剛從腦外科重症監護室門口路過,正趕上一位70來歲的老父親,接走了40歲的兒子,只不過兒子在黃色的布袋子裡躺著,布袋子的拉鍊已經拉上了。
老人家並沒有大哭大嚎,顯得有點木訥,眼睛呆呆的,都是一些家屬在幫襯著幹活,老父親只是跟隨著。
後來聽腦外科的醫生說,患者是家裡的獨生子,老父親挺可憐的。
患者是一位普通工人,6年前母親患肺癌,後來手術,放療化療,最後還是走了。家裡條件也一般,妻子後來不知為什麼和他也離婚了,孩子6歲,跟著前妻走了。
就剩下患者和退休的老父親相依為命,本以為老父親得靠他養老,沒成想現在白髮人送黑髮人。患者自從離婚後,抽菸喝酒比以前更厲害了,老父親勸過多次,可是說了也白說。
他平時經常很晚才回家,平時週末也是老父親給他做飯,收拾屋子。3年前用父親的血壓計測量血壓200/120mmHg,他父親讓他趕緊去醫院看看,可是他也不聽。後來他父親說,讓吃自己的降壓藥,可是他也不願吃。
3年高血壓,長期血壓在200mmHg左右,從來不吃藥控制,整天抽菸喝酒,不按時睡覺,這樣心血管能好嗎?
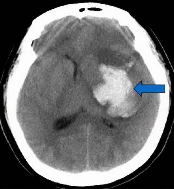
10天前,他突發昏迷被送到醫院,入院測量血壓240/130mmHg,腦CT提示大面積腦出血。就算做了開顱手術,可是他還是沒醒過來,住進了監護室,一住就是10天。醫生多次和老父親溝通,說患者醒過來的可能性非常小,一直住下去可能花不少錢,最後還可能人財兩空。
老父親說:我還要錢幹啥呀!搶救,花多少錢都救!
老父親常常在監護室外偷偷地流淚,這期間時不時地也會來很多親戚朋友,但大多數時間,只能看到老人家一個人在監護室外的椅子上發呆!
最終患者出現了多種合併症,多臟器衰竭,離世了。今天老父親接兒子走的時候,沒有流淚,我想老人家並不是不傷心,而是欲哭無淚,淚已經流乾了。
高血壓並不是不治之症,只要能早發現早控制,那麼高血壓不會影響我們的健康,不會影響我們的壽命。可是這位中年患者,自從離婚後,一蹶不振,開始胡吃海喝,熬夜折騰,發現了高血壓,還不願控制。結果長期的高血壓,最終導致了腦出血。
我們的生活都不是一帆風順的,誰也會遇到七災八難,可是並不是說遇到困難就破罐子破摔。在困難面前,咬咬牙,有時候就能度過,可是一旦放棄,那麼情況只能越來越糟糕。
腦出血最主要的原因就是高血壓不控制,腦出血死亡率很高,30-40%的腦出血會在急性期死亡,還有很多人會留有後遺症:偏癱失語,半身不遂,長期臥床等等。
40歲,突然昏迷,住院10天,他本人也沒有什麼痛苦。有很多三高的人,經常開玩笑說:一下沒了,沒有痛苦,也算是福分。
是的一下走了,沒有痛苦,對於患者本人來說,可能是福分,尤其對於高壽的人,臨終前沒有痛苦,那真可以說是福分。可是對於一箇中年人來說,你說得痛快,一下子就走了,沒有痛苦,可是你有沒有想過家人呢?
孩子怎麼辦?妻子怎麼辦?父母怎麼辦?
有人說這位患者沒有那麼多家人,那麼這位患者的老父親怎麼辦?
你走了,解脫了,可是對於老父親來說,是不是解脫呢,可是接下來的日子呢?
我再提醒那些高血壓的人,尤其是中年高血壓的人,吃藥控制血壓,不僅僅是為了自己,更是為了家人,人不要那麼自私!






 
			 
			 
			 
			 
			 
			 
			 
			 
			 
			 
			 
			 
			 
			 
			 
			 
			