*僅供醫學專業人士閱讀參考
該病例是一位新診斷IV期肺腺癌並多發腦轉移患者。其於2021年6月確診肺腺癌多發腦轉移。明確診斷後基於貝伐珠單抗+培美曲塞二鈉聯合治療3個週期。複查提示肺部腫瘤病灶較前明顯縮小,抗血管生成藥物聯合化療實現高效控瘤。
病例回顧
▎基本情況:
患者女性,64歲,因“咳嗽咳痰伴發熱10余天”入院。糖尿病及高血壓病史,使用胰島素控制血糖。否認其他基礎疾病,無吸菸飲酒史,無家族腫瘤病史。
▎診療經過:
2021年5月患者因“咳嗽咳痰伴發熱10余天”入院。
▎入院影像學檢查:
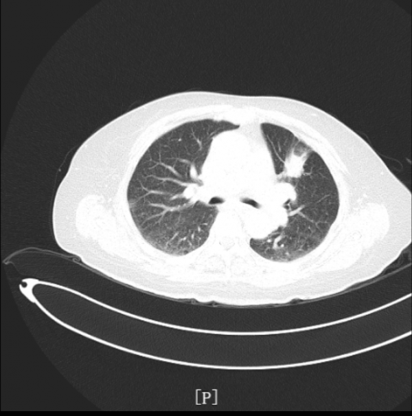
- 肺部CT檢查提示:左肺上葉前段佔位性病變,伴遠端阻塞性炎症及肺不張,考慮:周圍型肺癌可能性大。
- 頭部MRI檢查提示:雙側小腦半球點狀異常強化灶,考慮轉移瘤病灶。雙側大腦半球及小腦半球腦溝鑄型明顯異常強化,考慮肺癌軟腦膜轉移。
▎病理檢查:
2021年6月行氣管鏡檢查,取腫瘤組織病理提示:肺腺癌。免疫組化:TTF-1(++)、NapsiA(++)、P40(+)、Cam5.2(++)、Ki67<3%、ER(-)、PR(-)、CDX2(-)、CA125(-)、CK(+)。
▎診斷:
左肺上葉肺腺癌伴腦轉移。分級:T2NxM1c IV期。
▎藥物治療:
明確診斷後,給予患者貝伐珠單抗400mg+培美曲塞二鈉600mg D1全身治療3個週期。
▎複查情況:
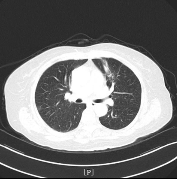
治療後安排患者複查肺部CT,提示左肺腫瘤性病變較前明顯縮小。療效評估PR。
病例總結與思考
肺癌,已經成為嚴重影響人類健康的惡性腫瘤。在全身各部位中,腦則是肺癌最為常見的轉移部位。發生腦轉移成為影響肺癌患者生存時間與生存質量重要的因素之一。發生腦轉移的肺癌患者,平均生存時間僅為1-2個月,治療也更為棘手[1]。如何高效、安全遏制肺癌腦轉移患者的腫瘤進展,成為肺癌診療領域亟待突破的困境。
該患者2021年5月因“咳嗽咳痰伴發熱10余天”入院,完善肺部CT檢查提示:左肺上葉前段佔位性病變,伴遠端阻塞性炎症及肺不張,考慮:周圍型肺癌可能性大。頭部MRI檢查提示:雙側小腦半球點狀異常強化灶,考慮轉移瘤病灶。雙側大腦半球及小腦半球腦溝鑄型明顯異常強化,考慮肺癌軟腦膜轉移。腦膜轉移較腦實質腫瘤轉移少見,但肺癌腦膜轉移患者預後更差。患者在2021年6月進行支氣管鏡檢查,取腫瘤組織病理檢查也證實,其左肺上葉佔位系肺腺癌。入院診斷:左肺上葉肺腺癌伴腦轉移。分級:T2NxM1c IV期。
對於肺癌腦轉患者,不僅生存時間大大縮短,且由於中樞神經系統的特殊性,腦轉移病灶進展引起的意識障礙、癲癇、肢體運動及感覺功能障礙及其他各項相關症狀,均嚴重影響肺癌患者生存質量。患者的治療重點應當是,儘可能控制腫瘤進展並延長患者生存時間,改善生存質量。
根據《CSCO 2021非小細胞肺癌診療指南》推薦,治療組給予患者培美曲塞二鈉化療+貝伐珠單抗全身治療。直至患者完成三個週期聯合治療後,複查胸部CT提示:左肺上葉腫瘤病灶較前明顯縮小。且治療期間不良反應經對症治療後迅速緩解,患者耐受性良好。
近年來,隨著靶向及免疫治療手段的豐富與發展。靶向治療藥物在晚期肺癌患者治療中,發揮重要作用。貝伐珠單抗聯合化療,用於非鱗非小細胞肺癌腦轉移患者治療的安全性與有效性,已經得到多項研究證實[2-4]。在《CSCO 2021非小細胞肺癌診療指南》[5]中,貝伐珠單抗聯合鉑類藥物化療+貝伐珠單抗單藥維持治療、貝伐珠單抗聯合培美曲塞化療,均被推薦用於無驅動基因的非鱗非小細胞肺癌一線治療。而上述病例中患者腫瘤獲得良好控制,無疑又是貝伐珠單抗優秀療效及可靠的安全性在真實世界的體現。
作為一種大分子抗血管生成藥物,貝伐珠單抗透過選擇性與VEGF結合並阻斷其生物活性,抑制VEGF與位於內皮細胞上的受體相結合,透過使VEGF失去生物活性減少腫瘤的血管形成,從而抑制了腫瘤的生長。與此同時,促進腫瘤血管正常化還可以有效調節免疫微環境,與化療聯合應用達到“事半功倍”的控瘤效果。相信隨著貝伐珠單抗聯合治療相關研究的逐步深入,將有更多適合於肺癌腦轉移患者的聯合治療策略為肺癌腦轉移患者帶來生存獲益。
參考文獻:
[1] 中國醫師協會腫瘤醫師分會.中國醫療保健國際交流促進會腫瘤內科分會.《肺癌腦轉移中國治療指南(2021 年版)》中華腫瘤雜誌 2021年3月第43卷第3期 Chin J Oncol,March 2021,Vol.43,No.3
[2] De Braganca KC, Janjigian YY, Azzoli CG, et al. Efficacy and safety of bevacizumab in active brain metastases from non⁃small cell lung cancer [ J ] . J Neurooncol, 2010, 100 ( 3 ) : 443⁃447. DOI:10.1007 / s11060⁃010⁃0200⁃2.
[3] Zustovich F, Ferro A, Lombardi G, et al. Bevacizumab⁃based therapy for patients with brain metastases from non⁃small⁃cell lung cancer: preliminary results[ J] . Chemotherapy, 2014, 60( 5⁃6) : 294⁃299. DOI:10.1159 / 000376605.
[4] Socinski MA, Langer CJ, Huang JE, et al. Safety of bevacizumab in patients with non⁃small⁃cell lung cancer and brain metastases [J]. J Clin Oncol, 2009, 27(31):5255⁃5261.DOI:10.1200/ JCO.2009.22.0616.
[5] 中國臨床腫瘤學會指南工作委員會 《中國臨床腫瘤學會(CSCO)非小細胞肺癌診療指南》
*此文僅用於向醫學人士提供科學資訊,不代表本平臺觀點
