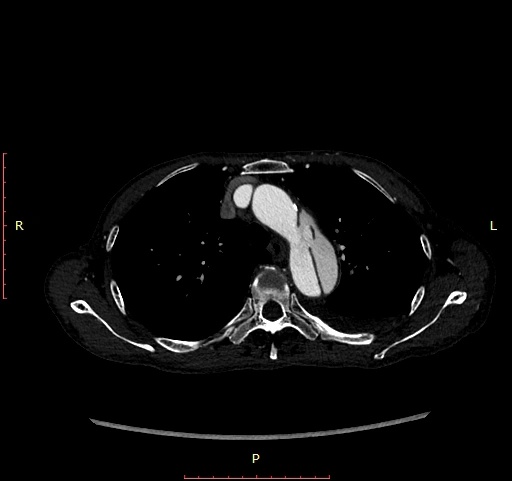
接診後,教授團隊仔細分析了患者的CTA影像資料,發現問題並不簡單,患者主動脈夾層第一破口位置距離左鎖骨下動脈不足1.5cm,而足夠的錨定區長度是保證此類手術成功,術後不發生I型內瘻等嚴重併發症的關鍵。更大的問題是,該患者為透析患者,而左鎖骨下動脈恰好是患者透析使用的自體動靜脈內瘻的供血動脈。若覆蓋左鎖骨下動脈,雖可獲得足夠的錨定區,但需要犧牲掉患者左上肢賴以生存的“生命線”,且可能影響脊髓供血動脈,增加術後截癱風險。
無足夠的錨定區,就需向近端延長錨定區,如何延長錨定區成為面臨的現實問題。延長錨定區的方法可選擇胸主動脈支架體外“開窗”、原位“開窗”及左頸總動脈-左鎖骨下動脈轉流術(覆蓋左鎖骨下動脈)。另外,夾層遠端存在第二裂口,且遠端錨定區血管重塑不佳,需延長遠端錨定區覆蓋第二枚支架。
創新術式 覆膜支架體外“開窗”
由於該患者高齡且伴發多種疾病,難以耐受左頸總動脈-左鎖骨下動脈轉流術等雜交手術,加之患者腎功能衰竭無法中斷透析治療,為減少手術操作時間及左鎖骨下動脈隔絕時間,經過全科醫生討論研究,決定為患者實施主動脈夾層支架體外“開窗”腔內修復術。
體外“開窗技術”是一項複雜而精細的新技術,根據術前精密測量的血管資料在預置覆膜支架上預先開出一個或多個“視窗”,再回裝入支架輸送系統,然後在手術中將所開的“視窗”精準地對合到目標血管開口上,從而保留目標血管的血流。
為了確保手術成功,儘可能降低併發症發生,制定了詳盡周全的治療方案,對患者進行全面的評估,透過獲取了患者全部DICOM原始影像檔案,進行主動脈三維重建,反覆研究主動脈夾層形態,對覆膜支架的口徑、長度、“開窗”位置、“視窗”大小等都做了精確的測量。同時,在體外利用廢棄支架反覆進行了“開窗”和“回裝”演練,以便為術中為患者量身定做這枚特殊的“開窗血管支架”。醫生也為患者術中確保血流動力學平穩做了精心的準備,血液透析及ICU為患者圍手術期保駕護航。萬事俱備,箭在弦上。
精準對接 手術順利完成
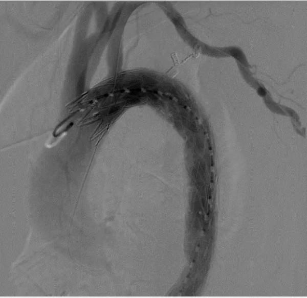
手術中,主任醫師首先經左肱動脈及右股動脈穿刺造影,再次全面評估胸主動脈夾層破口部位及長度,助手姚辰亮主治醫師按照術前測量值將DSA導管機精確調整好角度。醫生首先將主動脈覆膜支架自鞘管取出,依術前的設計在特定的位置進行打孔“開窗”,隨後在姚辰亮和蔡志文醫生的協助下將支架原位重新裝回鞘管內。第二枚主動脈覆膜支架自股動脈穿刺點匯入,於降主動脈正常錨定區釋放支架以封閉第二破口。經導絲交換已“開窗”支架,經過定位、選擇後,將“視窗”與左鎖骨下動脈精準對接。造影顯示弓上三支血管顯影良好,血流速度快,支架近遠端未見內瘻,手術順利結束。
此次手術前後總耗時90分鐘,患者僅在腹股溝區遺留不足1cm的小穿刺口。手術後患者左前臂內瘻震顫良好,功能正常,順利接受透析治療。之後經過一系列的治療和精心護理,目前患者已經康復出院。


    △ 手術後主動脈弓三分支顯影良好,支架準確對位,術後患者體表僅遺留不足1cm的穿刺孔
主動脈覆膜支架體外“開窗”技術具有療效確切、手術風險低、創傷小、出血量少、恢復快等優點,且不增加患者總體治療費用,是現今發展最快,難度最高的微創手術之一。我院教授團隊在缺少專用影像工作站及大型血管造影機的條件下,熟練掌握並順利完成支架“開窗”技術,實現了腔內治療技術水平的又一次重大突破。未來,隨著我院亦莊院區“雜交”手術室的投入使用,將會使複雜主動脈夾層以及主動脈瘤患者得到更好的治療。
圖文丨 蔡志文
閱讀1356 24
【來源:北京同仁醫院】
宣告:此文版權歸原作者所有,若有來源錯誤或者侵犯您的合法權益,您可透過郵箱與我們取得聯絡,我們將及時進行處理。郵箱地址:[email protected]






 
			 
			 
			 
			 
			 
			 
			 
			 
			 
			 
			 
			