對於來自同行的認可,我一向非常珍視。非常感謝這位同行醫生的信任,但是如果更相信我一點,說不定現在已經消掉了。
今天這位醫生同行,為了配合防疫做了胸部CT,結果查出最大8mm的多發混合磨玻璃結節,作為醫生的高警惕性讓他率先進行了眾多檢查,之後再來向我詳細諮詢。希望得到更為精準的判定。
從患者諮詢中可以看到,雖然無家族肺癌史,但是親戚中有肺結核患者,曾經也多次接觸過肺結核患者,所以我傾向是結核所致。建議若拜覆樂副作用不大,可以口服半個月到1個月。也可以試試霧化吸入一個月,一日兩次,應該能消。
但這位同行聽了我的建議後,又綜合了一些其他醫生建議,並沒按我說的方案消炎,最後結節不僅沒消,還打算手術進行肺葉切除。我看了之後表示最多楔形切除,肯定不切肺葉,但我不建議切,還是傾向良性的,可以按我說的方法再試試。3-6個月後再來我院找我面診,不耽誤的。
以下內容轉自患者諮詢:
2021-11-23
2021年11月23日,醫生同行想請戴教授幫忙看下8mm多發混合磨玻璃結節。患者,男,32歲,醫生,不吸菸,無肺癌家族史,發現肺結節以來無咳嗽、胸痛、潮熱、盜汗等症狀。
8月9日,因為發燒為了排除新冠進行胸部CT,偶然發現三個肺結節,當時是感冒,血象高,沒有咳嗽症狀,口服了6天莫西沙星片之後再沒有經過其他特殊治療。結核感染T細胞試驗陽性,三次結核菌痰塗片陰性。以前沒有被診斷過肺結核,但是親戚中有肺結核患者,從小跟肺結核親戚有過多次接觸。本人從小都比較瘦,目前身高173cm,體重55公斤。9月14日和11月14日複查一次胸部CT,變化不明顯。請問戴主任,我這種情況是否需要直接手術?可以再抗炎治療2周後間隔2周複查胸部CT之後再根據複查結果決定是否手術不?需要診斷性抗結核治療不?謝謝戴主任幫忙看下。
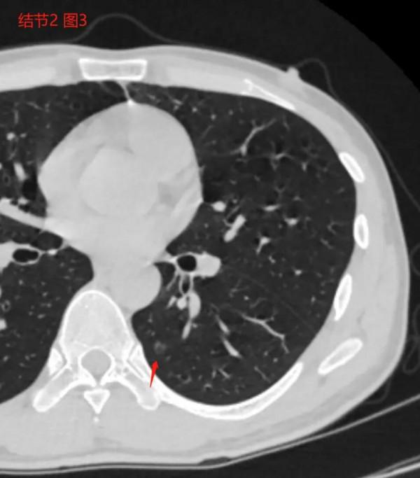
三個結節文字報告圖片如下:
我的回覆:
看起來都問題不大,還是考慮結核所致。拜覆樂若副作用不大,可以口服半個月到1個月。也可以試試霧化吸入一個月,一日兩次,應該能消。
2022-02-02
尊敬的戴主任,我是重慶萬州的一名醫生,男,32歲,2021年8月在發熱門診工作期間,因為發燒人生第一次進行胸部CT發現肺結節,口服了6天莫西沙星片未再發燒,其後滿1月,3月複查結節變化不明顯。2021年11月23日在貼吧裡找您看過肺結節。您當時回覆說:看起來問題都還不大,還是考慮結核所致,建議是口服拜覆樂半月至一月,或者霧化吸入一個月,您說應該能消。因為考慮結核,結核感染T細胞試驗陽性,綜合感染科的意見,我最終採取的是利福平、異煙肼、吡嗪醯胺、乙胺丁醇四聯抗結核藥治療(期間口服了一個月鹽酸氨溴索膠囊,看您出版的書籍上面有這個介紹)。
治療2月複查,三個結節變化不明顯。因為有個混合密度結節,感覺很危險,我準備接受手術,之前有胸外科醫生說要做肺葉切除術,聽起來感覺創傷還是不小。幾次未能搶到您的號,故今天再次發帖網路複診,一是想向您反饋一下複查結果。二是想再讓您幫忙看看,想聽聽您的診療建議,如果手術,是必須要肺葉切除嗎?非常感謝您,感謝吧主截圖。
2022年1月19日CT文字報告:
我的回覆:
最多楔形切除,肯定不切肺葉,傻瓜才幹。但我不建議切,還是傾向良性的。抗癆無效?那抗癆結束就試試我的辦法啊,誰叫你不信我?
3-6個月後到我院複查高解析度CT吧,面診一下,說不定有驚喜,不耽誤的。
