新江蘇·中國江蘇網訊 (記者 孫駿 通訊員 李傑 梁超)近日,南京醫科大學第一附屬醫院(江蘇省人民醫院)多科專家共同合作,完成一例難度極高的手術。據悉,江蘇省人民醫院泌尿外科李傑教授團隊,與心臟大血管科、麻醉與圍術期醫學科、手術室、重症醫學科、輸血科等多科專家聯手,順利完成一例腎癌根治術以及體外迴圈下右心房、腔靜脈癌栓取出術。
腎癌作為泌尿系統最常見的腫瘤之一,有時可伴有癌栓形成,癌栓可沿腎靜脈生長進入腔靜脈,而一旦形成癌栓侵入腎靜脈與下腔靜脈,手術的複雜程度就會急劇上升。
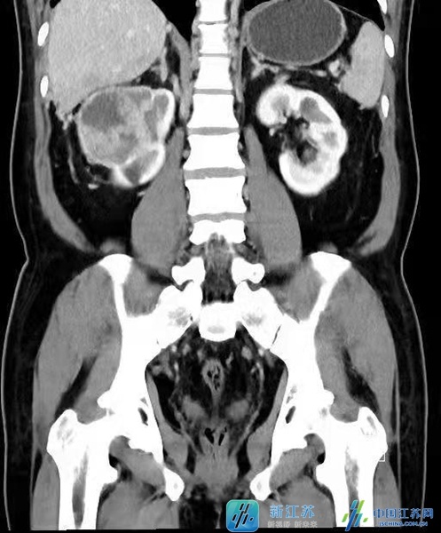
張先生今年58歲,平日裡身體一直較為健朗,但在今年9月的一次體檢中發現右腎長了一枚腫瘤,這可把張先生急壞了。張先生及家人在多方打聽後,慕名來到江蘇省人民醫院李傑教授門診就診。李傑教授在仔細看完他的影像學檢查後發現,張先生不僅右腎長了腫瘤,且腫瘤侵入右腎靜脈及下腔靜脈形成了癌栓,更糟糕的是癌栓上緣已右心房,甚至部分已透過二尖瓣進入右心室,瘤栓一旦脫離,張先生的隨時都有生命危險,此時情況非常危險,需要立即入院接受手術治療。雖然手術風險極大,但是如手術成功,張先生可獲得良好的預後。張先生及家人雖然很緊張,但更堅信李傑教授團隊的水平和能力,決定立即入院接受手術。
由於張先生的右腎腫瘤巨大,癌栓的位置又已經到達了心房,手術過程中稍有不慎,就會出現心臟驟停以及血管破裂的情況,李傑教授在同心髒大血管外科、麻醉與圍術期醫學科、手術室、重症醫學科、輸血科多方共同探討評估了張先生病情,並與張先生充分溝通後,定下了於開放下行腎癌根治術以及體外迴圈下右心房、腔靜脈癌栓取出術的手術計劃。
手術當天,在為張先生麻醉後,先由心臟大血管外科的邵永豐、顧衛東主任團隊為其進行體外迴圈的搭建,為隨後李傑教授團隊腫瘤及癌栓的取出保駕護航。術中可見張先生右腎腫瘤與肝臟、結腸及周圍動靜脈粘連嚴重,手術難度極大。但在李傑教授的仔細又快速的分離下,右腎、右腎動靜脈及下腔靜脈已完全顯露,隨後李傑教授先後切斷右腎動脈,分離並切斷右側輸尿管。至此手術進入了最兇險的癌栓取出過程,李傑教授與顧衛東教授溝通後,隨即阻斷了遠端下腔靜脈、左腎靜脈、肝十二指腸韌帶,開啟了體外迴圈模式,顧衛東教授剪開下腔靜脈同時開啟右心房,透過二尖瓣將癌栓的一端從右心室完整取出,並細心阻擋防止其脫落,與此同時,李傑教授將右腎完整遊離後,沿腎靜脈及下腔靜脈分離癌栓,在兩位教授的通力合作下,確保沒有癌栓殘留後,完整取出右腎及癌栓並在病人心率、血壓都平穩後,恢復了患者的自主血液迴圈。在經過4個小時的奮戰後,病人的腫瘤及癌栓終於全部被取出,手術全程病人的情況較為穩定,所有參與手術人員都是鬆了一口氣。
術後,張先生被送入ICU進行觀察護理,經過一段時間病情穩定後,又回到了泌尿外科普通病房接受術後常規治療。目前張先生術後恢復情況良好,各項生命體徵都已平穩,在李傑教授的同意下已經順利出院,並將定期來院,於門診接受複查。
專家帶你認識癌栓,定期體檢很重要
李傑教授介紹指出:伴有下腔靜脈癌栓的腎癌根治加癌栓取出手術是泌尿外科難度最高的手術之一,根據國外報告,圍手術期的死亡率為10%。根據美國梅約醫學中心的分類法,可將癌栓分為以下五級:0級:癌栓侷限於腎靜脈內;I級:癌栓侵入下腔靜脈內,癌栓頂端距腎靜脈開口處≤2cm;II級:癌栓侵入下腔靜脈內,距腎靜脈開口處>2cm;III級:癌栓生長達肝內下腔靜脈水平,膈肌以下;IV級:癌栓侵入膈肌以上下腔靜脈內。癌栓級數越高,手術的風險與難度就越大。然而多數情況下,病人無法靠感覺來察覺到腫瘤以及癌栓,因此每年定期做一次全面體檢是非常重要的。
本次IV級下腔靜脈癌栓高難度手術的成功實施,展現了江蘇省人民醫院醫師技藝精湛、多學科協作強大的綜合實力。
