顱內生殖細胞瘤切除術後腦積水仍反覆,半年內4家醫院治後顱內感染加重:意識模糊,左側肢體偏癱,李小勇腦脊液科治療出院後恢復自理能力
患者女,8歲,安徽省蕪湖市人。
一、李小勇腦脊液科入院前病史
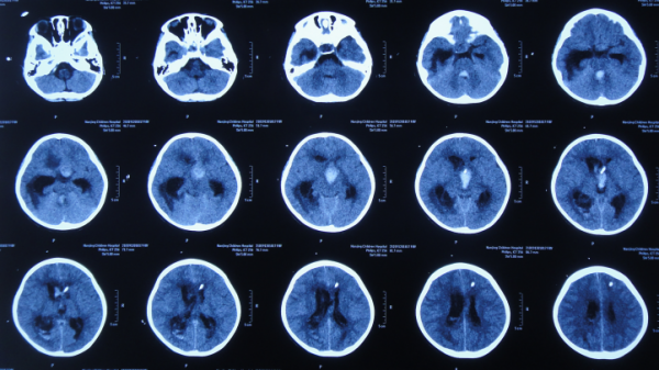
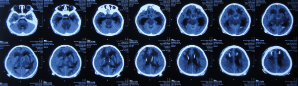
患兒於2019年12月5日下午,出現發熱,家屬自行給予口服布洛芬混懸液治療,但2019年12月6日凌晨2點左右,患兒睡眠中喊頭痛,家屬開車急送至安徽省蕪湖市弋磯山某三甲醫院,去醫院途中病情變重患兒呼之不應;到院後急診查頭部增強CT示蛛網膜下腔出血(圖-1),考慮血管畸形,於凌晨4點急診進行了腦室外引流術;術後當天早晨8點進行了DSA檢查排除血管畸形(圖-2)。
圖-1:2019年12月6日頭部增強CT
圖-2:2019年12月6日頭部DSA
腦室外引流術後次日即2019年12月7日,查頭部CT示腦室出血,引流術後狀態(圖-3)。
圖-3:2019年12月7日頭部CT
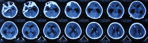
引流術後3天即2019年12月9日,再次查頭部增強CT掃描示胺區腫瘤(圖-4)。
圖-4:2019年12月9日頭部增強CT
為治療腦腫瘤,引流術後5天即2019年12月11日,拔除引流管後轉住入第2家更大的江蘇省南京市某著名的三甲醫院,因患兒低體溫,尿崩狀態直接住入重症監護室。
入院次日即2019年12月12日,進行了腦室外引流術,術後次日查頭部CT(圖-5)。
圖-5:2019年12月13日頭部CT
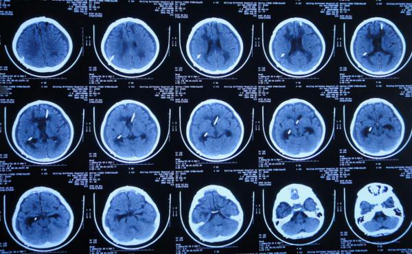
第2家醫院治療3天即2019年12月14日(腦室引流術後第2天),術後腦室引流不暢,查頭部CT示右側腦室擴張加重(圖-6)。
圖-6:2019年12月14日頭部CT
第2家醫院治療4天即2019年12月15日,進行了顱內壓力感測器腦室內植入術+右側腦室外引流術(圖-7)。
圖-7:2019年12月15日頭部CT
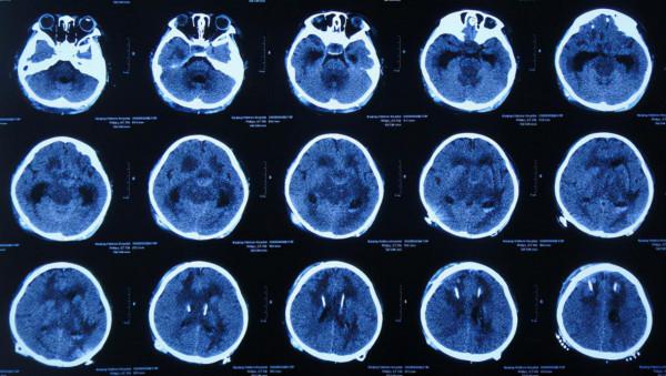
但術後次日即第2家醫院治療5天即2019年12月16日,出現高熱,腦脊液培養陽性(產酸克雷伯菌),給予加強抗感染治療,聯合鞘內注射藥物治療,但頭部CT示腦室縮小(圖-8)。
圖-8:2019年12月16日頭部CT
第2家醫院治療6天即2019年12月17日,查頭部核磁示腦腫瘤(圖-9)。
圖-9:2019年12月17日頭部核磁
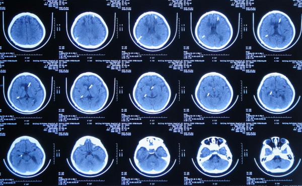
第2家醫院繼續治療8天時間內,期間4次查頭部CT示腦室逐漸再次擴張(圖-10、圖-11、圖-12、圖-13)。
圖-10:2019年12月18日頭部CT
圖-11:2019年12月19日頭部CT
圖-12:2019年12月22日頭部CT
圖-13:2019年12月25日頭部CT
在第2家醫院治療16天即2019年12月27日,按計劃術前查頭部CT(圖-14)後進行了顱內腫瘤切除術。
圖-14:2019年12月27日頭部CT
在第2家醫院治療18天即2019年12月29日(顱內腫瘤切除術後2天),查頭部CT示腦積水,顱內腫瘤切除術後,留置引流管(圖-15)。
圖-15:2019年12月29日頭部CT
在第2家醫院治療18天即2019年12月29日(顱內腫瘤切除術後3天),術後病理結果惡性生殖細胞瘤。
在第2家醫院治療19天即2019年12月30日,進行了右側顱內壓感測器腦室內植入+腦室外引流術(圖-16)。
圖-16:2019年12月30日頭部CT
因右側顳角仍大,次日做了右側腦室外引流管調整術(圖-17)。
圖-17:2019年12月31日頭部CT
在第2家醫院治療31天即2020年1月11日(顱內腫瘤切除術後16天),查頭顱CT示腦室再次擴張(圖-18)。
圖-18:2020年1月11日頭部CT
在第2家醫院治療36天即2020年1月16日(顱內腫瘤切除術後21天),按計劃明天進行腦室腹腔分流術,術前查頭部MRI示腦室擴張(圖-19)。
圖-19:2020年1月16日頭部CT
在第2家醫院治療37天即2020年1月17日(顱內腫瘤切除術後22天),進行了雙側腦室腹腔分流術(圖-20)。
圖-20:2020年1月17日頭部CT
但腦室腹腔分流術後8天時間內,三次複查頭部CT示腦室又逐漸增大(圖-21、圖-22、圖-23),給予調壓處理。
圖-21:2020年1月20日頭部CT
圖-22:2020年1月23日頭部CT
圖-23:2020年1月25日頭部CT
在第2家醫院治療51天即2020年1月31日(顱內腫瘤切除術後36天),給予生殖細胞瘤化療。
在第2家醫院治療73天即2020年2月23日(顱內腫瘤切除術後59天),查頭部CT示顱底仍有佔位(圖-24)。
圖-24:2020年2月23日頭部核磁
在第2家醫院治療78天即2020年2月27日(顱內腫瘤切除術後63天),給予進一步化療,查頭部CT示左側腦室稍大(圖-25)。
圖-25:2020年2月27日頭部CT
在第2家醫院治療94天即2020年3月14日(顱內腫瘤切除術後79天),因腦室腹腔分流管不通,進行了左側腦室腹腔分流管腦室端調整術(圖-26)。
圖-26:2020年3月15日頭部CT
但左側腦室腹腔分流管腦室端調整術後7天即2020年3月22日,查頭部CT示腦室再次擴張(圖-27)。
圖-27:2020年3月22日頭部CT
在第2家醫院治療104天即2020年3月24日(顱內腫瘤切除術後89天),又即左側腦室腹腔分流管腦室端調整術後9天,複查頭部CT仍腦室擴張(圖-28)。
圖-28:2020年3月24日頭部CT
在第2家醫院住院3個月期間患兒意識仍昏迷,電解質持續紊亂,並有尿崩症,貧血,反覆發熱的症狀,考慮可能與顱底腫瘤有關,因此於2020年3月26日(在第2家醫院治療106天即顱內腫瘤切除術後91天),轉住入第3家的上海某著名的三甲醫院。
在第3家醫院治療5天后即2020年3月31日進行了顱底腫瘤切除術+開顱顱內減壓術+Ommaya囊置入術,術後20天時間內患兒意識逐步變清醒,四肢能自主活動,但仍存在內分泌失調情況。
在第3家醫院治療27天即2020年4月22日(第2次顱底腫瘤術後22天),轉回第4家當地的安徽省蕪湖市某醫院進行康復治療,持續存在內分泌失調情況,但患者情況逐漸惡化:意識變模糊,左側肢體偏癱。
在第4家醫院治療26天期間內,三次複查頭部CT(圖-29、圖-30、圖-31)均示腦積水,右側顳角明顯擴。
圖-29:2020年4月23日頭部CT
圖-30:2020年5月7日頭部CT
圖-31:2020年5月18日頭部CT
看著患兒病情無好轉,家屬心急如焚,在網上找到李小勇腦脊液科經確認後於2020年5月19日(在第4家醫院治療26天)從安徽省蕪湖市轉入北京北亞骨科醫院的李小勇腦脊液科。
二、李小勇腦脊液科治療過程和結果
2020年5月19日(在半年時間內先後經4家醫院治療,即顱內腫瘤切除術後145天又即顱底腫瘤切除術後49天,仍反覆腦積水)轉入李小勇腦脊液科。入院時:體溫發熱38.5°C,意識模糊,左側肢體偏癱,體型偏瘦(圖-32)。
圖-32:2020年5月19日入院時
入院當天頭部CT示右側顳角擴張,腦室內有3根管(圖-33)。
圖-33:2020年5月19日頭部CT
入院後第3天即2020年5月21日,拔除了原腦室引流管和Ommaya囊+左側腦室外引流術和右側顳角引流術(圖-34)。
圖-34:2020年5月21日頭部CT
術後當天兩次的引流管內有血色腦脊液流出(圖-35)。
圖-35:2020年5月21日
入院治療7天即2020年5月26日,複查頭部CT示右側顳角縮小(圖-36)。
圖-36:2020年5月26日頭部CT
入院治療10天即2020年5月29日,病情好轉為:體溫已變正常,入院時癱瘓的左側肢體變的能活動,左上肢能自己撓癢,左下肢腳能動(圖-37)。
圖-37:2020年5月29日
入院治療15天即2020年6月3日,查頭部CT示兩側腦室均縮小(圖-38)。
圖-38:2020年6月3日頭部CT
入院治療16天即2020年6月4日,腹壁端手術刀口滲出白色液體(圖-39),但意識變完全清楚能說出自己名字,查頭部CT示未見異常(圖-40)。
圖-39:2020年6月4日
圖-40:2020年6月4日頭部CT
入院治療26天即2020年6月14日,腹壁端手術刀口滲出的白色液體消失;查頭顱CT未見異常(圖-41)。
圖-41:2020年6月8日頭部CT
入院治療42天即2020年6月30日,引流出的腦脊液變透明清亮(圖-42)。
圖-42:2020年6月30日
入院治療49天即2020年7月7日,左上肢活動變得正常,時常自己拿著水果吃(圖-43)。
圖-43:2020年7月7日
入院治療69天即2020年7月27日,頭部CT示腦室未見異常(圖-44)。
圖-44:2020年7月27日頭部CT
入院治療74天即2020年8月1日,進行了腦室腹腔分流術(圖-45)。
圖-45:2020年8月1日頭部CT
入院治療104天即2020年8月31日出院。出院時頭部CT示未見異常(圖-46);由入院時的意識模糊,左側肢體偏癱,體型偏瘦好轉為:意識清楚,言語交流變正常,左側肢能遵囑活動但力量稍差,體型變微胖(圖-47);腦瘤術後遺留部分記憶失去。
圖-46:2020年8月31日出院時
圖-47:2020年8月31日頭部CT
三、出院後隨訪
出院後2個月即2020年10月20日,時常坐著輪椅鍛鍊,手部力量增強(圖-48)。
圖-48:2020年10月20日
出院後8個月即2021年4月,病情好轉為:家屬扶著能站起來,手和腿變得有勁(圖-49);頭部CT示無異常(圖-50)。
圖-49:2021年4月影片截圖
圖-50:2021年4月頭部CT
出院後近1年即2021年7月12日,家屬發來影片:家屬扶著已可以走路,記憶也有很好的恢復(圖-51)。
圖-51:2021年7月12日影片截圖
(完)
