01
體檢時發現左腎竟多了一顆“定時炸彈”
近日,家住金華的胡先生(化名)遇到了重大危機:人到中年,平時身體還算健康,正是事業黃金期,家中的頂樑柱,在一年一度健康體檢時,發現左側腎臟上多了一顆“定時炸彈”。
這枚“炸彈”悄無聲息地盤踞在胡先生的左腎上,沉默地擠佔、延伸著,竟已超過半個腎臟的大小。這訊息對全家來說,不啻驚雷。
02
腫瘤體積大 位置深 達芬奇機器人登場
當地醫院的醫生告訴胡先生,這枚腫塊的位置較深,手術難度較大,可能無法保留左腎。胡先生懷著沉重的心情和家屬討論後,決定到浙江大學醫學院附屬第二醫院泌尿外科尋求治療。
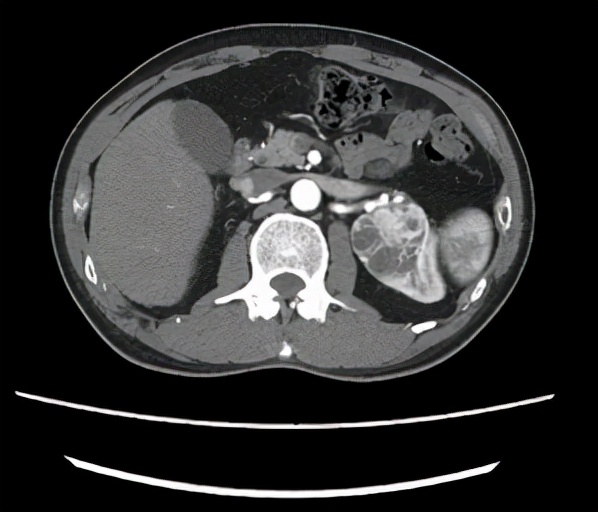
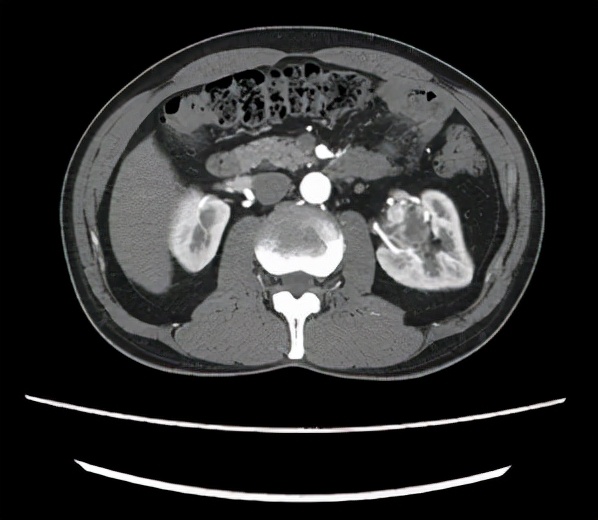
(胡先生的左腎腫瘤)
浙大二院泌尿外科的裘益青主任醫師接診了胡先生。面對胡先生的情況,裘醫生仔細閱片,告訴胡先生他的年齡不大,腎功能尚可,左腎腫瘤形態和密度考慮惡性腫瘤,而且體積較大,位置較深,位於腎門,需行保腎的腫物切除手術,手術難度較大,建議使用達芬奇機器人輔助手術。
在與家人討論後,胡先生決定聽從裘醫生的建議,接受手術治療。
03
一覺醒來 剝除“定時炸彈”
術前,裘醫生在科室進行了手術討論,決定了機器人輔助下腹腔鏡經後腹腔的手術方式。手術開始,裘醫生充分遊離左腎周筋膜,開闊視野,暴露腎臟中上極背側腎門部約4.5cm的那枚“定時炸彈”,它突出腎臟表面,盤踞腎門,血管包繞與周圍組織明顯粘連,若要完整剝除必定是一場硬戰。
裘醫生繼續沿腎臟表面遊離暴露左腎動脈,準備充分後,開始阻斷。接下來就是爭分奪秒地剝除腫塊,因為考慮惡性腫瘤,必然要萬分謹慎,不能破壞一點腫瘤的完整性。好在準備充分,視野暴露清晰,裘醫生熟練而冷靜地剝除腫塊,縫合創面。
僅僅用時15分鐘。阻斷的腎動脈再次回覆血供,“定時炸彈”已經被“收繳”,術野沒有明顯出血。
切下的腫瘤,包膜完整
腫瘤剖開,內部結構不均,出血壞死
一覺醒來,胡先生腎上的“定時炸彈”已經取下,術後第二天就下床活動,很快就恢復出院了。術後病理報告為腎透明細胞癌。
溫馨提示
腎癌是泌尿系統常見的腫瘤,僅次於前列腺癌和膀胱癌,卻是泌尿系統致死率最高的惡性腫瘤,其發病率佔成人惡性腫瘤的2%~3%。腎癌的治療和預後與其病理型別和腫瘤分期明顯相關,腫瘤發現越早,保留腎臟和功能的機會越大,治療效果越好。早期腎癌多無臨床症狀,是透過健康體檢或其他檢查偶然發現,此類目前約佔60%。明顯症狀出現比如血尿、腰痛、腹部腫塊等往往提示晚期腎癌。
所以,早期發現腎癌,主要依靠健康體檢,彩色多普勒超聲作為初篩檢查,超聲發現異常時,需要進一步完善增強CT或MRI檢查,以幫助醫生診斷及對腫瘤進行分期,選擇最佳的治療方式。
專家簡介 PROFILE
裘益青
泌尿外科主任醫師
熟練掌握腹腔鏡下(含機器人輔助)根治性膀胱切除術、保留性神經的根治性前列腺切除術、保留腎單位腎癌手術等。
門診時間:
解放路院區:週四下午
濱江院區:週二、週四上午
— END —
文 | 泌尿外科 裘益青
稽核 | 泌尿外科 蔡明
責編|來鑫萍








 
			 
			 
			 
			 
			 
			 
			 
			 
			 
			 
			 
			 
			 
			 
			 
			