最近幾年人們的生活條件越來越好,很多人都更加重視自己的身體健康了,以前胳膊腿疼忍忍就過去了,現在很多人碰到點小毛病都會毫不猶豫找醫生看看。
今天給大家說的也是一種常見症狀——腳後跟疼。最常見的情況是負重走路過多會腳後跟疼,還有就是睡一覺起來腳後跟就特別疼但是走路活動活動就能緩解。年輕人可能會及時看醫生,上了歲數的人都吃過苦,他們可能覺得問題不大忍忍就好了。
其實腳後跟疼可能是3種疾病的外在反應,大家可以做個參考。
足底筋膜炎是最常見的一種
腳部的構造非常巧妙,而足底筋膜參與了人們日常的行走、跑步、彈跳等行為。有了健康的筋膜才能對我們的運動行為提供保護,但是持續激烈運動、長時間攀登等行為往往會誘發足底筋膜炎。
筋膜損傷發炎的位置往往會出現在腳後跟,對照的反應就是早上起床腳後跟比較疼,只有運動一會才能緩解。可是稍微活動量大一些就又會出現疼痛,這種情況必須用藥物治療,單靠休息和忍痛是解決不了問題的。
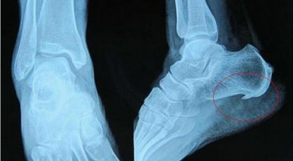
足跟骨刺也很常見
骨刺也叫骨質增生,多發於上了歲數的人群,理論上來講骨刺更容易出現在身體的各個關節部位。只要骨刺壓迫到了附近的神經組織就會出現疼痛,相信有不少中老年人都經歷過那種尖銳的痛感。
足跟出現骨刺之後附近的面板會有明顯的痛感,類似於石頭硌腳或者是尖銳物體刺腳,只要走路就會加重痛感。這種情況還是儘早就醫,採取正確的方法應對才能減少痛苦。
跟腱炎也是主要誘因之一
人體存在很多粗壯的肌腱,分別分佈在不同的位置,有了它們人類才能夠完成一些高強度的動作。直立行走、彈跳以及維持身體平衡都離不開跟腱的作用,但是過度刺激、持續高強度運動可能會讓跟腱受損。
跟腱撕裂和跟腱炎是長期高強度運動人群高發的疾病狀況,跟腱炎的症狀和足底筋膜炎類似,所以大家腳後跟疼的話也得先找醫生弄清楚是什麼原因,對症治療才是上策。
我們的雙腳每天都承擔著巨大壓力,而人們往往容易忽視腳部疾病。為避免更多腳部疾病的產生,希望大家可以透過合理的飲食來控制體重,因為體重過重也容易讓腳部肌肉跟腱組織受損。另外在運動的時候也要控制好時長和強度,雖然生命在於運動,但是過度鍛鍊往往也會伴隨著身體的損傷。
最後為避免腳後跟頻繁出現問題,希望大家在買鞋子的時候能夠挑選一雙適合自己的鞋子。鞋底軟硬適中有一定的緩衝效果最好,大小合適千萬不能擠腳,女士最好減少穿高跟鞋的次數,非必要不穿最好。因為老年人的骨骼肌肉已經退化,所以他們穿鞋包裹性要好,支撐性要足,祝大家儘早擺脫疼痛盡情享受生活。






 
			 
			 
			 
			 
			 
			 
			 
			 
			 
			 
			 
			 
			 
			 
			 
			