肺結核是呼吸道常見的傳染性疾病,氣管鏡是診斷肺結核非常常用,也是非常重要的一種方法。但是,僅僅依靠氣管鏡還不能完全地診斷肺結核,還需要結合一些其他的檢查來進行綜合分析和判斷。比如肺部的ct、痰找抗酸桿菌、痰培養、tbdna、結核菌素實驗、淋巴細胞斑點試驗等等。
如果經過綜合檢查和分析,診斷為肺結核的話,就一定要積極地給予治療。首先就是規範的抗結核治療,抗結核治療過程中要注意抗結核藥物的不良反應,一旦發生要及時處理,同時還要加強營養支援以及對症治療。還要定期複查肺部ct等等這些指標來觀察治療效果。平時患者要注意休息,不能抽菸,不能飲酒。
氣管鏡檢查其實就是醫生將柔軟彎曲的帶有攝像頭的細管,透過鼻腔或口腔插入到人體呼吸道內,觀察患者的咽部、喉部、聲帶、氣管、支氣管、各葉段支氣管,甚至更遠段的支氣管腔內的情況。發現病變時,可透過軟管內部設定的通道伸入各種纖細的專用器械,進行組織學活檢、細胞學刷檢、細針穿刺、肺泡灌洗等。
    氣管檢查前的注意事項:
1、檢查前需要詢問患者的病史,有沒有口服抗凝藥,有沒有口服高血壓,冠心病的藥,要注意測量血壓,血壓太高的也不能做,要進行心肺功能的檢查,它和胃鏡的唯一的差別就是如果肺功能差的病人,做的時候可能風險就更大了
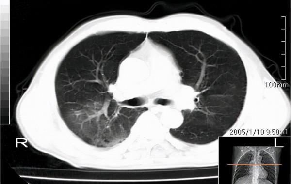
2、檢查前患者,必須拍攝X線正側位胸片,必要時做胸部CT以便確定病變的部位;
3、擬行支氣管鏡活檢的患者,應在檢查前檢測血小板的計數,凝血酶原時間和部分凝血酶原時間,因為氣管裡的出血和消化道出血有所區別,少量的出血就能引起病人的窒息;
4、檢查前4小時開始禁食,檢查前2小時開始禁飲水以避免操作時誤嗆導致了肺炎;
5、檢查前會對喉嚨噴灑,區域性麻醉劑,操作過程中從鼻腔提供氧氣以確保氧氣的充足;
6、操作時患者不可說話以免聲帶的受傷,但在操作過程中,如果有不舒服或者是胸痛,可以舉手表示;
7、檢查後兩小時以內,因為區域性麻醉藥效未退,應避免進食包括喝水,以免造成誤嗆;
8、有切片檢查,術後可能會有短暫的少量的痰血或者是咳血,屬於正常現象;
9、咳血量較大且持續時間不停,劇烈胸痛 呼吸困難,立即到急診科就診,住院病人請立即報告醫師或者護理人員。
注:我是從醫二十餘年,平時鑽研於呼吸系統方面疾病的呼吸科醫生陳鋒。如果你對慢阻肺、哮喘、肺氣腫、肺大泡、肺纖維化、間質性肺炎、肺部感染、咳嗽等疾病有疑惑,可以私聊我,讓你做到足不出戶問醫生,省時省力又省心。




 
			 
			 
			 
			 
			 
			 
			 
			 
			 
			 
			 
			 
			 
			