電視劇和小說裡
經常有這樣“狗血”的橋段:
男主角心臟部位中槍卻意外生還
原來男主角竟然是“鏡面人”!
他的心臟長在右邊
因此大難不死
最終和善良美麗的
女主角幸福地生活在一起……
增加“鏡面人”元素
能給作品增加曲折離奇的情節
但現實中
“鏡面人”一旦生病
就可能會給救治帶來不小的困擾
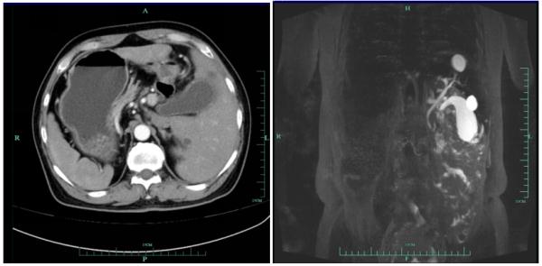
杭州市第一人民醫院最近來了一位罕見的“鏡面人”——68歲的高大伯(化名),內臟器官全部“逆生長”:心臟、脾臟長在右邊,肝臟和膽囊長在了左邊,就好比是正常人在鏡子裡看到的自己。
他因為突發急性膽囊炎,需要手術。但鏡面人的手術要反著來,當地醫院不敢“接單”,這才轉診到杭州市一醫院。
#幾百萬人裡才一個#
接受手術的“鏡面人”高大伯是富陽人。
他的身體一向來很好,平時連個頭疼腦熱都很少有,但是他做夢都想不到,自己身上還藏著異於常人的秘密。20多年前,一次偶然的看病,高大伯被醫生告知心臟長在右側。後來,檢查發現,不僅僅是心臟,他的肝、脾、胃等所有器官位置統統都左右對調。這是一種罕見的先天性疾病,發病率幾百萬分之一。
![]()
但對高大伯來說,這並沒有給他帶來困擾,除了位置反了,他身體一切正常,身體健壯的他,就像正常人一樣生活。
就在一個多星期前,剛吃完早飯的高大伯忽然中上部腹痛難忍、全身冒汗。去了富陽的當地醫院後,診斷為急性膽囊炎伴膽結石。然而,當接診醫生驚訝地得知他竟是個鏡面人後,有點遲疑了。畢竟,在他的從醫生涯裡,從來沒碰到過這樣的病例,實在感到有點困難。由於高大伯病例實在特殊,當地醫院請了杭州市一醫院的專家會診。隨後,高大伯被轉到了杭州市一醫院肝膽胰外科。
#手術全是腦筋急轉彎#
來到市一醫院肝膽胰外科病房,一系列檢查後發現高大伯的膽囊炎非同小可,膽囊壁異常厚,整個膽囊有14.5公分大。血常規檢查結果顯示:高大伯白細胞增高,超敏CRP有265!“情況比較嚴重,必須馬上做手術”接診的市一醫院肝膽胰外科殷俊傑主治醫師當機立斷。
為“鏡面人”做手術,對殷醫生來說也是人生第一回。術前,他反覆推演了好幾遍,畢竟鏡面人的內臟器官究竟什麼樣子,他從來也沒親眼見過。為此,他在腦海裡把反過來的器官位置覆盤了好幾遍,牢牢地刻在腦海裡。
一切準備就緒,手術開始,每步操作都如履薄冰。手術時站的位置、技巧、習慣等也都要跟著一起“轉”,時刻在考驗醫生的逆向思維能力。膽囊周圍佈滿了重要的器官,對解剖位置的精準判斷要求很高,稍有差池就可能損傷其他器官,帶來不可預計的後果。
腹腔鏡下,殷醫生髮現高大伯的膽囊炎比想象中的還重,一塊石頭卡在膽囊頸,膽汁出不去後,整個膽囊已經壞疽,再晚一些就會面臨穿孔的危險。這樣的手術,即使是正常情況下也屬於比較棘手的。高大伯的膽囊已經部分和肝臟粘連,留給醫生手術的空間幾乎沒有。此外,由於炎症嚴重,時刻面臨出血的問題。要在罕見的“鏡面人”身上做,更是難上加難。
給鏡面人做手術,不僅考驗解剖知識,更考驗手上的功夫。一般情況下,操作時左手牽拉,用右手拿電凝鉤操作,但面對這樣一位全反的病人,需要主刀醫生用左手操作電凝鉤,“好比是你一直用右手寫字,突然要用左手寫字是一個道理,必須要不停地腦筋急轉彎。”殷醫生說。
憑藉多年的豐富經驗和現場應變能力,一個半小時後,經過無數次“腦筋急轉彎”後,最終成功“逆行”,手術順利!
術後,高大伯恢復得很快,各項指標迅速達標,三天後便出院了。
“鏡面人”就是心臟、肝臟、脾臟、膽等器官的位置與正常人相反。醫學上對“鏡面人”現象的成因還沒科學定論。醫學專家認為“鏡面人”是在人體胚胎髮育過程中出現突變有關,發生機率大約為百萬分之一。
“鏡面人”雖然內臟全部錯位,但只是位置發生變化,相互間的關係並未改變,因此生理功能與正常人一樣,對健康與生活都沒有太大影響。但值得注意的是,“鏡面人”一旦患病,醫生如果照常規判斷極有可能發生誤診。
來源:杭州市第一人民醫院(ID:hzsyyy)
來源: 杭州交通918
