前言
讀片會是基於實際典型病例的一種學術交流形式,透過讀片會,影像醫生可分享讀片思路及獨到的見解,能夠快速在實戰中提升診斷能力。得益於網際網路技術,跨院的連線讀片已不再是難事,學術交流不必翻山越嶺,報名參加請新增“倫琴線上”。
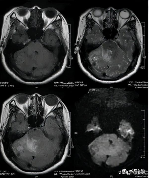
病例基本資訊
性別:女
年齡:48歲
主訴:反覆頭暈、頭痛伴左下肢行走不穩10余天
現病史:緣於入院前10余天無明顯誘因出現反覆頭暈,呈持續性,非旋轉性,頭部體位改變時加重,頭痛呈持續性脹痛,無明顯緩解方式,尚可忍受;伴有左下肢乏力、行走不穩,主要表現為行走時漂浮感。實驗室檢查未見異常。
關鍵影象:
