網路問診病例:
患者提供的資訊:
葉主任,我母親有肺結節,9mm實性和6mm實性,均在右肺,您看看這個良惡,有人說是錯構瘤,因為看到了鈣化,有人說是惡性的,您能幫忙看看嗎,謝謝。2019年是在腫瘤醫院照的,2021年是在人民醫院照的,有人說錯構瘤,有人說長大了惡性,也有人說2年長的不多,是良性。
圖片展示:
我的意見:
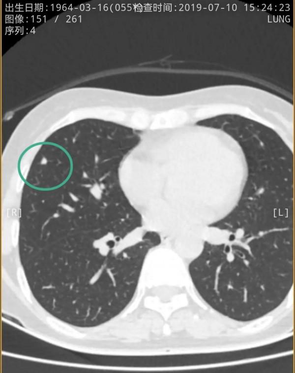
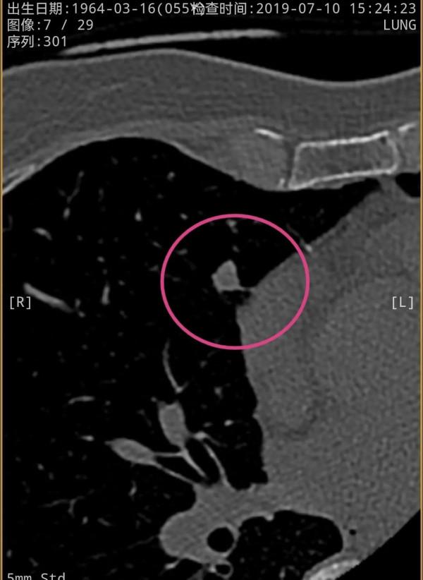
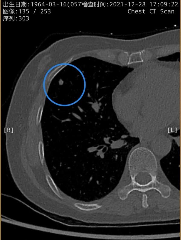
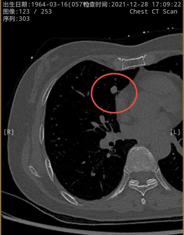
我們先來看2021年12月的,右肺多發實性結節,邊緣相對平直,膨脹性不明顯,紅色圈起來的主病灶周邊一圈密度高,中間密度低,還有點狀高密度,考慮肉芽腫性炎伴壞死(區域性纖維鈣化),次病灶藍色圈起來的形態也是類似的,骨窗看也是中間密度低,而周邊一圈密度高。那麼再來看2019年時是如何的呢?假如是惡性,應該有進展。但我們閱片後發現並沒有大的變化,由於掃描條件不同,中間密度低在平掃上不明顯,紫紅圈起來的和綠色圈起來的分別對應主病灶和次病灶。但當時有區域性靶掃描,結果形態與2年後的沒什麼區別,當時也已經是周邊一圈密度高,而中間密度低且均勻。所以此兩灶可基本認定為肉芽腫性炎伴壞死,可安全隨訪。最好半年查一次(因為正常沒結節也一年查一次呢)。
