在很多人的觀念當中,年齡似乎是衡量衰老的唯一尺度。但大家又不得不承認,經常可以遇到身體狀況與年齡並不相符的人。
事實上,在人體內,不同組織器官之間的老化程度也可以存在明顯的差異。血管尤其是動脈血管的老化是近年來大家都非常關心的,這是因為血管老化被認為是心血管疾病的關鍵危險因素,而心血管疾病仍舊是人群致死的首要原因。
    血管老化有哪五大常見徵象?
從發生機制上來說,血管老化其實主要是血管內皮細胞以及血管平滑肌細胞老化的結果。
在顯微鏡下觀察老化的血管,可以發現整個血管的內膜增厚、血管平滑肌細胞排列紊亂還有膠原纖維沉積增多。而這些改變則會讓動脈血管在功能上表現為僵硬度增加並且彈性減弱。
那麼,在日常生活當中或在健康體檢結果裡,一般有哪些我們看得見的血管老化表現呢?
第一個要說的,是大家也都會想得到的,它就是“高血壓”。高血壓常常都是血管老化的表現之一,與此同時,高血壓又可以反過來促進血管老化的發展。
不過,高血壓的特點不同,有時候可以反映出血管老化程度也存在差異。一個很典型的例子就是,老年性高血壓常常表現為高壓(收縮壓)很高,而低壓(舒張壓)偏低,高壓與低壓的差值也就是“脈壓差”很大;而中青年高血壓則常常與之相反,容易表現為高壓不太高,但低壓偏高,“脈壓差”較小。因此,也有醫生認為脈壓差越大代表血管越硬,老化程度越高。
所以,簡單來說就是,有高血壓的人群比沒有高血壓的人群血管老化程度更高;而在高血壓人群當中,脈壓差越大的,往往血管老化越嚴重。
第二個,也是大家很熟悉的,叫做“頸動脈斑塊”。一般,頸動脈斑塊是透過健康體檢當中的頸動脈超聲檢查來發現的。
頸動脈斑塊是人體內發生動脈粥樣硬化的明確證據,這往往意味著血液當中低密度脂蛋白膽固醇這類“壞膽固醇”已經滲透進了血管內膜。動脈粥樣硬化不僅是血管老化的表現,也提示心腦血管疾病的風險大大增加。
第三個要說的是“頸動脈內膜中層增厚”,它是除了頸動脈斑塊以外,常常被頸動脈超聲發現的另外一種異常。
一般來說,不同年齡階段的人群,其頸動脈內膜中層厚度的參考值是有所不同的。比方說,40-49歲的人群,理論上頸動脈內膜中層厚度應該小於0.7mm;50-59歲的人群小於0.8mm;而60歲以上人群小於0.9mm。
理論上而言,頸動脈內膜中層增厚是血管老化的標誌性結構改變,血管老化越快,頸動脈內膜中層厚度的增長速度也會越快。
第四個要說的是“動脈鈣化”,動脈鈣化在人群當中也很常見。很多時候是在體檢報告的胸部X光片或CT掃描結果裡,可以看到“主動脈鈣化”、“冠脈鈣化”等提示。
鈣化的本質是鈣質在血管壁內的沉積,這被認為是動脈硬化的明確訊號,同時也是血管老化的表現。
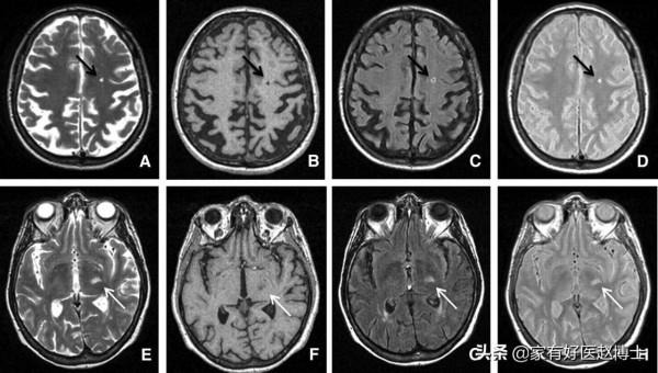
第五個要說的是“腔隙性腦梗塞”,這在顱腦CT或磁共振檢查當中是中老年朋友們比較常見的一種異常結果。
腔隙性腦梗塞不同於大面積腦梗塞,很多時候醫生並不會給與特殊的治療意見。但是,腔隙性腦梗塞被認為與大腦裡小動脈的內皮功能障礙密切相關,因此,也屬於血管老化的一種表現。
其實,臨床上還有一項指標對於評估血管僵硬度非常重要,它就是“脈搏波傳導速度”,英文縮寫“PWV”。只不過,它在健康體檢和日常診療當中被使用的頻率不太高,所以很多人都並不瞭解它。臨床上,一般多是測量肱-踝動脈PWV這個指標,英文縮寫“baPWV”。baPWV的數值越大,一般代表動脈的僵硬程度越高。
所以,如果您確實存在某一個或幾個我們上面所提到的這些問題,那麼,就要小心“血管老化”了。
    血管老化 如何幹預
相信有不少朋友都可能遇到過這樣的狀況:像頸動脈斑塊、動脈鈣化還有腔梗等血管老化問題,要麼醫生不給開藥,要麼不同的醫生會開出完全不同的藥來。
那麼,針對血管老化的問題,到底怎樣的人適合用藥,又有哪些藥可用呢?
2018版《血管衰老臨床評估與干預中國專家共識》是一份我們可以參考的比較權威的醫學指導檔案。
其中,關於藥物的使用是這樣建議的:
首先,對於有“三高”也就是高血壓、血脂異常以及糖尿病這些問題的患者而言,用藥物控制好“三高”肯定是有利於延緩血管老化的。其中,有幾類藥物尤其重要。
降壓藥當中,血管緊張素轉換酶抑制劑ACEI和血管緊張素受體拮抗劑ARB相較於其他降壓藥更有利於降低血管僵硬度並改善血管彈性。ACEI也叫“普利”類藥物,臨床上常用的有卡託普利、依那普利、培哚普利等;ARB也叫“沙坦”類藥物,臨床上常用的包括纈沙坦、氯沙坦、厄貝沙坦等。它們都是作用於腎素-血管緊張素-醛固酮系統的經典降壓藥。
而在降脂藥當中,他汀類藥物不僅可以降低血脂,它同時也可以延緩動脈粥樣硬化進展並對抗血管老化。比較常用的他汀類藥物包括阿託伐他汀、瑞舒伐他汀、匹伐他汀等。
當然了,這些藥物一般主要適用於確實存在“三高”的人群,那對於有血管老化表現但並沒有“三高”的人群而言,是不是就沒有藥物可用了呢?
其實,專家共識當中專門提到了一類人體當中存在的內源性物質叫做“前列腺素”,前列腺素被認為可以透過改善血管內皮功能從而減緩血管老化。前列腺素的口服藥物製劑叫做“貝前列腺素鈉”,還有一種注射針劑叫做“前列地爾”。
所以,對於沒有“三高”的人群而言,前列腺素類的藥物是可以考慮的。
而除了藥物以外,在日常生活當中注意飲食調節並加強運動鍛鍊也很重要。
在飲食上,除了少鹽、少油、控糖並限酒以外,應該增加新鮮蔬菜以及穀物在食物當中的佔比。限制每日飲食的總熱量被認為是有可能延長生物體生命週期的措施,建議可以長期堅持。
在運動當中,快走、慢跑、騎行、游泳等有氧運動被認為對心血管的益處最大。建議從每次20分鐘中等強度的有氧運動開始做起,逐步增加到每次40~60分鐘,每週保證3~7次。
對於存在超重或肥胖的人群而言,應該透過飲食控制與運動鍛鍊力爭把體重指數控制在24 kg/m2以內,男性腰圍小於90 cm,女性腰圍小於85 cm。
好的,關於血管老化有哪些常見表現,又有哪些手段可以幫助延緩血管老化,您都瞭解了嗎?





















 
			 
			 
			 
			 
			 
			 
			 
			 
			 
			 
			 
			 
			 
			 
			 
			